跳转至内容
Merck
CN

HPA001239

Anti-MYH7 antibody produced in rabbit

Prestige Antibodies® Powered by Atlas Antibodies, affinity isolated antibody, buffered aqueous glycerol solution

别名:

MYH7 Antibody - Anti-MYH7 antibody produced in rabbit, Myh7 Antibody, Anti-MyHC-β antibody produced in rabbit, Anti-MyHC-slow antibody produced in rabbit, Anti-Myosin heavy chain 7 antibody produced in rabbit, Anti-Myosin heavy chain slow isoform antibody produced in rabbit, Anti-Myosin heavy chain, cardiac muscle β-isoform antibody produced in rabbit, Anti-Myosin-7 antibody produced in rabbit

登录 查看组织和合同定价。

选择尺寸

变更视图

关于此项目

UNSPSC Code:
12352203
NACRES:
NA.41
Human Protein Atlas Number:
Conjugate:
unconjugated
Clone:
polyclonal
Application:
IHC
Citations:
14
技术服务
需要帮助?我们经验丰富的科学家团队随时乐意为您服务。
让我们为您提供帮助


biological source

rabbit

Quality Level

conjugate

unconjugated

antibody form

affinity isolated antibody

antibody product type

primary antibodies

clone

polyclonal

product line

Prestige Antibodies® Powered by Atlas Antibodies

form

buffered aqueous glycerol solution

species reactivity

human

technique(s)

immunohistochemistry: 1:1000- 1:2500

immunogen sequence

ALRKKHADSVAELGEQIDNLQRVKQKLEKEKSEFKLELDDVTSNMEQIIKAKANLEKMCRTLEDQMNEHRSKAEETQRSVNDLTSQRAKLQTENGELSRQLDEKEALISQLTRGKLTYTQQLEDLKRQLEEEVKAKNALAHALQS

UniProt accession no.

shipped in

wet ice

storage temp.

−20°C

target post-translational modification

unmodified

Gene Information

human ... MYH7(4625)

General description

Myosin heavy chain 7 (MYH7) comprises the N-terminal head domain and C-terminal rod domain. It also harbors the light meromyosin domain and actin-binding domain. The MYH7 gene is mapped to human chromosome location 14q11.2.

Immunogen

Myosin-7 recombinant protein epitope signature tag (PrEST)

Application

Anti-MYH7 antibody produced in rabbit has been used in:
  • western blotting
  • immunohistochemistry
  • immunofluorescence staining (1:100)

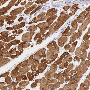
Anti-MYH7 antibody produced in rabbit is suitable for immunostaining to examine protein expression patterns in human cardiac sections using Protein Atlas confocal database.
Anti-MYH7 antibody produced in rabbit, a Prestige Antibody, is developed and validated by the Human Protein Atlas (HPA) project . Each antibody is tested by immunohistochemistry against hundreds of normal and disease tissues. These images can be viewed on the Human Protein Atlas (HPA) site by clicking on the Image Gallery link. The antibodies are also tested using immunofluorescence and western blotting. To view these protocols and other useful information about Prestige Antibodies and the HPA, visit sigma.com/prestige.

Biochem/physiol Actions

MYH7 (myosin, heavy chain 7, cardiac muscle, β) gene encodes the beta heavy chain subunit of cardiac myosin. It functions in muscle contraction. It is highly expressed in normal human ventricle and also in skeletal muscle tissues rich in slow-twitch type I muscle fibers. The expression of this protein is altered during thyroid hormone depletion and hemodynamic overloading. Defects in this gene cause familial hypertrophic cardiomyopathy, myosin storage myopathy, dilated cardiomyopathy, and Laing early-onset distal myopathy.

Features and Benefits

Prestige Antibodies® are highly characterized and extensively validated antibodies with the added benefit of all available characterization data for each target being accessible via the Human Protein Atlas portal linked just below the product name at the top of this page. The uniqueness and low cross-reactivity of the Prestige Antibodies® to other proteins are due to a thorough selection of antigen regions, affinity purification, and stringent selection. Prestige antigen controls are available for every corresponding Prestige Antibody and can be found in the linkage section.

Every Prestige Antibody is tested in the following ways:
  • IHC tissue array of 44 normal human tissues and 20 of the most common cancer type tissues.
  • Protein array of 364 human recombinant protein fragments.

Physical form

Solution in phosphate-buffered saline, pH 7.2, containing 40% glycerol and 0.02% sodium azide

Other Notes

Corresponding Antigen APREST70519

Legal Information

Prestige Antibodies is a registered trademark of Merck KGaA, Darmstadt, Germany

Disclaimer

Unless otherwise stated in our catalog or other company documentation accompanying the product(s), our products are intended for research use only and are not to be used for any other purpose, which includes but is not limited to, unauthorized commercial uses, in vitro diagnostic uses, ex vivo or in vivo therapeutic uses or any type of consumption or application to humans or animals.


Still not finding the right product?

Explore all of our products under

或者

试用我们的 产品选型工具 工具缩小选择范围


存储类别

10 - Combustible liquids

wgk

WGK 1

flash_point_f

Not applicable

flash_point_c

Not applicable

ppe

Eyeshields, Gloves, multi-purpose combination respirator cartridge (US)

法规信息

低风险生物材料
常规特殊物品

此项目有



历史批次信息供参考:

分析证书(COA)

Lot/Batch Number

没有发现合适的版本?

如果您需要特殊版本,可通过批号或批次号查找具体证书。

已有该产品?

在文件库中查找您最近购买产品的文档。

访问文档库


相关内容

Prestige Antibodies Immunofluorescence Procedure


Catherine E Alessi et al.
Journal of clinical neuromuscular disease, 22(1), 22-34 (2020-08-25)
Laing distal myopathy (LDM) is an autosomal dominant disorder caused by mutations in the slow skeletal muscle fiber myosin heavy chain (MYH7) gene on chromosome 14q11.2. The classic LDM phenotype-including early-onset, initial involvement of foot dorsiflexors and great toe extensors
Hiroyuki Iwaki et al.
PloS one, 9(4), e88610-e88610 (2014-05-02)
MYH7 (also referred to as cardiac myosin heavy chain β) gene expression is known to be repressed by thyroid hormone (T3). However, the molecular mechanism by which T3 inhibits the transcription of its target genes (negative regulation) remains to be
B Wendel et al.
Journal of cellular biochemistry, 79(4), 566-575 (2000-09-21)
The beta-myosin heavy chain gene (MYH7) encodes the motor protein that drives myocardial contraction. It has been proven to be a disease gene for hypertrophic cardiomyopathy (HCM). We analyzed the DNA sequence variation of MYH7 (about 16 kb) of eight



全球贸易项目编号

货号GTIN
HPA001239-25UL04061842772377
HPA001239-100UL04061837132568