跳转至内容
Merck
CN

AV48151

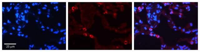
Anti-P4HB (AB2) antibody produced in rabbit

affinity isolated antibody

别名:

Anti-DSI, Anti-ERBA2L, Anti-GIT, Anti-PDI, Anti-PDIA1, Anti-PHDB, Anti-PO4DB, Anti-Procollagen-Proline, 2-oxoglutarate 4-dioxygenase, β polypeptide

登录 查看组织和合同定价。

选择尺寸

变更视图

关于此项目

NACRES:
NA.41
UNSPSC Code:
12352203
Conjugate:
unconjugated
Clone:
polyclonal
Application:
IHC, WB
Citations:
6
技术服务
需要帮助?我们经验丰富的科学家团队随时乐意为您服务。
让我们为您提供帮助


biological source

rabbit

Quality Level

conjugate

unconjugated

antibody form

affinity isolated antibody

antibody product type

primary antibodies

clone

polyclonal

form

buffered aqueous solution

mol wt

55 kDa

species reactivity

horse, pig, human, dog, rabbit, rat, bovine, mouse

concentration

0.5 mg - 1 mg/mL

technique(s)

immunohistochemistry: suitable, western blot: suitable

NCBI accession no.

UniProt accession no.

shipped in

wet ice

storage temp.

−20°C

target post-translational modification

unmodified

Gene Information

human ... P4HB(5034)

General description

Prolyl 4-hydroxylase, β polypeptide (P4HB) is a disulphide isomerase that catalyzes the creation, cleavage and arrangement of disulfide linkages. It is known to function as a chaperone during protein folding activities. Studies have reported that P3HB-b-P4HB block copolymers have a better yield and tensile strength.
Rabbit Anti-P4HB antibody recognizes bovine, chicken, rabbit, human, mouse, and rat P4HB.

Immunogen

Synthetic peptide directed towards the C terminal region of human P4HB

Application

Rabbit Anti-P4HB antibody has been used for western blot applications at a dilution of 1:1500.

Biochem/physiol Actions

P4HB is the beta subunit of prolyl 4-hydroxylase, a highly abundant multifunctional enzyme that belongs to the protein disulfide isomerase family. When present as a tetramer consisting of two alpha and two beta subunits, this enzyme is involved in hydroxylation of prolyl residues in preprocollagen. This enzyme is also a disulfide isomerase containing two thioredoxin domains that catalyze the formation, breakage and rearrangement of disulfide bonds. Other known functions include its ability to act as a chaperone that inhibits aggregation of misfolded proteins in a concentration-dependent manner, its ability to bind thyroid hormone, its role in both the influx and efflux of S-nitrosothiol-bound nitric oxide, and its function as a subunit of the microsomal triglyceride transfer protein complex.This gene encodes the beta subunit of prolyl 4-hydroxylase, a highly abundant multifunctional enzyme that belongs to the protein disulfide isomerase family. When present as a tetramer consisting of two alpha and two beta subunits, this enzyme is involved in hydroxylation of prolyl residues in preprocollagen. This enzyme is also a disulfide isomerase containing two thioredoxin domains that catalyze the formation, breakage and rearrangement of disulfide bonds. Other known functions include its ability to act as a chaperone that inhibits aggregation of misfolded proteins in a concentration-dependent manner, its ability to bind thyroid hormone, its role in both the influx and efflux of S-nitrosothiol-bound nitric oxide, and its function as a subunit of the microsomal triglyceride transfer protein complex. Publication Note: This RefSeq record includes a subset of the publications that are available for this gene. Please see the Entrez Gene record to access additional publications.

Physical form

Purified antibody supplied in 1x PBS buffer with 0.09% (w/v) sodium azide and 2% sucrose.

Other Notes

Synthetic peptide located within the following region: DRTVIDYNGERTLDGFKKFLESGGQDGAGDDDDLEDLEEAEEPDMEEDDD

Disclaimer

Unless otherwise stated in our catalog or other company documentation accompanying the product(s), our products are intended for research use only and are not to be used for any other purpose, which includes but is not limited to, unauthorized commercial uses, in vitro diagnostic uses, ex vivo or in vivo therapeutic uses or any type of consumption or application to humans or animals.


Still not finding the right product?

试用我们的 产品选型工具 工具缩小选择范围


存储类别

10 - Combustible liquids

wgk

WGK 3

flash_point_f

Not applicable

flash_point_c

Not applicable

法规信息

常规特殊物品

此项目有



历史批次信息供参考:

分析证书(COA)

Lot/Batch Number

没有发现合适的版本?

如果您需要特殊版本,可通过批号或批次号查找具体证书。

已有该产品?

在文件库中查找您最近购买产品的文档。

访问文档库



Joachim M Weitzel et al.
The Journal of endocrinology, 234(2), 129-141 (2017-05-14)
During the transition between late gestation and early lactation, dairy cows experience severe metabolic stress due to the high energy and nutrient requirements of the fetus and the mammary gland. Additional thermal stress that occurs with rising temperatures during the
Yugui Cui et al.
Journal of proteome research, 7(9), 3984-3993 (2008-08-16)
Treatment with injectable testosterone undecanoate (TU) alone or in combination with oral levonorgestrel (LNG) resulted in marked decreases in sperm concentrations. In this study, we used proteomic analyses to examine the cellular/molecular events occurring in the human testis after TU
Die Hu et al.
Biomacromolecules, 12(9), 3166-3173 (2011-08-26)
Polyhydroxyalkanoates (PHA) synthesis genes phbC and orfZ cloned from Ralstonia eutropha H16 were transformed into beta-oxidation weakened Pseudomonas putida KTOY08ΔGC, a mutant of P. putida KT2442. The recombinant P. putida strain termed KTHH06 was able to produce a short-chain-length PHA



全球贸易项目编号

货号GTIN
AV48151-100UL04061836219031