biological source
mouse
conjugate
unconjugated
antibody form
culture supernatant
antibody product type
primary antibodies
clone
34betaE12, monoclonal
description
For In Vitro Diagnostic Use in Select Regions (See Chart)
form
buffered aqueous solution
species reactivity
human
packaging
vial of 0.1 mL concentrate (334M-84), vial of 0.5 mL concentrate (334M-85), bottle of 1.0 mL predilute (334M-87), vial of 1.0 mL concentrate (334M-86), bottle of 7.0 mL predilute (334M-88)
manufacturer/tradename
Cell Marque®
technique(s)
immunohistochemistry (formalin-fixed, paraffin-embedded sections): 1:100-1:500
isotype
IgG1κ
control
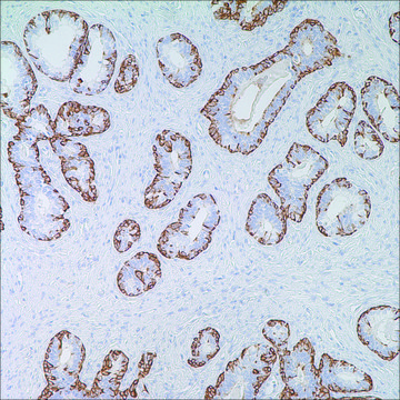
prostate
shipped in
wet ice
storage temp.
2-8°C
visualization
cytoplasmic
Gene Information
human ... KRT1(3848)
General description
Anti-Cytokeratin, 34betaE12 is an antibody to high molecular weight cytokeratin that reacts with all squamous and ductal epithelium and stains carcinomas. This antibody recognizes cytokeratins 1,5,10, and 14 that are found in complex epithelia. Anti-Cytokeratin, 34betaE12 shows no reactivity with hepatocytes, pancreatic acinar cells, proximal renal tubules, or endometrial glands; there has been no reactivity with cells derived from simple epithelia. Mesenchymal tumors, lymphomas, melanomas, and neural tumors are unreactive with this antibody with some exceptions. Anti-Cytokeratin, 34betaE12 does label myoepithelial cells and has been shown to be useful in distinguishing prostatic adenocarcinoma from hyperplasia of the prostate. This antibody has also been useful in separating benign from malignant intraductal breast proliferations.
Physical form
Solution in Tris Buffer, pH 7.3-7.7, with 1% BSA and <0.1% Sodium Azide
Preparation Note
Download the IFU specific to your product lot and formatNote: This requires a keycode which can be found on your packaging or product label.
Analysis Note
![]() IVD | ![]() IVD | ![]() IVD | ![]() RUO |
Other Notes
Cytokeratin (34betaE12) Positive Control Slides , Product No. 334S, are available for immunohistochemistry (formalin-fixed, paraffin-embedded sections).
For Technical Service please contact: 800-665-7284 or email: service@cellmarque.com
Legal Information
Cell Marque is a registered trademark of Merck KGaA, Darmstadt, Germany
Still not finding the right product?
试用我们的 产品选型工具 工具缩小选择范围
法规信息
监管及禁止进口产品
此项目有
M B Amin et al.
Archives of pathology & laboratory medicine, 118(3), 260-264 (1994-03-01)
Histologic review of 48 radical prostatectomy specimens containing both prostatic adenocarcinoma (PC) and high-grade prostatic intraepithelial neoplasia (PIN) resulted in 23 cases containing neoplastic cribriform gland (CGs) at the periphery or within PC fields. The histologic characteristics of CG PIN
A M Gown et al.
The American journal of pathology, 114(2), 309-321 (1984-02-01)
Monoclonal antibodies generated against different human intermediate filament (IF) proteins were assayed on fixed, embedded tissue by the biotin-avidin-immunoperoxidase method for evaluation of the tissue specificity of these antibodies. An antibody (43 beta E8) made to fibroblast IF protein stains
F P O'Malley et al.
Virchows Archiv. A, Pathological anatomy and histopathology, 417(3), 191-196 (1990-01-01)
There are a number of benign, small-acinar lesions in the prostate gland that may be difficult to differentiate from small-acinar adenocarcinoma. An important diagnostic criterion in this differentiation is the loss of the basal layer in small-acinar adenocarcinoma and its
全球贸易项目编号
| 货号 | GTIN |
|---|---|
| 334M-86 | 0841683136736 |
| 334M-86-RUO | 04061836532505 |
| 334M-88 | 0841683136750 |
| 334M-84 | 0841683136712 |
| 334M-85 | 0841683136729 |
| 334M-87 | 0841683136743 |



