biological source
mouse
conjugate
unconjugated
antibody form
culture supernatant
antibody product type
primary antibodies
clone
1009, monoclonal
description
For In Vitro Diagnostic Use in Select Regions (See Chart)
form
buffered aqueous solution
species reactivity
human
packaging
vial of 0.1 mL concentrate (339M-14), vial of 0.5 mL concentrate (339M-15), bottle of 1.0 mL predilute (339M-17), vial of 1.0 mL concentrate (339M-16), bottle of 7.0 mL predilute (339M-18)
manufacturer/tradename
Cell Marque®
technique(s)
immunohistochemistry (formalin-fixed, paraffin-embedded sections): 1:25-1:100
isotype
IgG1κ
control
bladder, mesothelioma
shipped in
wet ice
storage temp.
2-8°C
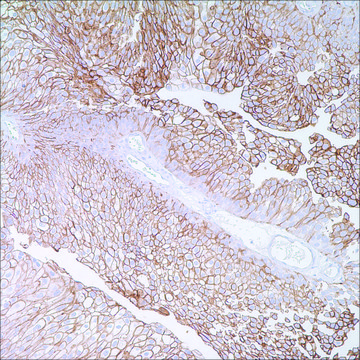
visualization
membranous
Gene Information
human ... THBD(7056)
General description
Thrombomodulin is a transmembrane glycoprotein composed of 575 amino acids (molecular weight 75 kD with natural anticoagulant properties. It is normally expressed by a restricted number of cells, such as endothelial and mesothelial cells. In addition, synovial lining and syncytiotrophoblasts of human placenta also express thrombomodulin. Several immunohistochemical endothelial markers are currently available and anti-thrombomodulin serves as another such marker, staining blood and lymphatic channels consistently. Anti-thrombomodulin has demonstrated positivity in 100% of benign vascular tumors (pyogenic granuloma and hemangioma) and 94% of malignant vascular tumors (Kaposi′s sarcoma, angiosarcoma, and epithelioid hemangioendothelioma). Hence, anti-thrombomodulin serves as a sensitive marker for lymphatic endothelial cells and their tumors. There has also been recent interest in the use of anti-thrombomodulin as an immunohiostochemical marker for mesothelial cells and malignant mesotheliomas. Anti-thrombomodulin is immunoexpressed in a variety of other tumors including squamous cell carcinomas of the lung, synovial sarcoma, transitional cell carcinoma, renal cell carcinomas and thymomas.
Physical form
Solution in Tris Buffer, pH 7.3-7.7, with 1% BSA and <0.1% Sodium Azide
Preparation Note
Download the IFU specific to your product lot and formatNote: This requires a keycode which can be found on your packaging or product label.
Analysis Note
![]() IVD | ![]() IVD | ![]() IVD | ![]() RUO |
Other Notes
For Technical Service please contact: 800-665-7284 or email: service@cellmarque.com
Thrombomodulin Positive Control Slides, Product No. 339S, are available for immunohistochemistry (formalin-fixed, paraffin-embedded sections).
Legal Information
Cell Marque is a registered trademark of Merck KGaA, Darmstadt, Germany
Still not finding the right product?
试用我们的 产品选型工具 工具缩小选择范围
法规信息
监管及禁止进口产品
此项目有
Diagnostic Immunohistochemistry: Theranostic and Genomic Applications, 234-235 (2010)
R L Attanoos et al.
Histopathology, 41(1), 42-49 (2002-07-18)
To illustrate the macroscopic, light microscopic and immunophenotypic similarities that exist between primary pleural thymic epithelial tumours and diffuse malignant mesothelioma. To investigate the expression of the mesothelial markers, cytokeratin (CK) 5/6, calretinin and thrombomodulin in a series of mediastinal
C L Collins et al.
The American journal of pathology, 141(4), 827-833 (1992-10-01)
Thrombomodulin (TM) is a glycoprotein of molecular weight 75,000 kd that is normally present in restricted numbers of cells, including endothelial and mesothelial cells. In this study, the authors tested the possibility of using anti-TM to facilitate the diagnosis of
全球贸易项目编号
| 货号 | GTIN |
|---|---|
| 339M-14 | 0841683137047 |
| 339M-15 | 0841683137054 |
| 339M-16-RUO | 04061838382245 |
| 339M-16 | 0841683137061 |
| 339M-17 | 0841683137078 |
| 339M-18 | 0841683137085 |



