跳转至内容
Merck
CN

HPA001366

Anti-CDK16 antibody produced in rabbit

Prestige Antibodies® Powered by Atlas Antibodies, affinity isolated antibody, buffered aqueous glycerol solution

别名:

Anti-PCTAIRE-motif protein kinase 1, Anti-PCTK1, Anti-Serine/threonine-protein kinase PCTAIRE-1

登录 查看组织和合同定价。

选择尺寸

变更视图

关于此项目

UNSPSC Code:
12352203
NACRES:
NA.43
Human Protein Atlas Number:
Conjugate:
unconjugated
Clone:
polyclonal
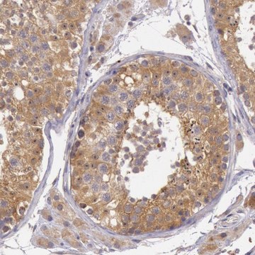
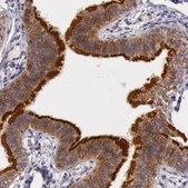
Application:
IHC
Citations:
14
技术服务
需要帮助?我们经验丰富的科学家团队随时乐意为您服务。
让我们为您提供帮助


biological source

rabbit

Quality Level

conjugate

unconjugated

antibody form

affinity isolated antibody

antibody product type

primary antibodies

clone

polyclonal

product line

Prestige Antibodies® Powered by Atlas Antibodies

form

buffered aqueous glycerol solution

species reactivity

human

technique(s)

immunoblotting: 0.04-0.4 μg/mL, immunohistochemistry: 1:200-1:500

immunogen sequence

MDRMKKIKRQLSMTLRGGRGIDKTNGAPEQIGLDESGGGGGSDPGEAPTRAAPGELRSARGPLSSAPEIVHEDLKMGSDGESDQASATSSDEVQSPVRVRMRNHPPRKISTEDINKRLSLPAD

shipped in

wet ice

storage temp.

−20°C

target post-translational modification

unmodified

Gene Information

human ... PCTK1(5127)

Immunogen

Serine/threonine-protein kinase PCTAIRE-1 recombinant protein epitope signature tag (PrEST)

Application

All Prestige Antibodies Powered by Atlas Antibodies are developed and validated by the Human Protein Atlas (HPA) project and as a result, are supported by the most extensive characterization in the industry.

The Human Protein Atlas project can be subdivided into three efforts: Human Tissue Atlas, Cancer Atlas, and Human Cell Atlas. The antibodies that have been generated in support of the Tissue and Cancer Atlas projects have been tested by immunohistochemistry against hundreds of normal and disease tissues and through the recent efforts of the Human Cell Atlas project, many have been characterized by immunofluorescence to map the human proteome not only at the tissue level but now at the subcellular level. These images and the collection of this vast data set can be viewed on the Human Protein Atlas (HPA) site by clicking on the Image Gallery link. We also provide Prestige Antibodies® protocols and other useful information.

Biochem/physiol Actions

CDK16 (cyclin-dependent kinase 16) gene encodes a serine/threonine protein kinase that is a member of the cdc2/cdkx subfamily of proteins. It plays a role in neurite outgrowth and neurotransmitter release. The Ser-12 residue of cdk16 is phosphorylated by brain-selective kinase 2 (BRSK2) and this phosphorylation inhibits glucose-stimulated insulin secretion in pancreatic β-cells. It is activated by binding to membrane-associated cyclin Y. It is required for spermatogenesis and plays a role in spermiation.

Features and Benefits

Prestige Antibodies® are highly characterized and extensively validated antibodies with the added benefit of all available characterization data for each target being accessible via the Human Protein Atlas portal linked just below the product name at the top of this page. The uniqueness and low cross-reactivity of the Prestige Antibodies® to other proteins are due to a thorough selection of antigen regions, affinity purification, and stringent selection. Prestige antigen controls are available for every corresponding Prestige Antibody and can be found in the linkage section.

Every Prestige Antibody is tested in the following ways:
  • IHC tissue array of 44 normal human tissues and 20 of the most common cancer type tissues.
  • Protein array of 364 human recombinant protein fragments.

Physical form

Solution in phosphate-buffered saline, pH 7.2, containing 40% glycerol and 0.02% sodium azide

Other Notes

Corresponding Antigen APREST74062

Legal Information

Prestige Antibodies is a registered trademark of Merck KGaA, Darmstadt, Germany

Disclaimer

Unless otherwise stated in our catalog or other company documentation accompanying the product(s), our products are intended for research use only and are not to be used for any other purpose, which includes but is not limited to, unauthorized commercial uses, in vitro diagnostic uses, ex vivo or in vivo therapeutic uses or any type of consumption or application to humans or animals.


Still not finding the right product?

Explore all of our products under

或者

试用我们的 产品选型工具 工具缩小选择范围


存储类别

10 - Combustible liquids

wgk

WGK 1

flash_point_f

Not applicable

flash_point_c

Not applicable

ppe

Eyeshields, Gloves, multi-purpose combination respirator cartridge (US)

法规信息

低风险生物材料
常规特殊物品
常规特殊物品

此项目有



历史批次信息供参考:

分析证书(COA)

Lot/Batch Number

没有发现合适的版本?

如果您需要特殊版本,可通过批号或批次号查找具体证书。

已有该产品?

在文件库中查找您最近购买产品的文档。

访问文档库



Hongtao Wang et al.
Biomedicine & pharmacotherapy = Biomedecine & pharmacotherapie, 103, 399-405 (2018-04-21)
Cyclin-dependent kinase 16 (CDK16, PCTAIRE1) expression is upregulated in a wide variety of human malignancies. However, the function(s) of CDK16 in non-small cell lung cancer (NSCLC) remain unknown. Therefore, here we investigated the role of CDK16 in NSCLC. From 43
Saifeldin N Shehata et al.
Cellular signalling, 24(11), 2085-2094 (2012-07-17)
PCTAIRE-1 (cyclin-dependent kinase [CDK] 16) is a highly conserved serine/threonine kinase that belongs to the CDK family of protein kinases. Little is known regarding PCTAIRE-1 regulation and function and no robust assay exists to assess PCTAIRE-1 activity mainly due to
CDK16/PCTK1/PCTAIRE1 is highly expressed in melanomas but not in melanocytic nevi or sarcomas.
Teruki Yanagi et al.
The Journal of dermatology, 46(7), 634-636 (2019-05-21)



全球贸易项目编号

货号GTIN
HPA001366-100UL04061837132698
HPA001366-25UL04061842772643