biological source
mouse
conjugate
unconjugated
antibody form
culture supernatant
antibody product type
primary antibodies
clone
CIV22, monoclonal
description
For In Vitro Diagnostic Use in Select Regions (See Chart)
form
buffered aqueous solution
species reactivity
human
packaging
vial of 0.1 mL concentrate (239M-14), vial of 0.5 mL concentrate (239M-15), bottle of 1.0 mL predilute (239M-17), vial of 1.0 mL concentrate (239M-16), bottle of 7.0 mL predilute (239M-18)
manufacturer/tradename
Cell Marque®
technique(s)
immunohistochemistry (formalin-fixed, paraffin-embedded sections): 1:50-1:200
isotype
IgG1
control
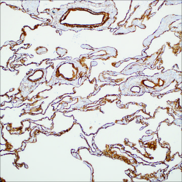
lung
shipped in
wet ice
storage temp.
2-8°C
Gene Information
human ... COL4A1(1282)
General description
Collagen Type IV is the major component of the basal lamina so antibodies to this molecule confirm its presence and reveal the morphological appearance of the structure. Normal tissue stains with this antibody in a fashion consistent with the sites of mesenchymal elements and epithelial basal laminae. Anti-Collagen IV can also be useful in the classification of soft tissue tumors: schwannomas and leiomyomas. Their well-differentiated, malignant counterparts usually immunoreact with this antibody. The vascular nature of neoplasms, hemangiopericytoma, angiosarcoma and epithelioid hemangioendothelioma can be revealed by this antibody with greater reliability than non-specific stains (e.g. silver reticulum)
Physical form
Solution in Tris Buffer, pH 7.3-7.7, with 1% BSA and <0.1% Sodium Azide
Preparation Note
Download the IFU specific to your product lot and formatNote: This requires a keycode which can be found on your packaging or product label.
Analysis Note
![]() IVD | ![]() IVD | ![]() IVD | ![]() RUO |
Other Notes
Collagen Type IV Positive Control Slides, Product No. 239S, are available for immunohistochemistry (formalin-fixed, paraffin-embedded sections).
For Technical Service please contact: 800-665-7284 or email: service@cellmarque.com
Legal Information
Cell Marque is a registered trademark of Merck KGaA, Darmstadt, Germany
Still not finding the right product?
试用我们的 产品选型工具 工具缩小选择范围
法规信息
监管及禁止进口产品
此项目有
K Schmehl et al.
International journal of colorectal disease, 15(1), 39-48 (2000-04-15)
Imbalances in epithelium-matrix interactions have been discussed as a pathomechanism in ulcerative colitis, causing a colonic mucosal barrier dysfunction. Laminin, the major noncollagenous component of the basement membrane, plays a role in epithelial basal lamina formation and promotes differentiation of
Origin and significance of the basal lamina and some interstitial fibrillar components in epithelial neoplasms.
V E Gould et al.
Pathology annual, 11, 353-386 (1976-01-01)
Shaima M Almasry et al.
International journal of immunopathology and pharmacology, 30(3), 282-296 (2017-08-12)
Effects of ribavirin on the structure of peritubular sheath (PS) of seminiferous tubules and on testicular functions were studied. We found that ribavirin at a dose of 4 mg/kg/day for 4 weeks produced a significant reduction in testosterone level (6.3 ± 0.2; P < 0.001) and
全球贸易项目编号
| 货号 | GTIN |
|---|---|
| 239M-14 | 0841683129523 |
| 239M-15 | 0841683129530 |
| 239M-16-RUO | 04061836551780 |
| 239M-16 | 0841683129547 |
| 239M-17 | 0841683129554 |
| 239M-18 | 0841683129561 |



