biological source
mouse
conjugate
unconjugated
antibody form
culture supernatant
antibody product type
primary antibodies
clone
DO7, monoclonal
description
For In Vitro Diagnostic Use in Select Regions (See Chart)
form
buffered aqueous solution
species reactivity
human
packaging
vial of 0.1 mL concentrate (453M-94), vial of 0.5 mL concentrate (453M-95), bottle of 1.0 mL predilute (453M-97), vial of 1.0 mL concentrate (453M-96), bottle of 7.0 mL predilute (453M-98)
manufacturer/tradename
Cell Marque®
technique(s)
immunohistochemistry (formalin-fixed, paraffin-embedded sections): 1:100-1:500
isotype
IgG2bκ
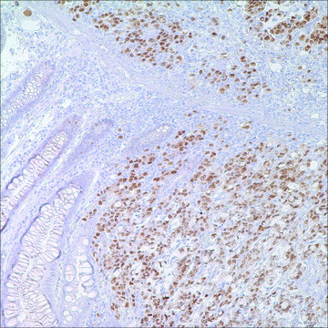
control
colon carcinoma
shipped in
wet ice
storage temp.
2-8°C
visualization
nuclear
Gene Information
human ... TP53(7157)
General description
Anti-p53 tumor suppressor protein recognizes a 53 kDa hosphoprotein, identified as a p53 suppressor gene product. It reacts with the mutant as well as wild form of p53. Positive nuclear staining with this antibody has been shown to be a negative prognostic factor in breast carcinoma, lung carcinoma, colorectal, and urothelial carcinoma. Anti-p53 positivity has also been used to differentiate uterine serous carcinoma from endometrioid carcinoma as well as to detect intratubular germ cell neoplasia.
Physical form
Solution in Tris Buffer, pH 7.3-7.7, with 1% BSA and <0.1% Sodium Azide
Preparation Note
Download the IFU specific to your product lot and formatNote: This requires a keycode which can be found on your packaging or product label.
Analysis Note
![]() IVD | ![]() IVD | ![]() IVD | ![]() RUO |
Other Notes
For Technical Service please contact: 800-665-7284 or email: service@cellmarque.com
p53 Positive Control Slides, Product No. 453S, are available for immunohistochemistry (formalin-fixed, paraffin-embedded sections).
Legal Information
Cell Marque is a registered trademark of Merck KGaA, Darmstadt, Germany
Still not finding the right product?
试用我们的 产品选型工具 工具缩小选择范围
法规信息
监管及禁止进口产品
此项目有
Diagnostic Immunohistochemistry: Theranostic and Genomic Applications (2002)
B E Moore et al.
Applied immunohistochemistry & molecular morphology : AIMM, 9(3), 203-206 (2001-09-15)
Intratubular germ cell neoplasia, unclassified (IGCNU) is a precursor of germ cell tumors (GCT) of the testis. In routine histologic sections, neoplastic intratubular germ cells may be very few and easily overlooked. The aim of this study is two-fold: to
C Midulla et al.
Anticancer research, 19(5B), 4033-4037 (2000-01-11)
The different clinical evolution of breast cancer with similar pathological characteristics prompted the authors to investigate the prognostic significance of different biological markers. Seventy-one primary breast carcinoma specimens obtained by mastectomy or quadrantectomy were examined for the determination of the
全球贸易项目编号
| 货号 | GTIN |
|---|---|
| 453M-94 | 0841683142706 |
| 453M-96 | 0841683142720 |
| 453M-96-RUO | 04061836548575 |
| 453M-95 | 0841683142713 |
| 453M-97 | 0841683142737 |
| 453M-98 | 0841683142744 |



