跳转至内容
Merck
CN

HPA001526

Anti-GC antibody produced in rabbit

Prestige Antibodies® Powered by Atlas Antibodies, affinity isolated antibody, buffered aqueous glycerol solution

别名:

Anti-DBP antibody produced in rabbit, Anti-Gc-globulin antibody produced in rabbit, Anti-Group-specific component antibody produced in rabbit, Anti-VDB antibody produced in rabbit, Anti-Vitamin D-binding protein precursor antibody produced in rabbit

登录 查看组织和合同定价。

选择尺寸

变更视图

关于此项目

UNSPSC Code:
12352203
NACRES:
NA.43
Human Protein Atlas Number:
Conjugate:
unconjugated
Clone:
polyclonal
Application:
IHC
Citations:
2
技术服务
需要帮助?我们经验丰富的科学家团队随时乐意为您服务。
让我们为您提供帮助


biological source

rabbit

Quality Level

conjugate

unconjugated

antibody form

affinity isolated antibody

antibody product type

primary antibodies

clone

polyclonal

product line

Prestige Antibodies® Powered by Atlas Antibodies

form

buffered aqueous glycerol solution

species reactivity

human

enhanced validation

independent
Learn more about Antibody Enhanced Validation

technique(s)

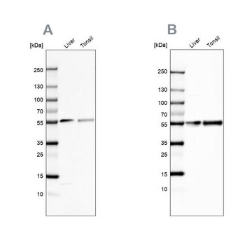
immunoblotting: 0.04-0.4 μg/mL, immunohistochemistry: 1:1000-1:2500

immunogen sequence

CESASEDCMAKELPEHTVKLCDNLSTKNSKFEDCCQEKTAMDVFVCTYFMPAAQLPELPDVELPTNKDVCDPGNTKVMDKYTFELSRRTHLPEVFLSKVLEPTLKSLGECCDVEDSTTCFNAKGPLLKKELSSFIDKGQELCAD

UniProt accession no.

shipped in

wet ice

storage temp.

−20°C

target post-translational modification

unmodified

Gene Information

human ... GC(2638)

General description

GC (group-specific component) gene encodes a protein belonging to the albumin gene family. It is a multifunctional protein found in plasma, ascitic fluid, cerebrospinal fluid, and on the surface of many cell types. The gene is localized to chromosome 4. It is synthesized in the liver and has a molar mass of approximately 51,000Da.

Immunogen

Vitamin D-binding protein precursor recombinant protein epitope signature tag (PrEST)

Application

Anti-GC antibody produced in rabbit, a Prestige Antibody, is developed and validated by the Human Protein Atlas (HPA) project . Each antibody is tested by immunohistochemistry against hundreds of normal and disease tissues. These images can be viewed on the Human Protein Atlas (HPA) site by clicking on the Image Gallery link. The antibodies are also tested using immunofluorescence and western blotting. To view these protocols and other useful information about Prestige Antibodies and the HPA, visit sigma.com/prestige.
Applications in which this antibody has been used successfully, and the associated peer-reviewed papers, are given below.
Immunohistochemistry (1 paper)

Biochem/physiol Actions

GC (group-specific component) gene is involved in the transportation of vitamin D and its plasma metabolites to target tissues. It binds to the monomers of actin and prevents polymerization. It also associates with membrane-bound IgG on lymphocytes.

Features and Benefits

Prestige Antibodies® are highly characterized and extensively validated antibodies with the added benefit of all available characterization data for each target being accessible via the Human Protein Atlas portal linked just below the product name at the top of this page. The uniqueness and low cross-reactivity of the Prestige Antibodies® to other proteins are due to a thorough selection of antigen regions, affinity purification, and stringent selection. Prestige antigen controls are available for every corresponding Prestige Antibody and can be found in the linkage section.

Every Prestige Antibody is tested in the following ways:
  • IHC tissue array of 44 normal human tissues and 20 of the most common cancer type tissues.
  • Protein array of 364 human recombinant protein fragments.

Physical form

Solution in phosphate-buffered saline, pH 7.2, containing 40% glycerol and 0.02% sodium azide

Other Notes

Corresponding Antigen APREST84502

Legal Information

Prestige Antibodies is a registered trademark of Merck KGaA, Darmstadt, Germany

Disclaimer

Unless otherwise stated in our catalog or other company documentation accompanying the product(s), our products are intended for research use only and are not to be used for any other purpose, which includes but is not limited to, unauthorized commercial uses, in vitro diagnostic uses, ex vivo or in vivo therapeutic uses or any type of consumption or application to humans or animals.


Still not finding the right product?

Explore all of our products under

或者

试用我们的 产品选型工具 工具缩小选择范围


存储类别

10 - Combustible liquids

wgk

WGK 1

flash_point_f

Not applicable

flash_point_c

Not applicable

ppe

Eyeshields, Gloves, multi-purpose combination respirator cartridge (US)

法规信息

新产品

此项目有



历史批次信息供参考:

分析证书(COA)

Lot/Batch Number

没有发现合适的版本?

如果您需要特殊版本,可通过批号或批次号查找具体证书。

已有该产品?

在文件库中查找您最近购买产品的文档。

访问文档库



F Toffalorio et al.
British journal of cancer, 110(5), 1244-1249 (2014-02-13)
Classification of lung carcinoids into typical and atypical is a diagnostic challenge since no immunohistochemical tools are available to support pathologists in distinguishing between the two subtypes. A differential diagnosis is essential for clinicians to correctly discuss therapy, prognosis and
F Yang et al.
Proceedings of the National Academy of Sciences of the United States of America, 82(23), 7994-7998 (1985-12-01)
The group-specific component (Gc) is the major vitamin D-binding protein in plasma. The gene encoding Gc is linked, on human chromosome 4, to the albumin and alpha-fetoprotein genes. These two genes previously were shown to have evolved from a smaller



全球贸易项目编号

货号GTIN
HPA001526-100UL04061836319052
HPA001526-25UL04061842773152