biological source
mouse
conjugate
unconjugated
antibody form
culture supernatant
antibody product type
primary antibodies
clone
OSCAR, monoclonal
description
For In Vitro Diagnostic Use in Select Regions (See Chart)
form
buffered aqueous solution
species reactivity
human
packaging
vial of 0.1 mL concentrate (300M-14), vial of 0.5 mL concentrate (300M-15), bottle of 1.0 mL predilute (300M-17), vial of 1.0 mL concentrate (300M-16), bottle of 7.0 mL predilute (300M-18)
manufacturer/tradename
Cell Marque®
technique(s)
immunohistochemistry (formalin-fixed, paraffin-embedded sections): 1:25-1:100
isotype
IgG2a
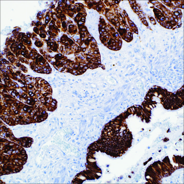
control
prostate
shipped in
wet ice
storage temp.
2-8°C
visualization
cytoplasmic
Gene Information
human ... KRT1(3848)
General description
Physical form
Preparation Note
Analysis Note
![]() IVD | ![]() IVD | ![]() IVD | ![]() RUO |
Other Notes
Legal Information
Still not finding the right product?
试用我们的 产品选型工具 工具缩小选择范围
法规信息
此项目有
相关内容
诊断性免疫组化是一系列用于识别组织异常、建立预后并提示治疗方式的技术。其基本原理是一种抗原-抗体结合反应,利用酶或荧光染料来标记抗体,呈现出组织或组织切片中特定抗原的位置和分布。
Diagnostic immunohistochemistry overview highlights its importance in cancer diagnosis and detecting infectious diseases in modern clinical pathology.
全球贸易项目编号
| 货号 | GTIN |
|---|---|
| 300M-14 | 0841683134251 |
| 300M-15 | 0841683134268 |
| 300M-16 | 0841683134275 |
| 300M-16-RUO | 04061836543983 |
| 300M-17 | 0841683134282 |
| 300M-18 | 0841683134299 |



