biological source
mouse
conjugate
unconjugated
antibody form
culture supernatant
antibody product type
primary antibodies
clone
211F1.1, monoclonal
description
For In Vitro Diagnostic Use in Select Regions (See Chart)
form
buffered aqueous solution
species reactivity
human
packaging
vial of 0.1 mL concentrate (387M-14), vial of 0.5 mL concentrate (387M-15), bottle of 1.0 mL predilute (387M-17), vial of 1.0 mL concentrate (387M-16), bottle of 7.0 mL predilute (387M-18)
manufacturer/tradename
Cell Marque®
technique(s)
immunohistochemistry (formalin-fixed, paraffin-embedded sections): 1:25-1:100
isotype
IgG2aκ
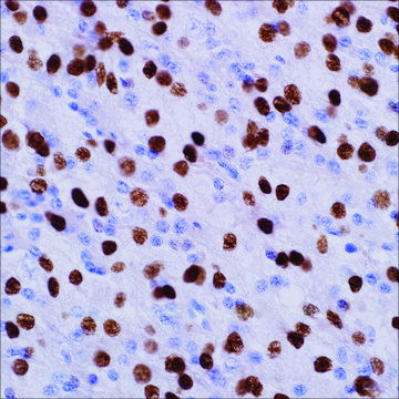
control
astrocytoma
shipped in
wet ice
storage temp.
2-8°C
visualization
nuclear
Gene Information
human ... OLIG2(10215)
General description
Olig2, a basic helix–loop–helix transcription factor, is involved in oligodendroglial specification. Olig2 expression has been reported in most glial tumors, such as oligodendrogliomas and astrocytomas. Although more than half of glioblastomas are positive for Olig2, expression is very weak in terms of both percentage of labeled cells and intensity. No Olig2 expression has been found in the non-glial tumors including neuroepithelial tumors, ependymomas, subependymomas, medulloblastomas, and nonneuroepithelial tumors, such as CNS lymphomas, meningiomas, schwannomas, atypical teratoid/rhabdoid tumor, and haemangioblastomas. Compared to the strong staining seen in glioma samples, a weak expression is observed in non-tumoral brain tissue (gliosis). In order to characterize cellular subtypes that constitute astrocytomas, oligoastrocytomas and oligodendrogliomas, double labeling of Olig2 and GFAP has been performed which identified two phenotypically distinct tumor populations. The first is Olig2+/GFAP– which has an oligodendroglial morphology, corresponding to pure oligodendrogliomas that contain only oligodendroglial cells; the second is Olig2–/GFAP+ which has an astrocytic phenotype, including not only oligoastrocytomas, but also WHO astrocytomas. Depending on proportion and spatial clustering of the two phenotypically distinct tumor populations, the tumor (Olig2-/GFAP+) is classified either as an astrocytoma when both populations are intermingled with a dominance of GFAP+ cells or oligoastrocytoma when there is some degree of spatial clustering of the GFAP+ cells.
Physical form
Solution in Tris Buffer, pH 7.3-7.7, with 1% BSA and <0.1% Sodium Azide
Preparation Note
Download the IFU specific to your product lot and formatNote: This requires a keycode which can be found on your packaging or product label.
Analysis Note
![]() IVD | ![]() IVD | ![]() IVD | ![]() NA |
Other Notes
For Technical Service please contact: 800-665-7284 or email: service@cellmarque.com
Olig2 Positive Control Slides, Product No. 387S, are available for immunohistochemistry (formalin-fixed, paraffin-embedded sections).
Legal Information
Cell Marque is a registered trademark of Merck KGaA, Darmstadt, Germany
Still not finding the right product?
试用我们的 产品选型工具 工具缩小选择范围
法规信息
监管及禁止进口产品
此项目有
K Mokhtari et al.
Neuropathology and applied neurobiology, 31(1), 62-69 (2005-01-07)
The expression of Olig2, a basic helix-loop-helix (bHLH) transcription factor involved in oligodendroglial specification, was investigated by immunohistochemistry in a series of 146 tumours and control samples. Olig2 expression was restricted to glial tumours and nontumoral oligodendrocytes. It was higher
José Javier Otero et al.
Journal of neuro-oncology, 104(2), 423-438 (2011-01-05)
The bHLH transcription factor, OLIG2, is universally expressed in adult human gliomas and, as a major factor in the development of oligodendrocytes, is expressed at the highest levels in low-grade oligodendroglial tumors. In addition, it is functionally required for the
全球贸易项目编号
| 货号 | GTIN |
|---|---|
| 387M-14 | 0841683140238 |
| 387M-16 | 0841683140252 |
| 387M-17 | 0841683140269 |
| 387M-15 | 0841683140245 |
| 387M-16-RUO | 04061836568443 |
| 387M-18 | 0841683140276 |



