biological source
mouse
conjugate
unconjugated
antibody form
diluted ascites fluid
antibody product type
primary antibodies
clone
NKI/C3, monoclonal
description
For In Vitro Diagnostic Use in Select Regions (See Chart)
form
buffered aqueous solution
species reactivity
human
packaging
vial of 0.1 mL concentrate (263M-14), vial of 0.5 mL concentrate (263M-15), bottle of 1.0 mL predilute (263M-17), vial of 1.0 mL concentrate (263M-16), bottle of 7.0 mL predilute (263M-18)
manufacturer/tradename
Cell Marque®
technique(s)
immunohistochemistry (formalin-fixed, paraffin-embedded sections): 1:100-1:500
isotype
IgG1κ
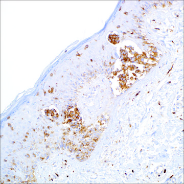
control
melanoma
shipped in
wet ice
storage temp.
2-8°C
visualization
cytoplasmic, membranous
Gene Information
human ... CD63(967)
General description
This antibody reacts with a 53 kDa protein which forms a part of the family of tetraspan moieties. The antigen was originally designated as a lysosomal membrane protein characterized as an activation dependent platelet surface antigen. In fact the CD63 antigen has a diverse distribution on the surface and in the cytoplasm of many cell types including lymphoid, myeloid, endothelial cells and melanoma. It has been quite useful in identifying malignant melanoma. Mete et al. found it useful in differentiating renal oncocytomas (RO) from eosinophilic renal cell carcinomas (eRCC). In his series of 35 ROs, 94% demonstrated apical and/or polar CD63 positivity. Of his 77 eRCCs, 96% showed diffuse cytoplasmic staining.
Physical form
Solution in Tris Buffer, pH 7.3-7.7, with 1% BSA and <0.1% Sodium Azide
Preparation Note
Download the IFU specific to your product lot and formatNote: This requires a keycode which can be found on your packaging or product label.
Analysis Note
![]() IVD | ![]() IVD | ![]() IVD | ![]() RUO |
Other Notes
CD63 Positive Control Slides, Product No. 263S, are available for immunohistochemistry (formalin-fixed, paraffin-embedded sections).
For Technical Service please contact: 800-665-7284 or email: service@cellmarque.com
Legal Information
Cell Marque is a registered trademark of Merck KGaA, Darmstadt, Germany
Still not finding the right product?
试用我们的 产品选型工具 工具缩小选择范围
法规信息
监管及禁止进口产品
此项目有
Ozgur Mete et al.
Virchows Archiv : an international journal of pathology, 447(6), 938-946 (2005-09-01)
Among the epithelial renal tumours with eosinophilic cytoplasm, the main differential diagnostic problem arises between renal oncocytomas (ROs) and eosinophilic variants of chromophobe renal cell carcinomas (RCCs). We investigated the possible role of anti-mitochondrial (AMA), anti-caveolin 1 (CAV1), anti-CD63 (CD63)
M M Barrio et al.
Hybridoma, 17(4), 355-364 (1998-10-28)
A monoclonal antibody (MAb) designated FC-5.01 (IgG2a) was generated that binds to several human carcinomas and malignant melanoma. It has revealed no or very low reactivity with most human normal tissues, except for the fact that FC-5.01 binds to some
D J Demetrick et al.
Journal of the National Cancer Institute, 84(6), 422-429 (1992-03-18)
Numerous monoclonal antibodies (MAbs) have been produced to antigens found in human melanomas. Three of the best characterized melanoma antigens include the melanoma-associated glycoproteins (MAGs) defined by two reagent families--the ME491 family (including ME491, 8-1H, and 8-2A) and the NKI/C-3
全球贸易项目编号
| 货号 | GTIN |
|---|---|
| 263M-16 | 0841683131526 |
| 263M-16-RUO | 04061836542375 |
| 263M-14 | 0841683131502 |
| 263M-15 | 0841683131519 |
| 263M-17 | 0841683131533 |
| 263M-18 | 0841683131540 |



