biological source
rabbit
Quality Level
conjugate
unconjugated
antibody form
affinity isolated antibody
antibody product type
primary antibodies
clone
polyclonal
product line
Prestige Antibodies® Powered by Atlas Antibodies
form
buffered aqueous glycerol solution
species reactivity
human
enhanced validation
orthogonal RNAseq
Learn more about Antibody Enhanced Validation
technique(s)
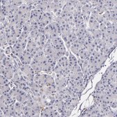
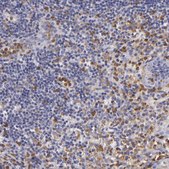
immunohistochemistry: 1:500- 1:1000
immunogen sequence
RSYPCDEKKQNDSVIAECSNRRLQEVPQTVGKYVTELDLSDNFITHITNESFQGLQNLTKINLNHNPNVQHQNGNPGIQSNGLNITDGAFLNLKNLRELLLEDNQLPQIPSGLPESLTELSL
UniProt accession no.
shipped in
wet ice
storage temp.
−20°C
target post-translational modification
unmodified
Gene Information
human ... TLR8(51311)
Immunogen
Toll-like receptor 8 precursor recombinant protein epitope signature tag (PrEST)
Application
All Prestige Antibodies Powered by Atlas Antibodies are developed and validated by the Human Protein Atlas (HPA) project and as a result, are supported by the most extensive characterization in the industry.
The Human Protein Atlas project can be subdivided into three efforts: Human Tissue Atlas, Cancer Atlas, and Human Cell Atlas. The antibodies that have been generated in support of the Tissue and Cancer Atlas projects have been tested by immunohistochemistry against hundreds of normal and disease tissues and through the recent efforts of the Human Cell Atlas project, many have been characterized by immunofluorescence to map the human proteome not only at the tissue level but now at the subcellular level. These images and the collection of this vast data set can be viewed on the Human Protein Atlas (HPA) site by clicking on the Image Gallery link. We also provide Prestige Antibodies® protocols and other useful information.
The Human Protein Atlas project can be subdivided into three efforts: Human Tissue Atlas, Cancer Atlas, and Human Cell Atlas. The antibodies that have been generated in support of the Tissue and Cancer Atlas projects have been tested by immunohistochemistry against hundreds of normal and disease tissues and through the recent efforts of the Human Cell Atlas project, many have been characterized by immunofluorescence to map the human proteome not only at the tissue level but now at the subcellular level. These images and the collection of this vast data set can be viewed on the Human Protein Atlas (HPA) site by clicking on the Image Gallery link. We also provide Prestige Antibodies® protocols and other useful information.
Biochem/physiol Actions
TLR8 (toll-like receptor 8) gene encodes a protein that belongs to the Toll-like receptor (TLR) family. It functions in the detection and recognition of pathogens, and activation of innate and adaptive immunity. It recognizes single-stranded RNA from viruses or host ribonucleoproteins. Bruton′s tyrosine kinase is essential for the signaling of TLR7 and TLR8. This kinase acts downstream of these two genes and activates NFκB. It is also involved in the phosphorylation of p65 on serine 536 activated by TLR8 and TLR9.
Features and Benefits
Prestige Antibodies® are highly characterized and extensively validated antibodies with the added benefit of all available characterization data for each target being accessible via the Human Protein Atlas portal linked just below the product name at the top of this page. The uniqueness and low cross-reactivity of the Prestige Antibodies® to other proteins are due to a thorough selection of antigen regions, affinity purification, and stringent selection. Prestige antigen controls are available for every corresponding Prestige Antibody and can be found in the linkage section.
Every Prestige Antibody is tested in the following ways:
Every Prestige Antibody is tested in the following ways:
- IHC tissue array of 44 normal human tissues and 20 of the most common cancer type tissues.
- Protein array of 364 human recombinant protein fragments.
Physical form
Solution in phosphate-buffered saline, pH 7.2, containing 40% glycerol and 0.02% sodium azide
Other Notes
Corresponding Antigen APREST74296
Legal Information
Prestige Antibodies is a registered trademark of Merck KGaA, Darmstadt, Germany
Disclaimer
Unless otherwise stated in our catalog or other company documentation accompanying the product(s), our products are intended for research use only and are not to be used for any other purpose, which includes but is not limited to, unauthorized commercial uses, in vitro diagnostic uses, ex vivo or in vivo therapeutic uses or any type of consumption or application to humans or animals.
存储类别
10 - Combustible liquids
wgk
WGK 1
flash_point_f
Not applicable
flash_point_c
Not applicable
ppe
Eyeshields, Gloves, multi-purpose combination respirator cartridge (US)
法规信息
低风险生物材料
常规特殊物品
此项目有
Hiromi Tanji et al.
Science (New York, N.Y.), 339(6126), 1426-1429 (2013-03-23)
Toll-like receptor 7 (TLR7) and TLR8 recognize single-stranded RNA and initiate innate immune responses. Several synthetic agonists of TLR7-TLR8 display novel therapeutic potential; however, the molecular basis for ligand recognition and activation of signaling by TLR7 or TLR8 is largely
Sarah L Doyle et al.
The Journal of biological chemistry, 282(51), 36953-36960 (2007-10-13)
Toll-like receptors (TLRs) are a primary surveillance system for the detection of pathogens and are crucial to the activation of host defense. TLR7 and TLR8 sense single-stranded RNA from viruses or host ribonucleoproteins and synthetic imidazoquinolines such as R848, whereas
Noriko Ishii et al.
Journal of immunology (Baltimore, Md. : 1950), 193(10), 5118-5128 (2014-10-10)
Nucleic acid-sensing TLRs are involved in both antimicrobial immune responses and autoimmune inflammation. TLR8 is phylogenetically and structurally related to TLR7 and TLR9, which undergo proteolytic processing in the endolysosomes to generate functional receptors. Recent structural analyses of human TLR8
全球贸易项目编号
| 货号 | GTIN |
|---|---|
| HPA001608-100UL | 04061836319205 |
| HPA001608-25UL | 04061842773473 |