跳转至内容
Merck
CN

AMAB91398

Monoclonal Anti--G6PC antibody produced in mouse

Prestige Antibodies® Powered by Atlas Antibodies, clone CL5818, purified immunoglobulin, buffered aqueous glycerol solution

别名:

G6PT, GSD1a

登录 查看组织和合同定价。

选择尺寸

变更视图

关于此项目

NACRES:
NA.41
UNSPSC Code:
12352203
Conjugate:
unconjugated
Clone:
CL5818, monoclonal
Application:
IHC
Citations:
-
技术服务
需要帮助?我们经验丰富的科学家团队随时乐意为您服务。
让我们为您提供帮助


Quality Level

biological source

mouse

conjugate

unconjugated

antibody form

purified immunoglobulin

antibody product type

primary antibodies

clone

CL5818, monoclonal

product line

Prestige Antibodies® Powered by Atlas Antibodies

form

buffered aqueous glycerol solution

species reactivity

human

concentration

1 mg/mL

technique(s)

immunohistochemistry: 1:5000-1:10000

pH range

7.2-7.4

isotype

IgG2b

Ensembl | human accession no.

UniProt accession no.

shipped in

dry ice

storage temp.

−20°C

target post-translational modification

unmodified

Gene Information

human ... G6PC(2538)

Immunogen

Recombinant protein corresponding to Glucose-6-phosphatase catalytic subunit

Application

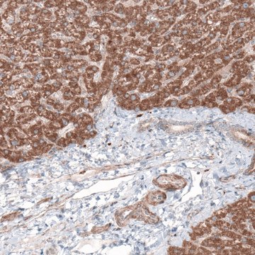
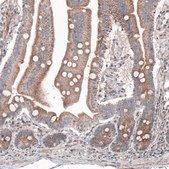
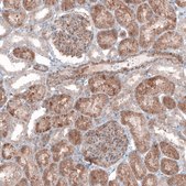
All Prestige Antibodies Powered by Atlas Antibodies are developed and validated by the Human Protein Atlas (HPA) project and as a result, are supported by the most extensive characterization in the industry. The Human Protein Atlas project can be subdivided into three efforts: Human Tissue Atlas, Cancer Atlas, and Human Cell Atlas. The antibodies that have been generated in support of the Tissue and Cancer Atlas projects have been tested by immunohistochemistry against hundreds of normal and disease tissues and through the recent efforts of the Human Cell Atlas project, many have been characterized by immunofluorescence to map the human proteome not only at the tissue level but now at the subcellular level. These images and the collection of this vast data set can be viewed on the Human Protein Atlas (HPA) site by clicking on the Image Gallery link. We also provide Prestige Antibodies® protocols and other useful information.

Features and Benefits

Prestige Antibodies® are highly characterized and extensively validated antibodies with the added benefit of all available characterization data for each target being accessible via the Human Protein Atlas portal linked just below the product name at the top of this page. The uniqueness and low cross-reactivity of the Prestige Antibodies® to other proteins are due to a thorough selection of antigen regions, affinity purification, and stringent selection. Prestige antigen controls are available for every corresponding Prestige Antibody and can be found in the linkage section.

Every Prestige Antibody is tested in the following ways:
  • IHC tissue array of 44 normal human tissues and 20 of the most common cancer type tissues.
  • Protein array of 364 human recombinant protein fragments.

Physical form

100UL pack size is provided in a solution, in PBS(phosphate-buffered saline), pH 7.2, containing 40% glycerol and 0.02% sodium azide.

Large pack size of 1ml (at 1mg/ml) is available in PBS only, purified, biocide free, carrier free and glycerol free. Order here-Request a Bulk Order /services/support/bulk-quotation-request

Preparation Note

Upon arrival, mix gently and aliquot to avoid repeated freeze-thaw cycles

Legal Information

Prestige Antibodies is a registered trademark of Merck KGaA, Darmstadt, Germany


Still not finding the right product?

Explore all of our products under

或者

试用我们的 产品选型工具 工具缩小选择范围


存储类别

10 - Combustible liquids

wgk

WGK 1

flash_point_f

Not applicable

flash_point_c

Not applicable

法规信息

新产品

此项目有



历史批次信息供参考:

分析证书(COA)

Lot/Batch Number

没有发现合适的版本?

如果您需要特殊版本,可通过批号或批次号查找具体证书。

已有该产品?

在文件库中查找您最近购买产品的文档。

访问文档库



全球贸易项目编号

货号GTIN
AMAB91398-25UL04061841324126
AMAB91398-100UL04061835307562