biological source
mouse
conjugate
unconjugated
antibody form
culture supernatant
antibody product type
primary antibodies
clone
MRQ-55, monoclonal
description
For In Vitro Diagnostic Use in Select Regions (See Chart)
form
buffered aqueous solution
species reactivity
human
packaging
vial of 0.1 mL concentrate (306M-24), vial of 0.5 mL concentrate (306M-25), bottle of 1.0 mL predilute (306M-27), vial of 1.0 mL concentrate (306M-26), bottle of 7.0 mL predilute (306M-28)
manufacturer/tradename
Cell Marque®
technique(s)
immunohistochemistry (formalin-fixed, paraffin-embedded sections): 1:50-1:200
isotype
IgG2b
control
appendix/colon, schwannoma
shipped in
wet ice
storage temp.
2-8°C
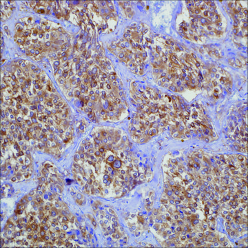
visualization
cytoplasmic
Gene Information
human ... ENO2(2026)
General description
Neuron-specific enolase (NSE) is a glycolytic isoenzyme of the enolase gamma-gamma dimerselectively detected in neurons, peripheral nerves, some neuroendocrine cells, and tumors.NSE immunoreactivity is also observed, to a lesser extent, in smooth muscle tissue. Anti-NSEis often used to visualize peripheral nerves and for the identification of neuroendocrinedifferentiation.
Physical form
Solution in Tris Buffer, pH 7.3-7.7, with 1% BSA and <0.1% Sodium Azide
Preparation Note
Download the IFU specific to your product lot and formatNote: This requires a keycode which can be found on your packaging or product label.
Analysis Note
![]() IVD | ![]() IVD | ![]() IVD | ![]() RUO |
Other Notes
For Technical Service please contact: 800-665-7284 or email: service@cellmarque.com
NSE Positive Control Slides, Product No. 306S, are available for immunohistochemistry (formalin-fixed, paraffin-embedded sections).
Legal Information
Cell Marque is a registered trademark of Merck KGaA, Darmstadt, Germany
Still not finding the right product?
试用我们的 产品选型工具 工具缩小选择范围
存储类别
12 - Non Combustible Liquids
wgk
WGK 2
flash_point_f
Not applicable
flash_point_c
Not applicable
法规信息
监管及禁止进口产品
此项目有
M R Wick et al.
American journal of clinical pathology, 79(6), 703-707 (1983-06-01)
In order to better define the use of neuron-specific enolase (NSE) as a marker for neuroendocrine neoplasms, we studied 11 thymic carcinoid tumors, three bronchial small-cell carcinomas (all with cutaneous metastases), and 10 trabecular carcinomas of the skin for its
A S Leong et al.
Pathology, 18(4), 393-399 (1986-10-01)
Thirteen cases of primary endocrine carcinoma of the skin (Merkel cell carcinoma) were reviewed with the aim of defining the morphological, immunohistochemical and ultrastructural criteria for diagnosis. The tumour cells were characterized by their scanty cytoplasm, generally small uniform nuclei
E H Cooper
The International journal of biological markers, 9(4), 205-210 (1994-10-01)
The clinical value of neuron-specific enolase as a marker is small cell lung cancer, neuroblastoma, melanoma and seminoma has been reviewed. The role of serum and cerebrospinal NSE in benign and malignant disease of the central nervous system is discussed.
全球贸易项目编号
| 货号 | GTIN |
|---|---|
| 306M-25 | 0841683120995 |
| 306M-26 | 0841683134640 |
| 306M-26-RUO | 04061836531300 |
| 306M-27 | 0841683121008 |
| 306M-24 | 0841683120988 |
| 306M-28 | 0841683121015 |



