biological source
mouse
conjugate
unconjugated
antibody form
diluted ascites fluid
antibody product type
primary antibodies
clone
R4A, monoclonal
description
For In Vitro Diagnostic Use in Select Regions (See Chart)
form
buffered aqueous solution
species reactivity
human
packaging
vial of 0.1 mL concentrate (377M-14), vial of 0.5 mL concentrate (377M-15), bottle of 1.0 mL predilute (377M-17), vial of 1.0 mL concentrate (377M-16), bottle of 7.0 mL predilute (377M-18)
manufacturer/tradename
Cell Marque®
technique(s)
immunohistochemistry (formalin-fixed, paraffin-embedded sections): 1:100-1:500
isotype
IgG1
control
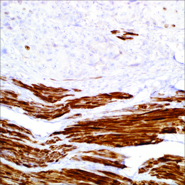
bladder, leiomyoma
shipped in
wet ice
storage temp.
2-8°C
visualization
cytoplasmic, nuclear
Gene Information
human ... SMTN(6525)
General description
Smoothelin is a constituent of the smooth muscle cell cytoskeleton protein exclusively found in differentiated smooth muscle cells (SMC). Cells with SMC-like characteristics, such as myofibroblasts and myoepithelial cells, as well as skeletal and cardiac muscle do not contain smoothelin. To distinguish bladder muscularis mucosae (MM) from muscularis propria (MP) muscle bundles is crucial for accurate staging of bladder carcinoma. Strong smoothelin expression is nearly exclusively observed in muscularis propria. Therefore, the staining pattern of MP (strongly positive) and MM (negative or weakly positive) makes this technique an attractive diagnostic tool for the sometimes difficult task of staging bladder urothelial carcinoma, such as in transurethral resection specimens of urinary bladder tumors. Differentiating between smooth muscle tumors and other mesenchymal neoplasms of the GI tract can be challenging in small biopsies. Anti-smoothelin immunostaining can be helpful in differentiating benign (+) from malignant smooth muscle tumors (-), and other mimics(-).
Physical form
Solution in Tris Buffer, pH 7.3-7.7, with 1% BSA and <0.1% Sodium Azide
Preparation Note
Download the IFU specific to your product lot and formatNote: This requires a keycode which can be found on your packaging or product label.
Analysis Note
![]() IVD | ![]() IVD | ![]() IVD | ![]() RUO |
Other Notes
For Technical Service please contact: 800-665-7284 or email: service@cellmarque.com
Smoothelin Positive Control Slides, Product No. 377S, are available for immunohistochemistry (formalin-fixed, paraffin-embedded sections).
Legal Information
Cell Marque is a registered trademark of Merck KGaA, Darmstadt, Germany
Still not finding the right product?
试用我们的 产品选型工具 工具缩小选择范围
法规信息
监管及禁止进口产品
此项目有
C Maake et al.
The Journal of urology, 175(3 Pt 1), 1152-1157 (2006-02-14)
We established the expression pattern of smoothelin, a marker protein for contractile smooth muscle cells, in the human detrusor and investigated its possible impact on bladder overactivity. Detrusor samples of 13 overactive bladders (sensory urge and detrusor instability) were obtained
Gladell P Paner et al.
The American journal of surgical pathology, 33(1), 91-98 (2008-10-22)
Accurate recognition of urinary bladder muscularis propria (MP) invasion by urothelial carcinoma is crucial as it is the critical crossroad between conservative and aggressive management for the patient. It is now widely known that an inconsistent layer of muscularis mucosae
Gladell P Paner et al.
The American journal of surgical pathology, 34(6), 792-799 (2010-04-28)
Accurate recognition of muscularis propria invasion by urothelial carcinoma is vital as it serves as a crossroad between conservative and aggressive clinical management. Recently, there has been attention to the hyperplastic pattern of muscularis mucosae which may mimic the muscularis
全球贸易项目编号
| 货号 | GTIN |
|---|---|
| 377M-17 | 0841683139751 |
| 377M-18 | 0841683139768 |
| 377M-14 | 0841683139720 |
| 377M-15 | 0841683139737 |
| 377M-16 | 0841683139744 |
| 377M-16-RUO | 04061836546618 |



