biological source
mouse
conjugate
unconjugated
antibody form
culture supernatant
antibody product type
primary antibodies
clone
24, monoclonal
description
For In Vitro Diagnostic Use in Select Regions (See Chart)
form
buffered aqueous solution
species reactivity
human
packaging
bottle of 1.0 mL predilute (312M-17), bottle of 7.0 mL predilute (312M-18)
manufacturer/tradename
Cell Marque®
technique(s)
immunohistochemistry (formalin-fixed, paraffin-embedded sections): 1:100-1:500
isotype
IgG1
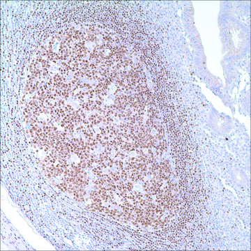
control
tonsil
shipped in
wet ice
storage temp.
2-8°C
visualization
nuclear
Gene Information
human ... PAX5(5079)
General description
PAX-5 encodes for B-cell-specific activator protein (BSAP), a marker for B-cells, including B-lymphoblastic neoplasms and maturation stage. It is found in most cases of mature and precursor B-cell non-Hodgkin lymphomas/leukemias. In approximately 97% of cases of classic Hodgkin lymphoma, Reed-Sternberg cells express PAX-5. PAX-5 is not detected in multiple myeloma and solitary plasmacytoma, making it useful for such differentiation. Diffuse large B-cell lymphomas do express PAX-5, save for those with terminal B-cell differentiation. T-cell neoplasms do not stain with anti-PAX-5. There is a strong association with CD20 expression.
Physical form
Solution in Tris Buffer, pH 7.3-7.7, with 1% BSA and <0.1% Sodium Azide
Preparation Note
Download the IFU specific to your product lot and formatNote: This requires a keycode which can be found on your packaging or product label.
Analysis Note
![]() IVD | ![]() IVD | ![]() IVD | ![]() RUO |
Other Notes
For Technical Service please contact: 800-665-7284 or email: service@cellmarque.com
PAX-5 Positive Control Slides, Product No. 312S, are available for immunohistochemistry (formalin-fixed, paraffin-embedded sections).
Legal Information
Cell Marque is a registered trademark of Merck KGaA, Darmstadt, Germany
Still not finding the right product?
试用我们的 产品选型工具 工具缩小选择范围
法规信息
监管及禁止进口产品
此项目有
Emina Torlakovic et al.
The American journal of surgical pathology, 26(10), 1343-1350 (2002-10-03)
Whereas L26 (anti-CD20) is well established as a B-cell marker of high specificity for use in paraffin-embedded tissues and JCB117 (anti-CD79a) is increasingly used, a comparable additional pan-B-cell antibody has hitherto not yet been identified. Here we have studied the
Ines Schwering et al.
Blood, 101(4), 1505-1512 (2002-10-24)
Hodgkin and Reed-Sternberg (HRS) cells represent the malignant cells in classical Hodgkin lymphoma (HL). Because their immunophenotype cannot be attributed to any normal cell of the hematopoietic lineage, the origin of HRS cells has been controversially discussed, but molecular studies
Brunangelo Falini et al.
Blood, 99(2), 409-426 (2002-01-10)
Acquired chromosomal anomalies (most commonly translocations) in lymphoma and leukemia usually result in either activation of a quiescent gene (by means of immunoglobulin or T-cell-receptor promotors) and expression of an intact protein product, or creation of a fusion gene encoding
全球贸易项目编号
| 货号 | GTIN |
|---|---|
| 312M-14-RUO | 04061826682739 |
| 312M-15-RUO | 04061826683545 |
| 312M-16-RUO | 04061826683583 |
| 312M-17 | 0841683134978 |
| 312M-14 | 0841683134916 |
| 312M-15 | 0841683134954 |
| 312M-16 | 0841683134961 |
| 312M-18 | 0841683134985 |



