biological source
rabbit
conjugate
unconjugated
antibody form
Ig fraction of antiserum
antibody product type
primary antibodies
clone
polyclonal
description
For In Vitro Diagnostic Use in Select Regions (See Chart)
form
buffered aqueous solution
species reactivity
human
packaging
vial of 0.1 mL concentrate (355A-14), vial of 0.5 mL concentrate (355A-15), bottle of 1.0 mL predilute (355A-17), vial of 1.0 mL concentrate (355A-16), bottle of 7.0 mL predilute (355A-18)
manufacturer/tradename
Cell Marque®
technique(s)
immunohistochemistry (formalin-fixed, paraffin-embedded sections): 1:50-1:200
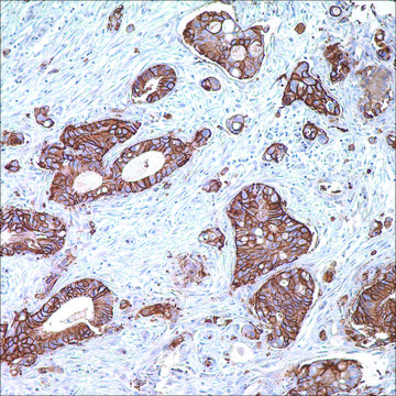
control
colorectal carcinoma, mesothelioma
shipped in
wet ice
storage temp.
2-8°C
visualization
membranous
Gene Information
human ... SLC2A1(6513)
General description
Glucose transporter type I (GLUT1), a prototype member of GLUT superfamily, is a membrane-associated erythrocyte glucose transport protein. It is a major glucose transporter in the mammalian blood-brain barrier, and also mediates glucose transport in endothelial cells of the vasculature, adipose tissue, and cardiac muscle. GLUT1 is detectable in many human tissues including those of colon, lung, stomach, esophagus, and breast. GLUT1 is overexpressed in malignant cells and in a variety of tumors that include the breast, pancreas, cervix, endometrium, lung, mesothelium, colon, bladder, thyroid, bone, soft tissues, and oral cavity. Immunohistochemical detection of GLUT1 has been shown to discriminate between reactive mesothelium and malignant mesothelioma in more than one study.Anti-GLUT1 is also useful in distinguishing benign endometrial hyperplasia from atypical endometrial hyperplasia and adenocarcinoma.
Physical form
Solution in Tris Buffer, pH 7.3-7.7, with 1% BSA and <0.1% Sodium Azide
Preparation Note
Download the IFU specific to your product lot and formatNote: This requires a keycode which can be found on your packaging or product label.
Analysis Note
![]() IVD | ![]() IVD | ![]() IVD | ![]() RUO |
Other Notes
For Technical Service please contact: 800-665-7284 or email: service@cellmarque.com
GLUT1 Positive Control Slides, Product No. 355S, are available for immunohistochemistry (formalin-fixed, paraffin-embedded sections).
Legal Information
Cell Marque is a registered trademark of Merck KGaA, Darmstadt, Germany
Still not finding the right product?
试用我们的 产品选型工具 工具缩小选择范围
存储类别
12 - Non Combustible Liquids
wgk
WGK 2
flash_point_f
Not applicable
flash_point_c
Not applicable
法规信息
监管及禁止进口产品
此项目有
Value of immunohistochemical markers in differentiating benign from malignant mesothelial lesions
Acurio A, et al.
United States and Canadian Academy of Pathology Annual Meeting, 2008 null
Alaa Afify et al.
Acta cytologica, 49(6), 621-626 (2006-02-03)
To evaluate the extent to which adenocarcinomas in body cavity fluids express GLUT-1 in comparison to currently available markers for adenocarcinomas. Archival paraffin-embedded cell blocks of serous fluids from 25 cases of benign effusions containing reactive mesothelial cells and 39
Yasufumi Kato et al.
Modern pathology : an official journal of the United States and Canadian Academy of Pathology, Inc, 20(2), 215-220 (2006-12-29)
The separation of benign reactive mesothelium (RM) from malignant mesothelial proliferation can be a major challenge. A number of markers have been proposed, including epithelial membrane antigen, p53 protein, and P-glycoprotein. To date, however, no immunohistochemical marker that allows unequivocal
全球贸易项目编号
| 货号 | GTIN |
|---|---|
| 355A-14 | 0841683138242 |
| 355A-16-RUO | 04061836533472 |
| 355A-15 | 0841683138259 |
| 355A-16 | 0841683138266 |
| 355A-17 | 0841683138273 |
| 355A-18 | 0841683138280 |



