biological source
mouse
conjugate
unconjugated
antibody form
culture supernatant
antibody product type
primary antibodies
clone
6F-H2, monoclonal
description
For In Vitro Diagnostic Use in Select Regions (See Chart)
form
buffered aqueous solution
species reactivity
human
packaging
vial of 0.1 mL concentrate (348M-94), vial of 0.5 mL concentrate (348M-95), bottle of 1.0 mL predilute (348M-97), vial of 1.0 mL concentrate (348M-96), bottle of 7.0 mL predilute (348M-98)
manufacturer/tradename
Cell Marque®
technique(s)
immunohistochemistry (formalin-fixed, paraffin-embedded sections): 1:100-1:500
isotype
IgG1κ
control
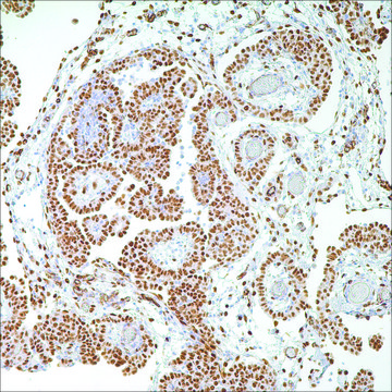
kidney, mesothelioma, ovarian carcinoma (serous), testis
shipped in
wet ice
storage temp.
2-8°C
visualization
nuclear
Gene Information
human ... WT1(7490)
General description
Wilms’ tumor 1 protein (WT1) is a zinc finger transcription factor, normally expressed intissues of mesodermal origin. The Wilms’ tumor gene encodes a protein that functionsas a tumor suppressor gene mapped to human chromosome 11p13.2 Nuclear WT1immunoreactivity has been observed in high frequencies in several types of mesoderm-derived tumors including epithelioid mesothelioma and ovarian serous carcinoma and thus isused as a marker for these neoplasms.
Physical form
Solution in Tris Buffer, pH 7.3-7.7, with 1% BSA and <0.1% Sodium Azide
Preparation Note
Download the IFU specific to your product lot and formatNote: This requires a keycode which can be found on your packaging or product label.
Analysis Note
![]() IVD | ![]() IVD | ![]() IVD | ![]() RUO |
Other Notes
For Technical Service please contact: 800-665-7284 or email: service@cellmarque.com
WT-1 Positive Control Slides, Product No. 348S, are available for immunohistochemistry (formalin-fixed, paraffin-embedded sections).
Legal Information
Cell Marque is a registered trademark of Merck KGaA, Darmstadt, Germany
Still not finding the right product?
试用我们的 产品选型工具 工具缩小选择范围
法规信息
监管及禁止进口产品
此项目有
Rena J May et al.
Clinical cancer research : an official journal of the American Association for Cancer Research, 13(15 Pt 1), 4547-4555 (2007-08-03)
Wilms' tumor 1 protein (WT1), a transcription factor overexpressed in malignant mesothelioma, leukemias, and other solid tumors, is an ideal target for immunotherapy. WT1 class I peptide epitopes that were identified and shown to stimulate CD8(+) T cells are being
M A Ghanem et al.
Clinical cancer research : an official journal of the American Association for Cancer Research, 6(11), 4265-4271 (2000-12-06)
Wilms' tumor is one of the most common solid tumors of children. The protein product of the tumor-suppressor gene, Wilms' tumor 1 (WT-1), binds to the same DNA sequences as the protein product of the early growth response 1 (EGR-1)
Nelson G Ordóñez
Archives of pathology & laboratory medicine, 129(11), 1407-1414 (2005-10-29)
Several new immunohistochemical markers that can assist in the diagnosis of mesotheliomas have been recognized recently. This article reviews the current information available on these markers and also provides a practical approach to the immunohistochemical diagnosis of epithelioid mesotheliomas. Current
全球贸易项目编号
| 货号 | GTIN |
|---|---|
| 348M-95 | 0841683137764 |
| 348M-96 | 0841683137771 |
| 348M-97 | 0841683137788 |
| 348M-98 | 0841683137795 |
| 348M-94 | 0841683137757 |
| 348M-96-RUO | 04061836533311 |



