跳转至内容
Merck
CN

226R-1

BCL2 (E17) Rabbit Monoclonal Primary Antibody

登录 查看组织和合同定价。

选择尺寸

变更视图

关于此项目

NACRES:
NA.41
UNSPSC Code:
12352203
Conjugate:
unconjugated
Clone:
E17, monoclonal
Application:
IHC (p)
Citations:
7
技术服务
需要帮助?我们经验丰富的科学家团队随时乐意为您服务。
让我们为您提供帮助


biological source

rabbit

Quality Level

conjugate

unconjugated

antibody form

culture supernatant

antibody product type

primary antibodies

clone

E17, monoclonal

description

For In Vitro Diagnostic Use in Select Regions (See Chart)

form

buffered aqueous solution

species reactivity

human

packaging

vial of 0.1 mL concentrate (226R-14), vial of 0.5 mL concentrate (226R-15), bottle of 1.0 mL predilute (226R-17), vial of 1.0 mL concentrate (226R-16), bottle of 7.0 mL predilute (226R-18)

manufacturer/tradename

Cell Marque®

technique(s)

immunohistochemistry (formalin-fixed, paraffin-embedded sections): 1:25-1:100

isotype

IgG

control

tonsil

shipped in

wet ice

storage temp.

2-8°C

visualization

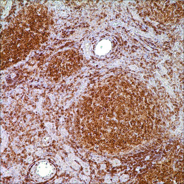
cytoplasmic

Gene Information

human ... BCL2(596)

General description

Anti-BCL2 has shown consistent negative reaction on reactive germinal centers and positive staining of neoplastic follicles in follicular lymphoma. Consequently, this antibody is valuable when distinguishing between reactive and neoplastic follicular proliferation in lymph node biopsies. This antibody may also be used in distinguishing between those follicular lymphomas that express BCL2 protein and the small number in which the neoplastic cells are BCL2 negative.

Physical form

Solution in Tris Buffer, pH 7.3-7.7, with 1% BSA and <0.1% Sodium Azide

Preparation Note

Download the IFU specific to your product lot and formatNote: This requires a keycode which can be found on your packaging or product label.

Other Notes

BCL2 Positive Control Slides, Product No. 226S, are available for immunohistochemistry (formalin-fixed, paraffin-embedded sections).
For Technical Service please contact: 800-665-7284 or email: service@cellmarque.com

Legal Information

Cell Marque is a registered trademark of Merck KGaA, Darmstadt, Germany


Still not finding the right product?

试用我们的 产品选型工具 工具缩小选择范围


存储类别

12 - Non Combustible Liquids

wgk

WGK 2

flash_point_f

Not applicable

flash_point_c

Not applicable

法规信息

监管及禁止进口产品

此项目有



历史批次信息供参考:

分析证书(COA)

Lot/Batch Number

没有发现合适的版本?

如果您需要特殊版本,可通过批号或批次号查找具体证书。

已有该产品?

在文件库中查找您最近购买产品的文档。

访问文档库



J W Moul
European urology, 35(5-6), 399-407 (1999-05-15)
Within the past 5 years, research has increasingly addressed molecular alterations in prostate cancer (CaP). Mutations of tumor suppressor gene p53 have been found in a variety of cancers, including urologic neoplasms. Several studies have been conducted on CaP specimens
B Martin et al.
British journal of cancer, 89(1), 55-64 (2003-07-03)
The role of the anti-apoptotic protein Bcl-2 in lung cancer remains controversial. In order to clarify its impact on survival in small and non-small cell lung cancer (NSCLC), we performed a systematic review of the literature. Trials were selected for
D R Ciocca et al.
Endocrine, 13(1), 1-10 (2000-10-29)
Tamoxifen is one of the most effective treatments for breast cancer. Standard practice is to select patients who are likely to respond to this therapy through the evaluation of estrogen receptor (ER) and progesterone receptor (PR) in the primary tumor



全球贸易项目编号

货号GTIN
226R-150841683128281
226R-170841683128304
226R-140841683128274
226R-160841683128298
226R-16-RUO04061836551438
226R-180841683128311