跳转至内容
Merck
CN

HPA001562

抗 ATF3 兔抗

Prestige Antibodies® Powered by Atlas Antibodies, affinity isolated antibody, buffered aqueous glycerol solution

别名:

抗 环腺苷酸依赖性转录因子 ATF-3 兔抗, 抗 转录激活因子 3 兔抗

登录 查看组织和合同定价。

选择尺寸

变更视图

关于此项目

UNSPSC Code:
12352203
Human Protein Atlas Number:
NACRES:
NA.43
MDL number:
Conjugate:
unconjugated
Clone:
polyclonal
Application:
IF, IHC
Citations:
24
技术服务
需要帮助?我们经验丰富的科学家团队随时乐意为您服务。
让我们为您提供帮助


biological source

rabbit

Quality Level

conjugate

unconjugated

antibody form

affinity isolated antibody

antibody product type

primary antibodies

clone

polyclonal

product line

Prestige Antibodies® Powered by Atlas Antibodies

form

buffered aqueous glycerol solution

species reactivity

human

enhanced validation

orthogonal RNAseq
Learn more about Antibody Enhanced Validation

technique(s)

immunofluorescence: 0.25-2 μg/mL, immunohistochemistry: 1:200-1:500

immunogen sequence

MMLQHPGQVSASEVSASAIVPCLSPPGSLVFEDFANLTPFVKEELRFAIQNKHLCHRMSSALESVTVSDRPLGVSITKAEVAPEEDERKKRRRERNKIAAAKCRNKKKEKTEC

UniProt accession no.

shipped in

wet ice

storage temp.

−20°C

target post-translational modification

unmodified

Gene Information

human ... ATF3(467)

General description

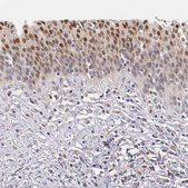
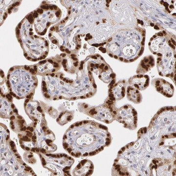
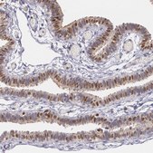
兔多克隆抗 ATF3 抗体与人活化转录因子 3 反应。
激活转录因子3(ATF3)基因定位于人染色体1q32.3。编码的蛋白属于cAMP反应元件结合(CREB)蛋白家族。

Immunogen

环腺苷酸依赖性转录因子 ATF-3 重组蛋白表位签名标签 (PrEST)

Application

兔抗ATF3抗体可用于:
  • 蛋白质印迹
  • 免疫荧光
  • 免疫组化染色
  • 染色质免疫沉淀(ChIP)

Biochem/physiol Actions

激活转录因子3(ATF3)是一种环AMP依赖性转录因子,通过隔离抑制性辅因子来刺激转录。ATF3可对胁迫信号作出响应,并参与免疫和代谢稳态的调节。它有助于防止慢性炎症和饥饿反应。眼损伤诱导ATF3表达。它可充当神经元损伤的标志物。

Features and Benefits

Prestige抗体®是经过高度表征和广泛验证的抗体,同时还有一个优点是其每个靶标的所有可用表征数据都可以通过位于此页面顶部产品名称下方的人类蛋白质图谱门户进行访问。Prestige抗体对其他蛋白质的独特性和低交叉反应性®是通过严密的抗原区域选择、亲和纯化和严格的选择来实现的。针对每一个Prestige 抗体都存在有对应的Prestige抗原对照,并可在链接区域内找到。

每个Prestige 抗体都是按照以下方法进行测试的:
  • 44例正常人类组织以及20例最常见癌症类型组织的IHC组织阵列。
  • 364个人类重组蛋白片段的蛋白阵列。

Physical form

溶于磷酸盐缓冲盐水,pH 7.2,含有40%甘油和0.02%叠氮化钠

Other Notes

相应抗原APREST77475

Legal Information

Prestige Antibodies is a registered trademark of Merck KGaA, Darmstadt, Germany

Disclaimer

除非我们的产品目录或产品附带的其他公司文档另有说明,否则我们的产品仅供研究使用,不得用于任何其他目的,包括但不限于未经授权的商业用途、体外诊断用途、离体或体内治疗用途或任何类型的消费或应用于人类或动物。


Still not finding the right product?

Explore all of our products under 抗 ATF3 兔抗

或者

试用我们的 产品选型工具 工具缩小选择范围


存储类别

10 - Combustible liquids

wgk

WGK 1

ppe

Eyeshields, Gloves, multi-purpose combination respirator cartridge (US)

法规信息

常规特殊物品
低风险生物材料

此项目有



历史批次信息供参考:

分析证书(COA)

Lot/Batch Number

没有发现合适的版本?

如果您需要特殊版本,可通过批号或批次号查找具体证书。

已有该产品?

在文件库中查找您最近购买产品的文档。

访问文档库


相关内容

Prestige Antibodies Immunofluorescence Procedure


A potential dichotomous role of ATF3, an adaptive-response gene, in cancer development
Yin X, et al.
Oncogene, 27(15), 2118-2118 (2008)
Activating transcription factor 3 promotes embryo attachment via up-regulation of leukemia inhibitory factor in vitro
Cheng X, et al.
Reproductive Biology and Endocrinology, 15(1), 42-42 (2017)
Marta Bueno et al.
Aging cell, 17(2) (2018-01-25)
PINK1 (PTEN-induced putative kinase 1) is a key regulator of mitochondrial homeostasis that is relatively depleted in aging lungs and in lung epithelial cells from patients with idiopathic pulmonary fibrosis (IPF), a disease linked with aging. Impaired PINK1 expression and



全球贸易项目编号

货号GTIN
HPA001562-100UL04061837132940
HPA001562-25UL04061842773282