biological source
rabbit
conjugate
unconjugated
antibody form
culture supernatant
antibody product type
primary antibodies
clone
EP130, monoclonal
description
(For In Vitro Diagnostic Use in Select Regions (See Chart))
form
buffered aqueous solution
species reactivity
human
packaging
bottle of 1.0 mL predilute (332R-17), bottle of 7.0 mL predilute (332R-18), vial of 0.1 mL concentrate (332R-14), vial of 0.5 mL concentrate (332R-15), vial of 1.0 mL concentrate (332R-16)
manufacturer/tradename
Cell Marque®
technique(s)
immunohistochemistry (formalin-fixed, paraffin-embedded sections): 1:100-1:500
isotype
IgG
shipped in
wet ice
storage temp.
2-8°C
Gene Information
human ... SST(6750)
General description
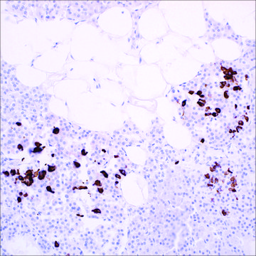
Somatostatin is a peptide hormone widely distributed throughout the body and is an important regulator of endocrine and nervous system function. Somatostatin can also be found in gastrointestinal and bronchopulmonary endocrine cells, thymic endocrine cells, and thyroid C-cells. Anti-somatostatin is a useful marker of D-cells of pancreatic islet cells.1,2 D-cells identification can be used to identify hyperplasia of the pancreatic islets of Langerhans and tumors arising from these cells. Anti-somatostatin recognizes somatostatin-containing cells in pancreatic tumors, islet cell hyperplasia, and islet cells originating in pancreatic ductules.3-7
Physical form
Solution in Tris Buffer, pH 7.3-7.7, with 1% BSA and <0.1% Sodium Azide.
Preparation Note
Download the IFU specific to your product lot and formatNote: This requires a keycode which can be found on your packaging or product label.
Analysis Note
![]() IVD | ![]() IVD | ![]() IVD | ![]() RUO |
Other Notes
For Technical Service please contact: 800-665-7284 or email: service@cellmarque.com
Somatostatin Positive Control Slides, Product No. 332S, are available for immunohistochemistry (formalin-fixed, paraffin-embedded sections).
Legal Information
Cell Marque is a registered trademark of Merck KGaA, Darmstadt, Germany
Still not finding the right product?
试用我们的 产品选型工具 工具缩小选择范围
存储类别
12 - Non Combustible Liquids
wgk
WGK 2
flash_point_f
Not applicable
flash_point_c
Not applicable
法规信息
监管及禁止进口产品
此项目有
G Chejfec et al.
Ultrastructural pathology, 16(5), 537-545 (1992-09-01)
Upper gastrointestinal tract neuroendocrine tumors producing predominantly somatostatin have thus far been described only in the duodenum; their characteristic features include the frequent presence of psammoma bodies (psammomatous somatostinomas), and the association with von Recklinghausen's neurofibromatosis. Gastric neuroendocrine tumors, on
Maria Angelova Tzaneva
Acta histochemica, 105(2), 191-201 (2003-07-02)
Five types of endocrine cells are found in the human antral gastric mucosa: gastrin (G) cells, somatostatin (D) cells, enterochromaffin (EC) cells and cells with an unknown secretory product (D1 cells and P cells). The content of secretory granules, gastrin
G J Krejs et al.
The New England journal of medicine, 301(6), 285-292 (1979-08-09)
Diabetes mellitus, steatorrhea, cholelithiasis and a tumor distorting the duodenum prompted a work-up for somatostatinoma in a 52-year-old man. The responses of pancreatic B-cells but not of A-cells to nutrient stimuli were inhibited, and growth-hormone release was suppressed, suggesting somatostatin
全球贸易项目编号
| 货号 | GTIN |
|---|---|
| 332R-17 | 0841683116431 |
| 332R-14 | 0841683116448 |
| 332R-14-RUO | 04061826737026 |
| 332R-15 | 0841683116455 |
| 332R-15-RUO | 04061836605582 |
| 332R-16 | 0841683116424 |
| 332R-16-RUO | 04061836605599 |
| 332R-17-RUO | 04061836596538 |
| 332R-18 | 0841683136620 |
| 332R-18-RUO | 04061836605605 |



