跳转至内容
Merck
CN

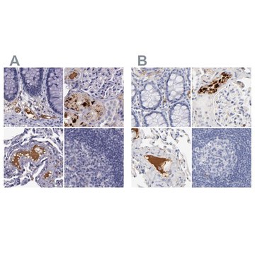
HPA001654

Anti-APOH antibody produced in rabbit

Prestige Antibodies® Powered by Atlas Antibodies, affinity isolated antibody, buffered aqueous glycerol solution

别名:

Anti-β-2-Glycoprotein I antibody produced in rabbit, Anti-β2-GPI antibody produced in rabbit, Anti-β2-Glycoprotein 1 precursor antibody produced in rabbit, Anti-β2-Glycoprotein I antibody produced in rabbit, Anti-APC inhibitor antibody produced in rabbit, Anti-Activated protein C-binding protein antibody produced in rabbit, Anti-Anticardiolipin cofactor antibody produced in rabbit, Anti-Apo-H antibody produced in rabbit, Anti-Apolipoprotein H antibody produced in rabbit, Anti-B2GPI antibody produced in rabbit

登录 查看组织和合同定价。

选择尺寸

变更视图

关于此项目

UNSPSC Code:
12352203
NACRES:
NA.41
Human Protein Atlas Number:
Conjugate:
unconjugated
Clone:
polyclonal
Application:
IF, IHC
Citations:
8
技术服务
需要帮助?我们经验丰富的科学家团队随时乐意为您服务。
让我们为您提供帮助


biological source

rabbit

Quality Level

conjugate

unconjugated

antibody form

affinity isolated antibody

antibody product type

primary antibodies

clone

polyclonal

product line

Prestige Antibodies® Powered by Atlas Antibodies

form

buffered aqueous glycerol solution

species reactivity

human

enhanced validation

independent
RNAi knockdown
Learn more about Antibody Enhanced Validation

technique(s)

immunoblotting: 0.04-0.4 μg/mL, immunofluorescence: 0.25-2 μg/mL, immunohistochemistry: 1:50-1:200

immunogen sequence

ECREVKCPFPSRPDNGFVNYPAKPTLYYKDKATFGCHDGYSLDGPEEIECTKLGNWSAMPSCKASCKVPVKKATVVYQGERVKIQEKFKNGMLHGDKVSFFCKNKEKKCSYTEDAQCIDGTIEVPKCFKEHSSLAFSKTDASDVK

UniProt accession no.

shipped in

wet ice

storage temp.

−20°C

target post-translational modification

unmodified

Gene Information

human ... APOH(350)

General description

APOH (apolipoprotein H, β-2-glycoprotein I) is a single chain polymorphic glycoprotein involved in phospholipid binding interactions on platelets. It exists in plasma both in a free form and in combination with lipoprotein particles. It contains 11 disulfide bridges and four N-linked glycosylation sites with molecular mass of ~43kDa. It comprises of four short consensus repeat (SCRs) from the complement control protein (CCP) module type and an extra fifth C-terminal domain.

Immunogen

β2-Glycoprotein 1 precursor recombinant protein epitope signature tag (PrEST)

Application

All Prestige Antibodies Powered by Atlas Antibodies are developed and validated by the Human Protein Atlas (HPA) project and as a result, are supported by the most extensive characterization in the industry.

The Human Protein Atlas project can be subdivided into three efforts: Human Tissue Atlas, Cancer Atlas, and Human Cell Atlas. The antibodies that have been generated in support of the Tissue and Cancer Atlas projects have been tested by immunohistochemistry against hundreds of normal and disease tissues and through the recent efforts of the Human Cell Atlas project, many have been characterized by immunofluorescence to map the human proteome not only at the tissue level but now at the subcellular level. These images and the collection of this vast data set can be viewed on the Human Protein Atlas (HPA) site by clicking on the Image Gallery link. We also provide Prestige Antibodies® protocols and other useful information.

Biochem/physiol Actions

APOH (apolipoprotein H, β-2-glycoprotein I) is associated with a variety of physiological pathways, including blood coagulation and immune response. It plays an essential role as a cofactor for the binding of certain antiphospholipid antibodies (APA) to anionic phospholipid. It consists of a positively charged lysine-rich domain which binds to negatively charged surfaces including heparin, DNA, cell membranes, endothelial cells,macrophages and acidic phospholipids.

Features and Benefits

Prestige Antibodies® are highly characterized and extensively validated antibodies with the added benefit of all available characterization data for each target being accessible via the Human Protein Atlas portal linked just below the product name at the top of this page. The uniqueness and low cross-reactivity of the Prestige Antibodies® to other proteins are due to a thorough selection of antigen regions, affinity purification, and stringent selection. Prestige antigen controls are available for every corresponding Prestige Antibody and can be found in the linkage section.

Every Prestige Antibody is tested in the following ways:
  • IHC tissue array of 44 normal human tissues and 20 of the most common cancer type tissues.
  • Protein array of 364 human recombinant protein fragments.

Physical form

Solution in phosphate-buffered saline, pH 7.2, containing 40% glycerol and 0.02% sodium azide

Other Notes

Corresponding Antigen APREST84509

Legal Information

Prestige Antibodies is a registered trademark of Merck KGaA, Darmstadt, Germany

Disclaimer

Unless otherwise stated in our catalog or other company documentation accompanying the product(s), our products are intended for research use only and are not to be used for any other purpose, which includes but is not limited to, unauthorized commercial uses, in vitro diagnostic uses, ex vivo or in vivo therapeutic uses or any type of consumption or application to humans or animals.


Still not finding the right product?

Explore all of our products under

或者

试用我们的 产品选型工具 工具缩小选择范围


存储类别

10 - Combustible liquids

wgk

WGK 1

flash_point_f

Not applicable

flash_point_c

Not applicable

ppe

Eyeshields, Gloves, multi-purpose combination respirator cartridge (US)

法规信息

低风险生物材料
常规特殊物品
常规特殊物品

此项目有



历史批次信息供参考:

分析证书(COA)

Lot/Batch Number

没有发现合适的版本?

如果您需要特殊版本,可通过批号或批次号查找具体证书。

已有该产品?

在文件库中查找您最近购买产品的文档。

访问文档库



H Mehdi et al.
Human genetics, 105(1-2), 63-71 (1999-09-10)
Apolipoprotein H (apoH, protein; APOH, gene) is a single chain glycoprotein that exists in plasma both in a free form and in combination with lipoprotein particles. ApoH has been implicated in several physiologic pathways, including lipid metabolism, coagulation, and the
M I Kamboh et al.
Lupus, 7 Suppl 2, S10-S13 (1998-11-14)
Apolipoprotein H (apoH; also known as beta2-glycoprotein I), is an essential cofactor for the binding of certain antiphospholipid antibodies (APA) to anionic phospholipid. The gene coding for apoH is polymorphic, with the occurrence of several common alleles in the general
A Steinkasserer et al.
Cytogenetics and cell genetics, 60(1), 31-33 (1992-01-01)
Human apolipoprotein H (APOH) is associated with lipoprotein present in plasma. It has been shown that APOH has structural similarities with the regulation of complement activation (RCA) protein superfamily and is involved in phospholipid binding interactions on platelets and as



全球贸易项目编号

货号GTIN
HPA001654-100UL04061836319328
HPA001654-25UL04061842773688