登录 查看组织和合同定价。
选择尺寸
变更视图
关于此项目
NACRES:
NA.41
UNSPSC Code:
12352203
Technique(s):
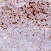
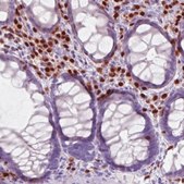
immunoblotting: 1 μg/mL, immunofluorescence: 2-10 μg/mL (Fixation/Permeabilization: PFA/Triton X-100), immunohistochemistry: 1:200- 1:500
Uniprot accession no.:
Application:
IF, IHC
Citations:
7
biological source
mouse
Quality Level
conjugate
unconjugated
antibody form
purified immunoglobulin
antibody product type
primary antibodies
clone
CL0235, monoclonal
product line
Prestige Antibodies® Powered by Atlas Antibodies
form
buffered aqueous glycerol solution
species reactivity
human
enhanced validation
RNAi knockdown
Learn more about Antibody Enhanced Validation
concentration
1 mg/mL
technique(s)
immunoblotting: 1 μg/mL, immunofluorescence: 2-10 μg/mL (Fixation/Permeabilization: PFA/Triton X-100), immunohistochemistry: 1:200- 1:500
pH range
7.2-7.4
isotype
IgG1
Ensembl | human accession no.
UniProt accession no.
shipped in
dry ice
storage temp.
−20°C
target post-translational modification
unmodified
Gene Information
human ... RUNX2(860)
Immunogen
Recombinant protein corresponding to Runt-related transcription factor 2.
Application
All Prestige Antibodies Powered by Atlas Antibodies are developed and validated by the Human Protein Atlas (HPA) project and as a result, are supported by the most extensive characterization in the industry.
The Human Protein Atlas project can be subdivided into three efforts: Human Tissue Atlas, Cancer Atlas, and Human Cell Atlas. The antibodies that have been generated in support of the Tissue and Cancer Atlas projects have been tested by immunohistochemistry against hundreds of normal and disease tissues and through the recent efforts of the Human Cell Atlas project, many have been characterized by immunofluorescence to map the human proteome not only at the tissue level but now at the subcellular level. These images and the collection of this vast data set can be viewed on the Human Protein Atlas (HPA) site by clicking on the Image Gallery link. We also provide Prestige Antibodies® protocols and other useful information.
The Human Protein Atlas project can be subdivided into three efforts: Human Tissue Atlas, Cancer Atlas, and Human Cell Atlas. The antibodies that have been generated in support of the Tissue and Cancer Atlas projects have been tested by immunohistochemistry against hundreds of normal and disease tissues and through the recent efforts of the Human Cell Atlas project, many have been characterized by immunofluorescence to map the human proteome not only at the tissue level but now at the subcellular level. These images and the collection of this vast data set can be viewed on the Human Protein Atlas (HPA) site by clicking on the Image Gallery link. We also provide Prestige Antibodies® protocols and other useful information.
Features and Benefits
Prestige Antibodies® are highly characterized and extensively validated antibodies with the added benefit of all available characterization data for each target being accessible via the Human Protein Atlas portal linked just below the product name at the top of this page. The uniqueness and low cross-reactivity of the Prestige Antibodies® to other proteins are due to a thorough selection of antigen regions, affinity purification, and stringent selection. Prestige antigen controls are available for every corresponding Prestige Antibody and can be found in the linkage section.
Every Prestige Antibody is tested in the following ways:
Every Prestige Antibody is tested in the following ways:
- IHC tissue array of 44 normal human tissues and 20 of the most common cancer type tissues.
- Protein array of 364 human recombinant protein fragments.
Physical form
100UL pack size is provided in a solution, in PBS(phosphate-buffered saline), pH 7.2, containing 40% glycerol and 0.02% sodium azide.
Large pack size of 1ml (at 1mg/ml) is available in PBS only, purified, biocide free, carrier free and glycerol free. Order here
Large pack size of 1ml (at 1mg/ml) is available in PBS only, purified, biocide free, carrier free and glycerol free. Order here
Preparation Note
Upon arrival, mix gently and aliquot to avoid repeated freeze-thaw cycles
Legal Information
Prestige Antibodies is a registered trademark of Merck KGaA, Darmstadt, Germany
Disclaimer
Unless otherwise stated in our catalog or other company documentation accompanying the product(s), our products are intended for research use only and are not to be used for any other purpose, which includes but is not limited to, unauthorized commercial uses, in vitro diagnostic uses, ex vivo or in vivo therapeutic uses or any type of consumption or application to humans or animals.
Still not finding the right product?
存储类别
10 - Combustible liquids
wgk
WGK 1
法规信息
低风险生物材料
常规特殊物品
此项目有
Vance Holt et al.
PloS one, 9(10), e108920-e108920 (2014-10-11)
Increased marrow medullary adipogenesis and an associated decrease in bone mineral density, usually observed in elderly individuals, is a common characteristic in senile osteoporosis. In this study we investigated whether cells of the medullary adipocyte lineage have the potential to
Jonathan R Peterson et al.
Science translational medicine, 6(255), 255ra132-255ra132 (2014-09-26)
Heterotopic ossification (HO) is the pathologic development of ectopic bone in soft tissues because of a local or systemic inflammatory insult, such as burn injury or trauma. In HO, mesenchymal stem cells (MSCs) are inappropriately activated to undergo osteogenic differentiation.
Yu Fei Lee et al.
PloS one, 9(9), e106661-e106661 (2014-09-05)
The orchestration of histone modifiers is required to establish the epigenomic status that regulates gene expression during development. Whsc1 (Wolf-Hirschhorn Syndrome candidate 1), a histone H3 lysine 36 (H3K36) trimethyltransferase, is one of the major genes associated with Wolf-Hirshhorn syndrome
全球贸易项目编号
| 货号 | GTIN |
|---|---|
| AMAB90594-25UL | 04061841697220 |
| AMAB90594-100UL | 04061837047435 |