biological source
mouse
conjugate
unconjugated
antibody form
culture supernatant
antibody product type
primary antibodies
clone
GS-6, monoclonal
description
For In Vitro Diagnostic Use in Select Regions (See Chart)
form
buffered aqueous solution
species reactivity
human
packaging
vial of 0.1 mL concentrate (389M-14), vial of 0.5 mL concentrate (389M-15), bottle of 1.0 mL predilute (389M-17), vial of 1.0 mL concentrate (389M-16), bottle of 7.0 mL predilute (389M-18)
technique(s)
immunohistochemistry (formalin-fixed, paraffin-embedded sections): 1:25-1:100
isotype
IgG2a
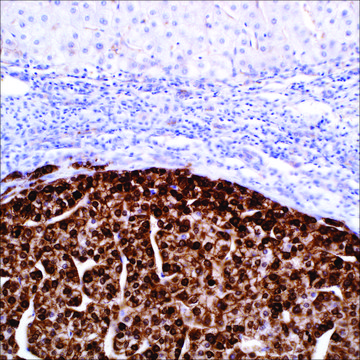
control
hepatocellular carcinoma
shipped in
wet ice
storage temp.
2-8°C
visualization
cytoplasmic
Gene Information
human ... GLUL(2752)
General description
Glutamine synthetase (GS) catalyzes the synthesis of glutamine from glutamate and ammonia in the mammalian liver. In normal liver, GS expression is seen in centrilobular (zone 3) hepatocytes, but not in mid-zone (zone 2) or periportal (zone 3) hepatocytes. Glutamine synthetase immunohistochemistry is also positive in neoplasms of hepatocyte origin, such as hepatocellular carcinoma (HCC) and hepatocellular adenoma, making it useful for identifying these tumors.
Physical form
Solution in Tris Buffer, pH 7.3-7.7, with 1% BSA and <0.1% Sodium Azide
Preparation Note
Download the IFU specific to your product lot and formatNote: This requires a keycode which can be found on your packaging or product label.
Analysis Note
![]() IVD | ![]() IVD | ![]() IVD | ![]() RUO |
Other Notes
For Technical Service please contact: 800-665-7284 or email: service@cellmarque.com
Glutamine Synthetase Positive Control Slides, Product No. 389S, are available for immunohistochemistry (formalin-fixed, paraffin-embedded sections).
Still not finding the right product?
试用我们的 产品选型工具 工具缩小选择范围
法规信息
监管及禁止进口产品
此项目有
Luca Di Tommaso et al.
Hepatology (Baltimore, Md.), 45(3), 725-734 (2007-02-28)
Hepatocellular nodules in cirrhosis include regenerative (large regenerative, LRN) and dysplastic (low and high grade, LGDN and HGDN) nodules, early and grade 1 HCC (eHCC-G1), and overt HCC. The differential diagnosis may be particularly difficult when lesions such as HGDN
全球贸易项目编号
| 货号 | GTIN |
|---|---|
| 389M-14 | 0841683140405 |
| 389M-15 | 0841683140412 |
| 389M-16 | 0841683140429 |
| 389M-16-RUO | 04061836547004 |
| 389M-17 | 0841683140436 |
| 389M-18 | 0841683140443 |



