biological source
mouse
conjugate
unconjugated
antibody form
culture supernatant
antibody product type
primary antibodies
clone
Kp10, monoclonal
description
For In Vitro Diagnostic Use in Select Regions (See Chart)
form
buffered aqueous solution
species reactivity
human
packaging
vial of 0.1 mL concentrate (457M-94), vial of 0.5 mL concentrate (457M-95), bottle of 1.0 mL predilute (457M-97), vial of 1.0 mL concentrate (457M-96), bottle of 7.0 mL predilute (457M-98)
manufacturer/tradename
Cell Marque®
technique(s)
immunohistochemistry (formalin-fixed, paraffin-embedded sections): 1:100-1:500
isotype
IgG2bκ
control
placenta
shipped in
wet ice
storage temp.
2-8°C
visualization
nuclear
Gene Information
human ... CDKN1C(1028)
General description
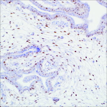
Anti-p57 has been used as an aid in discriminating complete hydatidiform mole (CHM) (no nuclear labeling of cytotrophoblasts or stromal cells) from partial hydatidiform mole (PHM) (nuclear staining of both cytotrophoblasts and stromal cells) and hydropic abortion. In normal placenta, cytotrophoblast, syncytio trophoblast, and stromal cells are labeled with this antibody. Intervillous trophoblastic islands demonstrate nuclear labeling in all entities and serve as an internal control.
p57 is a human tumor suppressor gene encoded on the 11p15.5 chromosomal sequence. Anti-p57 has been used as an aid in discriminating complete hydatidiform mole (CHM) (no nuclear labeling of cytotrophoblasts or stromal cells) from partial hydatidiform mole (PHM) (nuclear staining of both cytotrophoblasts and stromal cells) and hydropic abortion. In the normal placenta, cytotrophoblast, intermediate trophoblast and decidual cells, and stromal cells are labeled with this antibody. Intervillous trophoblastic islands demonstrate nuclear labeling in all entities and serve as an internal control.
Physical form
Solution in Tris Buffer, pH 7.3-7.7, with 1% BSA and <0.1% Sodium Azide
Preparation Note
Download the IFU specific to your product lot and formatNote: This requires a keycode which can be found on your packaging or product label.
Analysis Note
![]() IVD | ![]() IVD | ![]() IVD | ![]() RUO |
Other Notes
For Technical Service please contact: 800-665-7284 or email: service@cellmarque.com
P57Kip2 Positive Control Slides, Product No. 457S, are available for immunohistochemistry (formalin-fixed, paraffin-embedded sections).
Legal Information
Cell Marque is a registered trademark of Merck KGaA, Darmstadt, Germany
Still not finding the right product?
试用我们的 产品选型工具 工具缩小选择范围
法规信息
监管及禁止进口产品
此项目有
Veli-Matti Marjoniemi
Pathology, 36(2), 109-119 (2004-06-19)
This paper reviews some aspects of the application of immunohistochemistry in gynaecological pathology. The use of cytokeratins 7 and 20 are discussed with reference to applications in ovarian pathology, including metastatic disease to the ovaries. Developments in utilising MIB-1 and
Rita L Romaguera et al.
Fetal and pediatric pathology, 23(2-3), 181-190 (2005-03-17)
Classification of molar gestations into complete and partial and their differentiation from hydropic abortions traditionally are accomplished by morphology alone. The process sometimes may be inaccurate or inconclusive. With the availability of p57 immunostaining it may be possible to objectively
S-Y Jun et al.
Histopathology, 43(1), 17-25 (2003-06-26)
To determine the utility of p57kip2 in the diagnosis of hydatidiform mole. p57kip2 protein is a cyclin-dependent kinase inhibitor (CDKI) and is strongly paternally imprinted, being expressed from the maternal allele. It has been hypothesized that complete mole (CHM) with
全球贸易项目编号
| 货号 | GTIN |
|---|---|
| 457M-94 | 0841683142805 |
| 457M-96 | 0841683142829 |
| 457M-95 | 0841683142812 |
| 457M-96-RUO | 04061836535230 |
| 457M-97 | 0841683142836 |
| 457M-98 | 0841683142843 |



