biological source
rabbit
Quality Level
conjugate
unconjugated
antibody form
affinity isolated antibody
antibody product type
primary antibodies
clone
polyclonal
product line
Prestige Antibodies® Powered by Atlas Antibodies
form
buffered aqueous glycerol solution
species reactivity
human
technique(s)
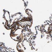
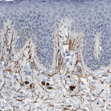
immunohistochemistry: 1:50- 1:200
immunogen sequence
TYFCSCPPGYILLDDNRSCQDINECEHRNHTCNLQQTCYNLQGGFKCIDPIRCEEPYLRISDNRCMCPAENPGCRDQPFTILYRDMDVVSGRSVPADIFQMQATTRYPGAYYIFQIKSGNEGREFYMRQTGPISATLVMTRPIKGPR
UniProt accession no.
shipped in
wet ice
storage temp.
−20°C
target post-translational modification
unmodified
Gene Information
human ... FBLN5(10516)
General description
Fibulin-5 is a protein encoded by the FBLN5 gene in humans and is mapped to chromosome 14q31.
Immunogen
Fibulin-5 precursor recombinant protein epitope signature tag (PrEST)
Application
All Prestige Antibodies Powered by Atlas Antibodies are developed and validated by the Human Protein Atlas (HPA) project and as a result, are supported by the most extensive characterization in the industry.
The Human Protein Atlas project can be subdivided into three efforts: Human Tissue Atlas, Cancer Atlas, and Human Cell Atlas. The antibodies that have been generated in support of the Tissue and Cancer Atlas projects have been tested by immunohistochemistry against hundreds of normal and disease tissues and through the recent efforts of the Human Cell Atlas project, many have been characterized by immunofluorescence to map the human proteome not only at the tissue level but now at the subcellular level. These images and the collection of this vast data set can be viewed on the Human Protein Atlas (HPA) site by clicking on the Image Gallery link. We also provide Prestige Antibodies® protocols and other useful information.
The Human Protein Atlas project can be subdivided into three efforts: Human Tissue Atlas, Cancer Atlas, and Human Cell Atlas. The antibodies that have been generated in support of the Tissue and Cancer Atlas projects have been tested by immunohistochemistry against hundreds of normal and disease tissues and through the recent efforts of the Human Cell Atlas project, many have been characterized by immunofluorescence to map the human proteome not only at the tissue level but now at the subcellular level. These images and the collection of this vast data set can be viewed on the Human Protein Atlas (HPA) site by clicking on the Image Gallery link. We also provide Prestige Antibodies® protocols and other useful information.
Biochem/physiol Actions
Fibulin-5 is a secreted extracellular matrix glycoprotein that has diverse panel of biological functions. It can segregate into elastogenic as well as extra-elastogenic functions. FBLN5 mediates cell adherence through subset of integrins, antagonizes angiogenesis and inhibits migration as well as proliferation of endothelial and smooth muscle cells. The gene is associated with primary spontaneous pneumothorax (PSP) in young PSP patients. Higher expression of FBLN5 contributes to the development of new therapeutic strategies in the FLJ10540/AKT pathway for Nasopharyngeal carcinoma (NPC) treatment. The gene is closely related to carcinoma metastasis and may play a negative role in the development as well as metastasis of ovarian cancer.
Features and Benefits
Prestige Antibodies® are highly characterized and extensively validated antibodies with the added benefit of all available characterization data for each target being accessible via the Human Protein Atlas portal linked just below the product name at the top of this page. The uniqueness and low cross-reactivity of the Prestige Antibodies® to other proteins are due to a thorough selection of antigen regions, affinity purification, and stringent selection. Prestige antigen controls are available for every corresponding Prestige Antibody and can be found in the linkage section.
Every Prestige Antibody is tested in the following ways:
Every Prestige Antibody is tested in the following ways:
- IHC tissue array of 44 normal human tissues and 20 of the most common cancer type tissues.
- Protein array of 364 human recombinant protein fragments.
Physical form
Solution in phosphate-buffered saline, pH 7.2, containing 40% glycerol and 0.02% sodium azide
Other Notes
Corresponding Antigen APREST70454
Legal Information
Prestige Antibodies is a registered trademark of Merck KGaA, Darmstadt, Germany
Disclaimer
Unless otherwise stated in our catalog or other company documentation accompanying the product(s), our products are intended for research use only and are not to be used for any other purpose, which includes but is not limited to, unauthorized commercial uses, in vitro diagnostic uses, ex vivo or in vivo therapeutic uses or any type of consumption or application to humans or animals.
存储类别
10 - Combustible liquids
wgk
WGK 1
flash_point_f
Not applicable
flash_point_c
Not applicable
ppe
Eyeshields, Gloves, multi-purpose combination respirator cartridge (US)
法规信息
低风险生物材料
常规特殊物品
此项目有
Amy Louise Winship et al.
Oncology letters, 12(1), 651-657 (2016-06-28)
Endometrial cancer is the most common invasive gynaecological malignancy. While endocrine, genetic and inflammatory factors are thought to contribute to its pathogenesis, its precise etiology and molecular regulators remain poorly understood. Fibulin-5 is an extracellular matrix (ECM) protein that inhibits
Abigail Kate Langton et al.
The Journal of investigative dermatology, 139(4), 779-788 (2018-11-08)
Skin aging is a complex process involving the additive effects of time-dependent intrinsic aging and changes elicited via skin's interaction with the environment. Maintaining optimal skin function is essential for healthy aging across global populations; yet most research focuses on
Abigail Kate Langton et al.
The Journal of investigative dermatology, 139(4), 779-788 (2018-11-08)
Skin aging is a complex process involving the additive effects of time-dependent intrinsic aging and changes elicited via skin's interaction with the environment. Maintaining optimal skin function is essential for healthy aging across global populations; yet most research focuses on
全球贸易项目编号
| 货号 | GTIN |
|---|---|
| HPA000848-100UL | 04061836317973 |
| HPA000848-25UL | 04061842765348 |