跳转至内容
Merck
CN

AV35178

Anti-KCNA10 antibody produced in rabbit

IgG fraction of antiserum

别名:

Anti-Potassium voltage-gated channel, shaker-related subfamily, member 10

登录 查看组织和合同定价。

选择尺寸

变更视图

关于此项目

NACRES:
NA.41
UNSPSC Code:
12352203
Conjugate:
unconjugated
Clone:
polyclonal
Application:
IHC, WB
Citations:
2
技术服务
需要帮助?我们经验丰富的科学家团队随时乐意为您服务。
让我们为您提供帮助


biological source

rabbit

Quality Level

conjugate

unconjugated

antibody form

IgG fraction of antiserum

antibody product type

primary antibodies

clone

polyclonal

form

buffered aqueous solution

mol wt

56 kDa

species reactivity

human, rat, mouse, bovine

concentration

0.5 mg - 1 mg/mL

technique(s)

immunohistochemistry: suitable, western blot: suitable

NCBI accession no.

UniProt accession no.

shipped in

wet ice

storage temp.

−20°C

Gene Information

human ... KCNA10(3744)

General description

KCNA10 codes for a tetrameric protein that belongs to the potassium channel, voltage-gated (shaker-related) family. It is strongly expressed in hair cells of the inner ear in mice. A null mutation in Kcna10 has been linked to vestibular and hearing dysfunctions in mice.
Rabbit Anti-KCNA10 antibody recognizes human, mouse, rat, and chicken KCNA10.

Immunogen

Synthetic peptide directed towards the middle region of human KCNA10

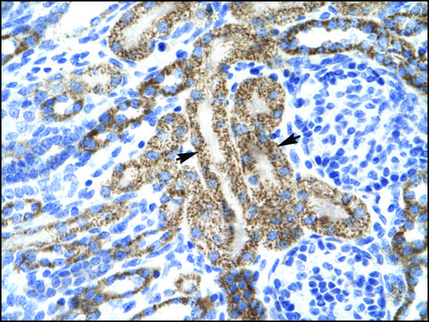
Application

Rabbit Anti-KCNA10 antibody is suitable for western blot (1.25 μg/ml) and IHC (4-8 μg/ml) applications.

Biochem/physiol Actions

Potassium channels represent the most complex class of voltage-gated ion channels from both functional and structural standpoints. Four sequence-related potassium channel genes, shaker, shaw, shab, and shal, have been identified in Drosophila, and each has been shown to have human homolog(s). KCNA10 encodes a member of the potassium channel, voltage-gated, shaker-related subfamily. This member contains six membrane-spanning domains with a shaker-type repeat in the fourth segment. It is specifically regulated by cGMP and postulated to mediate the effects of substances that increase intracellular cGMP.

Physical form

Purified antibody supplied in 1x PBS buffer with 0.09% (w/v) sodium azide and 2% sucrose.

Other Notes

Synthetic peptide located within the following region: PANVPIDIFADEISFYELGSEAMDQFREDEGFIKDPETLLPTNDIHRQFW

Disclaimer

Unless otherwise stated in our catalog or other company documentation accompanying the product(s), our products are intended for research use only and are not to be used for any other purpose, which includes but is not limited to, unauthorized commercial uses, in vitro diagnostic uses, ex vivo or in vivo therapeutic uses or any type of consumption or application to humans or animals.


Still not finding the right product?

试用我们的 产品选型工具 工具缩小选择范围


存储类别

10 - Combustible liquids

wgk

WGK 3

flash_point_f

Not applicable

flash_point_c

Not applicable

法规信息

新产品

此项目有



历史批次信息供参考:

分析证书(COA)

Lot/Batch Number

没有发现合适的版本?

如果您需要特殊版本,可通过批号或批次号查找具体证书。

已有该产品?

在文件库中查找您最近购买产品的文档。

访问文档库



Sue I Lee et al.
Hearing research, 300, 1-9 (2013-03-27)
KCNA10 is a voltage gated potassium channel that is expressed in the inner ear. The localization and function of KCNA10 was studied in a mutant mouse, B6-Kcna10(TM45), in which the single protein coding exon of Kcna10 was replaced with a
Francesca A Carlisle et al.
Gene expression patterns : GEP, 12(5-6), 172-179 (2012-03-27)
The development of the organ of Corti and the highly specialized cells required for hearing involves a multitude of genes, many of which remain unknown. Here we describe the expression pattern of three genes not previously studied in the inner



全球贸易项目编号

货号GTIN
AV35178-100UL04061836182250