跳转至内容
Merck
CN

HPA001341

Anti-MECP2 antibody produced in rabbit

Ab2, Prestige Antibodies® Powered by Atlas Antibodies, affinity isolated antibody, buffered aqueous glycerol solution

别名:

Anti-MeCP-2 protein antibody produced in rabbit, Anti-MeCP2 antibody produced in rabbit, Anti-Methyl-CpG-binding protein 2 antibody produced in rabbit

登录 查看组织和合同定价。

选择尺寸

变更视图

关于此项目

UNSPSC Code:
12352203
Human Protein Atlas Number:
NACRES:
NA.41
MDL number:
Conjugate:
unconjugated
Clone:
polyclonal
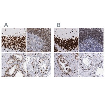
Application:
IHC
Citations:
4
技术服务
需要帮助?我们经验丰富的科学家团队随时乐意为您服务。
让我们为您提供帮助


biological source

rabbit

Quality Level

conjugate

unconjugated

antibody form

affinity isolated antibody

antibody product type

primary antibodies

clone

polyclonal

product line

Prestige Antibodies® Powered by Atlas Antibodies

form

buffered aqueous glycerol solution

species reactivity

human

enhanced validation

independent
Learn more about Antibody Enhanced Validation

technique(s)

immunohistochemistry: 1:200- 1:500

immunogen sequence

MVAGMLGLREEKSEDQDLQGLKDKPLKFKKVKKDKKEEKEGKHEPVQPSAHHSAEPAGAGKAETSEGSGSAPAVPEASASPKQRRSIIRDRGPMYDDPTLPEGWTRKLKQRKSGRSAGKY

UniProt accession no.

shipped in

wet ice

storage temp.

−20°C

target post-translational modification

unmodified

Gene Information

human ... MECP2(4204)

Immunogen

methyl CpG binding protein 2

Application

All Prestige Antibodies Powered by Atlas Antibodies are developed and validated by the Human Protein Atlas (HPA) project and as a result, are supported by the most extensive characterization in the industry.

The Human Protein Atlas project can be subdivided into three efforts: Human Tissue Atlas, Cancer Atlas, and Human Cell Atlas. The antibodies that have been generated in support of the Tissue and Cancer Atlas projects have been tested by immunohistochemistry against hundreds of normal and disease tissues and through the recent efforts of the Human Cell Atlas project, many have been characterized by immunofluorescence to map the human proteome not only at the tissue level but now at the subcellular level. These images and the collection of this vast data set can be viewed on the Human Protein Atlas (HPA) site by clicking on the Image Gallery link. We also provide Prestige Antibodies® protocols and other useful information.

Biochem/physiol Actions

MECP2 (methyl CpG binding protein 2) gene encodes an X-linked chromosomal protein that binds to methylated DNA. It belongs to the MBD family of proteins having a methyl-CpG binding domain (MBD) that binds to a single methyl-CpG pair. It represses transcription from methylated gene promoters by interacting with histone deacetylase and the corepressor SIN3A. Mutations in this gene cause Rett syndrome, an X-linked dominant neurodevelopmental disorder that is one of the most common causes of mental retardation in females.

Features and Benefits

Prestige Antibodies® are highly characterized and extensively validated antibodies with the added benefit of all available characterization data for each target being accessible via the Human Protein Atlas portal linked just below the product name at the top of this page. The uniqueness and low cross-reactivity of the Prestige Antibodies® to other proteins are due to a thorough selection of antigen regions, affinity purification, and stringent selection. Prestige antigen controls are available for every corresponding Prestige Antibody and can be found in the linkage section.

Every Prestige Antibody is tested in the following ways:
  • IHC tissue array of 44 normal human tissues and 20 of the most common cancer type tissues.
  • Protein array of 364 human recombinant protein fragments.

Physical form

Solution in phosphate-buffered saline, pH 7.2, containing 40% glycerol and 0.02% sodium azide

Other Notes

Corresponding Antigen APREST74106

Legal Information

Prestige Antibodies is a registered trademark of Merck KGaA, Darmstadt, Germany


Still not finding the right product?

Explore all of our products under

或者

试用我们的 产品选型工具 工具缩小选择范围


存储类别

10 - Combustible liquids

wgk

WGK 1

flash_point_f

Not applicable

flash_point_c

Not applicable

ppe

Eyeshields, Gloves, multi-purpose combination respirator cartridge (US)

法规信息

常规特殊物品
低风险生物材料

此项目有



历史批次信息供参考:

分析证书(COA)

Lot/Batch Number

没有发现合适的版本?

如果您需要特殊版本,可通过批号或批次号查找具体证书。

已有该产品?

在文件库中查找您最近购买产品的文档。

访问文档库



Assignment of the gene for methyl-CpG-binding protein 2 (MECP2) to human chromosome band Xq28 by in situ hybridization.
A Vilain et al.
Cytogenetics and cell genetics, 74(4), 293-294 (1996-01-01)
M Wan et al.
American journal of human genetics, 65(6), 1520-1529 (1999-12-01)
Rett syndrome (RTT) is a neurodevelopmental disorder characterized by loss of acquired skills after a period of normal development in infant girls. The responsible gene, encoding methyl-CpG binding protein 2 (MeCP2), was recently discovered. Here we explore the spectrum of
Gevork N Mnatzakanian et al.
Nature genetics, 36(4), 339-341 (2004-03-23)
Rett syndrome is caused by mutations in the gene MECP2 in approximately 80% of affected individuals. We describe a previously unknown MeCP2 isoform. Mutations unique to this isoform and the absence, until now, of identified mutations specific to the previously



全球贸易项目编号

货号GTIN
HPA001341-100UL04061835678976
HPA001341-25UL04061842772599