跳转至内容
Merck
CN

AV35097

Anti-KCNN3 (AB1) antibody produced in rabbit

affinity isolated antibody

登录 查看组织和合同定价。

选择尺寸

变更视图

关于此项目

NACRES:
NA.41
UNSPSC Code:
12352203
Conjugate:
unconjugated
Clone:
polyclonal
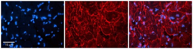
Application:
IHC, WB
Citations:
4
技术服务
需要帮助?我们经验丰富的科学家团队随时乐意为您服务。
让我们为您提供帮助


biological source

rabbit

Quality Level

conjugate

unconjugated

antibody form

affinity isolated antibody

antibody product type

primary antibodies

clone

polyclonal

form

buffered aqueous solution

mol wt

81 kDa

species reactivity

mouse, dog, rabbit, human, guinea pig, rat, bovine

concentration

0.5 mg - 1 mg/mL

technique(s)

immunohistochemistry: suitable, western blot: suitable

NCBI accession no.

UniProt accession no.

shipped in

wet ice

storage temp.

−20°C

target post-translational modification

unmodified

Gene Information

human ... KCNN3(3782)

General description

KCNN3 (SK3) codes for a voltage-independent, calcium-activated channel integral membrane protein. It may be involved in the modulation of neuronal excitability. KCNN3 has been linked to anorexia nervosa risk and atrial fibrillation.
Rabbit Anti-KCNN3 antibody recognizes canine, human, mouse, rat, pig, and bovine KCNN3.

Immunogen

Synthetic peptide directed towards the C terminal region of human KCNN3

Application

Rabbit Anti-KCNN3 antibody is suitable for western blot assays at 2 μg/ml.

Biochem/physiol Actions

Action potentials in vertebrate neurons are followed by an afterhyperpolarization (AHP) that may persist for several seconds and may have profound consequences for the firing pattern of the neuron. Each component of the AHP is kinetically distinct and is mediated by different calcium-activated potassium channels. KCNN3, a member of the KCNN family of potassium channel genes, encodes a protein that is activated before membrane hyperpolarization and is thought to regulate neuronal excitability by contributing to the slow component of synaptic AHP. The encoded protein is an integral membrane protein that forms a voltage-independent calcium-activated channel with three other calmodulin-binding subunits.

Physical form

 Purified antibody supplied in 1x PBS buffer with 0.09% (w/v) sodium azide and 2% sucrose.

Other Notes

Synthetic peptide located within the following region: ITELNDRSEDLEKQIGSLESKLEHLTASFNSLPLLIADTLRQQQQQLLSA

Disclaimer

Unless otherwise stated in our catalog or other company documentation accompanying the product(s), our products are intended for research use only and are not to be used for any other purpose, which includes but is not limited to, unauthorized commercial uses, in vitro diagnostic uses, ex vivo or in vivo therapeutic uses or any type of consumption or application to humans or animals.


Still not finding the right product?

试用我们的 产品选型工具 工具缩小选择范围


存储类别

10 - Combustible liquids

wgk

WGK 2

flash_point_f

Not applicable

flash_point_c

Not applicable

法规信息

常规特殊物品

此项目有



历史批次信息供参考:

分析证书(COA)

Lot/Batch Number

没有发现合适的版本?

如果您需要特殊版本,可通过批号或批次号查找具体证书。

已有该产品?

在文件库中查找您最近购买产品的文档。

访问文档库



Patrick T Ellinor et al.
Nature genetics, 42(3), 240-244 (2010-02-23)
Atrial fibrillation (AF) is the most common sustained arrhythmia. Previous studies have identified several genetic loci associated with typical AF. We sought to identify common genetic variants underlying lone AF. This condition affects a subset of individuals without overt heart
Maya Koronyo-Hamaoui et al.
American journal of medical genetics. Part B, Neuropsychiatric genetics : the official publication of the International Society of Psychiatric Genetics, 131B(1), 76-80 (2004-09-25)
The human small-conductance Ca(2+)-activated potassium channel gene KCNN3 has been involved in mechanisms underlying neuronal function and plasticity. A multiallelic CAG repeat polymorphism within the KCNN3 has been associated with schizophrenia and bipolar disorder. We have previously reported in a
Lucie Clarysse et al.
Pflugers Archiv : European journal of physiology, 466(10), 1921-1932 (2014-01-25)
SK3 channel mediates the migration of various cancer cells. When expressed in breast cancer cells, SK3 channel forms a complex with Orai1, a voltage-independent Ca(2+) channel. This SK3-Orai1 complex associates within lipid rafts where it controls a constitutive Ca(2+) entry



全球贸易项目编号

货号GTIN
AV35097-100UL04061836182144