biological source
rabbit
conjugate
unconjugated
antibody form
Ig fraction of antiserum
antibody product type
primary antibodies
clone
polyclonal
description
For In Vitro Diagnostic Use in Select Regions (See Chart)
form
buffered aqueous solution
species reactivity
human
packaging
vial of 0.1 mL concentrate (250A-14), vial of 0.5 mL concentrate (250A-15), bottle of 1.0 mL predilute (250A-17), vial of 1.0 mL concentrate (250A-16), bottle of 7.0 mL predilute (250A-18)
manufacturer/tradename
Cell Marque®
technique(s)
immunohistochemistry (formalin-fixed, paraffin-embedded sections): 1:10-1:50
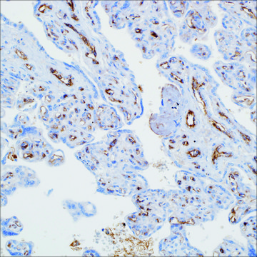
control
placenta
shipped in
wet ice
storage temp.
2-8°C
visualization
cytoplasmic
Gene Information
human ... VWF(7450)
General description
Factor VIII-Related Antigen or von Willebrand factor is a glycoprotein associated with hemostasis in promoting the adhesion of platelets. Anti-Factor VIII Related Antigen reactivity is seen in endothelial cells, hemangioma, and the majority of tumors of endothelial origin such as Kaposi’s sarcoma and angiosarcoma.
Physical form
Solution in Tris Buffer, pH 7.3-7.7, with 1% BSA and <0.1% Sodium Azide
Preparation Note
Download the IFU specific to your product lot and formatNote: This requires a keycode which can be found on your packaging or product label.
Analysis Note
![]() IVD | ![]() IVD | ![]() IVD | ![]() RUO |
Other Notes
Factor VIII-R Ag. (polyclonal) Positive Control Slides, Product No. 250S, are available for immunohistochemistry (formalin-fixed, paraffin-embedded sections).
For Technical Service please contact: 800-665-7284 or email: service@cellmarque.com
Legal Information
Cell Marque is a registered trademark of Merck KGaA, Darmstadt, Germany
Still not finding the right product?
试用我们的 产品选型工具 工具缩小选择范围
法规信息
监管及禁止进口产品
此项目有
X W Bian et al.
Analytical and quantitative cytology and histology, 22(3), 267-274 (2000-06-29)
To investigate the correlation of angiogenic factor expression levels with the degrees of malignancy and vascularity and their clinicopathologic significance in astrocytomas. Factor VIII-related antigen (FVIII-RAg) was used as the marker of endothelia and basic fibroblast growth factor (bFGF); FGF
Wick MR, et al.
Laboratory Investigation; a Journal of Technical Methods and Pathology, 52, 75A-75A (1985)
Immunohistochemistry and angiography in adenomatous hyperplasia and small hepatocellular carcinomas.
T Yamamoto et al.
Pathology international, 46(5), 364-371 (1996-05-01)
The sinusoidal structure and blood supply of 38 liver nodules less than 2 cm in diameter were investigated. There were 18 cases of adenomatous hyperplasia (AH) and 20 cases of hepatocellular carcinoma (HCC). Growth pattern, encapsulation and vascularity were examined
全球贸易项目编号
| 货号 | GTIN |
|---|---|
| 250A-15 | 0841683130468 |
| 250A-16-RUO | 04061836541637 |
| 250A-17 | 0841683130482 |
| 250A-18 | 0841683130499 |
| 250A-14 | 0841683130451 |
| 250A-16 | 0841683130475 |



