跳转至内容
Merck
CN

AMAB90873

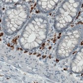
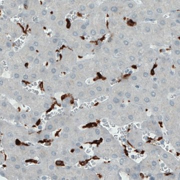
单克隆抗-CD68 小鼠抗

Prestige Antibodies® Powered by Atlas Antibodies, clone CL1338, purified immunoglobulin, buffered aqueous glycerol solution

别名:

抗-DKFZp686M18236, 抗-GP110, 抗-LAMP4, 抗-SCARD1, 抗-巨噬唾液酸蛋白

登录 查看组织和合同定价。

选择尺寸

变更视图

关于此项目

NACRES:
NA.41
UNSPSC Code:
12352203
Conjugate:
unconjugated
Clone:
CL1338, monoclonal
Application:
IHC
Citations:
22
技术服务
需要帮助?我们经验丰富的科学家团队随时乐意为您服务。
让我们为您提供帮助


biological source

mouse

Quality Level

conjugate

unconjugated

antibody form

purified immunoglobulin

antibody product type

primary antibodies

clone

CL1338, monoclonal

product line

Prestige Antibodies® Powered by Atlas Antibodies

form

buffered aqueous glycerol solution

species reactivity

human

technique(s)

immunohistochemistry: 1:1000- 1:2500

isotype

IgG1

UniProt accession no.

application(s)

research pathology

shipped in

wet ice

storage temp.

−20°C

target post-translational modification

unmodified

Gene Information

human ... CD68(968)

Immunogen

CD68分子

Application

基于Atlas Antibodies的所有Prestige Antibodies抗体均由人类蛋白质图集(HPA)项目开发和验证,因此受到业内最广泛的表征支持。

人类蛋白质图集项目可以分为三大部分: 人体组织图谱、癌症图谱和人类细胞图谱。在组织和癌症图谱项目支持下产生的抗体已通过对数百种正常和疾病组织的免疫组织化学分析得到了验证,并且通过近期人类细胞图谱项目的努力,许多抗体已经过免疫荧光分析的表征,从而绘制人类蛋白质组图谱,不仅是在组织水平上,现在已经达到亚细胞水平。在人类蛋白质图集项目网站上单击图像库链接,可以查看这些图像和庞大的数据集。我们还提供Prestige Antibodies® 实验方案和其他有用实用信息。
由Atlas Antibodies提供技术支持的Prestige Antibodies® CD68单克隆抗体由人类蛋白质图集(HPA)项目开发和验证。每种抗体都通过针对数百种正常和疾病组织的免疫组织化学进行测试。通过单击图像库链接,可以在人类蛋白质图谱(HPA)站点上查看这些图像。还采用蛋白阵列和蛋白质印迹法对抗体进行检测。想要查看有关Prestige 抗体和HPA的方案和其他实用信息,请访问 sigma.com/Prestige

Features and Benefits

Prestige Antibodies®是经过高度表征和广泛验证的抗体,同时还有一个优点是其每个靶标的所有可用表征数据都可以通过位于此页面顶部产品名称下方的人类蛋白质图谱门户进行访问。Prestige Antibodies®对其他蛋白质的独特性和低交叉反应性是通过严密的抗原区域选择、亲和纯化和严格的选择来实现的。每种Prestige 抗体都有相应的Prestige 抗原对照品,可在链接部分找到。

每种Prestige 抗体的检测方法如下:
  • 44种正常人体组织和20种最常见癌症组织的IHC组织阵列。
  • 364个人重组蛋白片段的蛋白阵列。

Physical form

磷酸盐缓冲盐水,pH 7.2,含有40%甘油和0.02%叠氮化钠

Legal Information

Prestige Antibodies is a registered trademark of Merck KGaA, Darmstadt, Germany

Disclaimer

除非我们的产品目录或产品附带的其他公司文档另有说明,否则我们的产品仅供研究使用,不得用于任何其他目的,包括但不限于未经授权的商业用途、体外诊断用途、离体或体内治疗用途或任何类型的人类或动物食用或应用。


Still not finding the right product?

Explore all of our products under 单克隆抗-CD68 小鼠抗

或者

试用我们的 产品选型工具 工具缩小选择范围


存储类别

10 - Combustible liquids

wgk

WGK 1

flash_point_f

Not applicable

flash_point_c

Not applicable

法规信息

常规特殊物品
低风险生物材料

此项目有



历史批次信息供参考:

分析证书(COA)

Lot/Batch Number

It looks like we've run into a problem, but you can still download Certificates of Analysis from our 文件 section.

如需帮助,请联系 客户支持

已有该产品?

在文件库中查找您最近购买产品的文档。

访问文档库



William B Laskin et al.
The American journal of surgical pathology, 38(1), 1-12 (2013-10-15)
In this study, we examine the clinicopathologic features of 104 cases of myxoinflammatory fibroblastic sarcoma (MIFS), a low-grade, inflammatory fibromyxoid tumor with a predilection to distal extremity soft tissue, and attempt to identify factors predictive of aggressive behavior. The study
Shogo Kumagai et al.
Lung cancer (Amsterdam, Netherlands), 85(3), 457-464 (2014-07-22)
Increasing evidence suggests that an elevated peripheral monocyte count at presentation predicts a poor prognosis in various types of malignancy, including malignant lymphoma. In lung adenocarcinoma, tumor-associated macrophages (TAMs) were reported to be associated with a poor prognosis. However, it
Jing Wang et al.
Biochimica et biophysica acta, 1842(11), 2174-2183 (2014-08-06)
Cathepsin G (CatG), a serine protease present in mast cells and neutrophils, can produce angiotensin-II (Ang-II) and degrade elastin. Here we demonstrate increased CatG expression in smooth muscle cells (SMCs), endothelial cells (ECs), macrophages, and T cells from human atherosclerotic



全球贸易项目编号

货号GTIN
AMAB90873-100UL04061837048340
AMAB90873-25UL04061841686606