biological source
mouse
conjugate
unconjugated
antibody form
culture supernatant
antibody product type
primary antibodies
clone
124, monoclonal
description
For In Vitro Diagnostic Use in Select Regions (See Chart)
form
buffered aqueous solution
species reactivity
human
packaging
vial of 0.1 mL concentrate (226M-94), vial of 0.5 mL concentrate (226M-95), bottle of 1.0 mL predilute (226M-97), vial of 1.0 mL concentrate (226M-96), bottle of 7.0 mL predilute (226M-98)
manufacturer/tradename
Cell Marque®
technique(s)
immunohistochemistry (formalin-fixed, paraffin-embedded sections): 1:100-1:500
isotype
IgG1κ
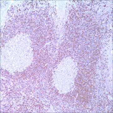
control
tonsil
shipped in
wet ice
storage temp.
2-8°C
visualization
cytoplasmic
Gene Information
human ... BCL2(596)
General description
Anti-BCL2 has shown consistent negative reaction on reactive germinal centers and positive staining of neoplastic follicles in follicular lymphoma. Consequently, this antibody is valuable when distinguishing between reactive and neoplastic follicular proliferation in lymph node biopsies. This antibody may also be used in distinguishing between those follicular lymphomas that express BCL2 protein and the small number in which the neoplastic cells are BCL2 negative. Anti-BCL2 has been used as a predictive biomarker for recurrence in the case of radical prostatectomy for prostate cancer, and has shown promise as a prognostic marker in the case of cancer of the breast and non-small cell carcinoma of the lung.
Physical form
Solution in Tris Buffer, pH 7.3-7.7, with 1% BSA and <0.1% Sodium Azide
Preparation Note
Download the IFU specific to your product lot and formatNote: This requires a keycode which can be found on your packaging or product label.
Analysis Note
![]() IVD | ![]() IVD | ![]() IVD | ![]() RUO |
Other Notes
BCL2 Positive Control Slides, Product No. 226S, are available for immunohistochemistry (formalin-fixed, paraffin-embedded sections).
For Technical Service please contact: 800-665-7284 or email: service@cellmarque.com
Legal Information
Cell Marque is a registered trademark of Merck KGaA, Darmstadt, Germany
Still not finding the right product?
试用我们的 产品选型工具 工具缩小选择范围
法规信息
监管及禁止进口产品
此项目有
J W Moul
European urology, 35(5-6), 399-407 (1999-05-15)
Within the past 5 years, research has increasingly addressed molecular alterations in prostate cancer (CaP). Mutations of tumor suppressor gene p53 have been found in a variety of cancers, including urologic neoplasms. Several studies have been conducted on CaP specimens
B Martin et al.
British journal of cancer, 89(1), 55-64 (2003-07-03)
The role of the anti-apoptotic protein Bcl-2 in lung cancer remains controversial. In order to clarify its impact on survival in small and non-small cell lung cancer (NSCLC), we performed a systematic review of the literature. Trials were selected for
D R Ciocca et al.
Endocrine, 13(1), 1-10 (2000-10-29)
Tamoxifen is one of the most effective treatments for breast cancer. Standard practice is to select patients who are likely to respond to this therapy through the evaluation of estrogen receptor (ER) and progesterone receptor (PR) in the primary tumor
全球贸易项目编号
| 货号 | GTIN |
|---|---|
| 226M-94 | 0841683128229 |
| 226M-96-RUO | 04061836540722 |
| 226M-97 | 0841683128250 |
| 226M-95 | 0841683128236 |
| 226M-96 | 0841683128243 |
| 226M-98 | 0841683128267 |



