跳转至内容
Merck
CN

HPA001761

Anti-SEMA3G antibody produced in rabbit

Prestige Antibodies® Powered by Atlas Antibodies, affinity isolated antibody, buffered aqueous glycerol solution

别名:

Anti-Sem2 antibody produced in rabbit, Anti-Semaphorin-3G precursor antibody produced in rabbit

登录 查看组织和合同定价。

选择尺寸

变更视图

关于此项目

UNSPSC Code:
12352203
NACRES:
NA.41
Human Protein Atlas Number:
Conjugate:
unconjugated
Clone:
polyclonal
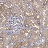
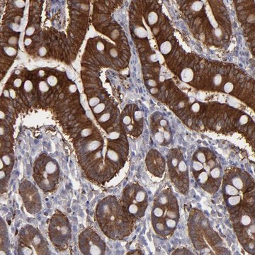
Application:
IHC
Citations:
6
技术服务
需要帮助?我们经验丰富的科学家团队随时乐意为您服务。
让我们为您提供帮助


biological source

rabbit

Quality Level

conjugate

unconjugated

antibody form

affinity isolated antibody

antibody product type

primary antibodies

clone

polyclonal

product line

Prestige Antibodies® Powered by Atlas Antibodies

form

buffered aqueous glycerol solution

species reactivity

human

technique(s)

immunohistochemistry: 1:50-1:200

immunogen sequence

VRWLLQRPGDEGPDQVKTDERVLHTERGLLFRRLSRFDAGTYTCTTLEHGFSQTVVRLALVVIVASQLDNLFPPEPKPEEPPARGGLASTPPKAWYKDILQLIG

UniProt accession no.

shipped in

wet ice

storage temp.

−20°C

target post-translational modification

unmodified

Gene Information

human ... SEMA3G(56920)

Immunogen

Semaphorin-3G precursor recombinant protein epitope signature tag (PrEST)

Application

Applications in which this antibody has been used successfully, and the associated peer-reviewed papers, are given below.
Western Blotting (1 paper)

Biochem/physiol Actions

SEMA3G (semaphorin 3G) belongs to the large, evolutionarily conserved family of signaling molecules. Class 3 semaphorins is sub classified into six types named as sema3A to sema3F. SEMA3G acts as a novel peroxisome proliferator-activated receptor γ (PPAR-γ) regulated gene, which is centrally associated with the endothelial cell migration. It is a downstream effector of PPAR-γ. SEMA3G possesses anti-migration and anti-invasion ability.

Features and Benefits

Prestige Antibodies® are highly characterized and extensively validated antibodies with the added benefit of all available characterization data for each target being accessible via the Human Protein Atlas portal linked just below the product name at the top of this page. The uniqueness and low cross-reactivity of the Prestige Antibodies® to other proteins are due to a thorough selection of antigen regions, affinity purification, and stringent selection. Prestige antigen controls are available for every corresponding Prestige Antibody and can be found in the linkage section.

Every Prestige Antibody is tested in the following ways:
  • IHC tissue array of 44 normal human tissues and 20 of the most common cancer type tissues.
  • Protein array of 364 human recombinant protein fragments.

Physical form

Solution in phosphate-buffered saline, pH 7.2, containing 40% glycerol and 0.02% sodium azide

Other Notes

Corresponding Antigen APREST85018

Legal Information

Prestige Antibodies is a registered trademark of Merck KGaA, Darmstadt, Germany

Disclaimer

Unless otherwise stated in our catalog or other company documentation accompanying the product(s), our products are intended for research use only and are not to be used for any other purpose, which includes but is not limited to, unauthorized commercial uses, in vitro diagnostic uses, ex vivo or in vivo therapeutic uses or any type of consumption or application to humans or animals.


Still not finding the right product?

Explore all of our products under

或者

试用我们的 产品选型工具 工具缩小选择范围


存储类别

10 - Combustible liquids

wgk

WGK 1

flash_point_f

Not applicable

flash_point_c

Not applicable

ppe

Eyeshields, Gloves, multi-purpose combination respirator cartridge (US)

法规信息

低风险生物材料
常规特殊物品
常规特殊物品

此项目有



历史批次信息供参考:

分析证书(COA)

Lot/Batch Number

没有发现合适的版本?

如果您需要特殊版本,可通过批号或批次号查找具体证书。

已有该产品?

在文件库中查找您最近购买产品的文档。

访问文档库



Craig B Stevens et al.
Gene expression patterns : GEP, 5(5), 647-653 (2005-06-09)
The semaphorins are a large, evolutionarily conserved family of signaling molecules with broad functions during development. The class 3 semaphorins are a subclass of secreted semaphorins found in vertebrates. There have been six class 3 semaphorins identified to date (sema3A
Ryoichi Ishibashi et al.
Scientific reports, 6, 25955-25955 (2016-05-18)
Kidney diseases including diabetic nephropathy have become huge medical problems, although its precise mechanisms are still far from understood. In order to increase our knowledge about the patho-physiology of kidney, we have previously identified >300 kidney glomerulus-enriched transcripts through large-scale
Weiwei Liu et al.
Journal of cellular biochemistry, 116(4), 514-523 (2014-10-23)
In addition to regulating lipid and glucose metabolism, the nuclear receptor PPAR-γ has emerged as a potentially relevant player in regulating endothelial cell function. Despite the identification of numerous PPAR-γ targets involved in vascular development, the targets downstream of PPAR-γ



全球贸易项目编号

货号GTIN
HPA001761-100UL04061837133138
HPA001761-25UL04061842773848