跳转至内容
Merck
CN

HPA001767

Anti-CDH3 antibody produced in rabbit

Prestige Antibodies® Powered by Atlas Antibodies, affinity isolated antibody, buffered aqueous glycerol solution

别名:

Anti-Cadherin-3 precursor antibody produced in rabbit, Anti-P-cadherin antibody produced in rabbit, Anti-Placental-cadherin antibody produced in rabbit

登录 查看组织和合同定价。

选择尺寸

变更视图

关于此项目

UNSPSC Code:
12352203
NACRES:
NA.43
Human Protein Atlas Number:
Conjugate:
unconjugated
Clone:
polyclonal
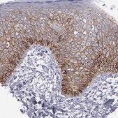
Application:
IHC, WB
Citations:
3
技术服务
需要帮助?我们经验丰富的科学家团队随时乐意为您服务。
让我们为您提供帮助


biological source

rabbit

Quality Level

conjugate

unconjugated

antibody form

affinity isolated antibody

antibody product type

primary antibodies

clone

polyclonal

product line

Prestige Antibodies® Powered by Atlas Antibodies

form

buffered aqueous glycerol solution

species reactivity

human

enhanced validation

orthogonal RNAseq
Learn more about Antibody Enhanced Validation

technique(s)

immunohistochemistry: 1:200-1:500, western blot: 0.04-0.4 μg/mL

immunogen sequence

YNGVVAYSIHSQEPKDPHDLMFTIHRSTGTISVISSGLDREKVPEYTLTIQATDMDGDGSTTTAVAVVEILDANDNAPMFDPQKYEAHVPENAVGHEVQRLTVTDLDAPNSPAWRATYLIMGGDDGDHFTITTHPE

UniProt accession no.

shipped in

wet ice

storage temp.

−20°C

target post-translational modification

unmodified

Gene Information

human ... CDH3(1001)

Immunogen

Cadherin-3 precursor recombinant protein epitope signature tag (PrEST)

Application

All Prestige Antibodies Powered by Atlas Antibodies are developed and validated by the Human Protein Atlas (HPA) project and as a result, are supported by the most extensive characterization in the industry.

The Human Protein Atlas project can be subdivided into three efforts: Human Tissue Atlas, Cancer Atlas, and Human Cell Atlas. The antibodies that have been generated in support of the Tissue and Cancer Atlas projects have been tested by immunohistochemistry against hundreds of normal and disease tissues and through the recent efforts of the Human Cell Atlas project, many have been characterized by immunofluorescence to map the human proteome not only at the tissue level but now at the subcellular level. These images and the collection of this vast data set can be viewed on the Human Protein Atlas (HPA) site by clicking on the Image Gallery link. We also provide Prestige Antibodies® protocols and other useful information.

Features and Benefits

Prestige Antibodies® are highly characterized and extensively validated antibodies with the added benefit of all available characterization data for each target being accessible via the Human Protein Atlas portal linked just below the product name at the top of this page. The uniqueness and low cross-reactivity of the Prestige Antibodies® to other proteins are due to a thorough selection of antigen regions, affinity purification, and stringent selection. Prestige antigen controls are available for every corresponding Prestige Antibody and can be found in the linkage section.

Every Prestige Antibody is tested in the following ways:
  • IHC tissue array of 44 normal human tissues and 20 of the most common cancer type tissues.
  • Protein array of 364 human recombinant protein fragments.

Physical form

Solution in phosphate-buffered saline, pH 7.2, containing 40% glycerol and 0.02% sodium azide

Other Notes

Corresponding Antigen APREST85042

Legal Information

Prestige Antibodies is a registered trademark of Merck KGaA, Darmstadt, Germany

Disclaimer

Unless otherwise stated in our catalog or other company documentation accompanying the product(s), our products are intended for research use only and are not to be used for any other purpose, which includes but is not limited to, unauthorized commercial uses, in vitro diagnostic uses, ex vivo or in vivo therapeutic uses or any type of consumption or application to humans or animals.


Still not finding the right product?

Explore all of our products under

或者

试用我们的 产品选型工具 工具缩小选择范围


存储类别

10 - Combustible liquids

wgk

WGK 1

flash_point_f

Not applicable

flash_point_c

Not applicable

ppe

Eyeshields, Gloves, multi-purpose combination respirator cartridge (US)

法规信息

低风险生物材料
常规特殊物品
常规特殊物品

此项目有



历史批次信息供参考:

分析证书(COA)

Lot/Batch Number

没有发现合适的版本?

如果您需要特殊版本,可通过批号或批次号查找具体证书。

已有该产品?

在文件库中查找您最近购买产品的文档。

访问文档库



E Sprecher et al.
Nature genetics, 29(2), 134-136 (2001-09-07)
Congenital hypotrichosis associated with juvenile macular dystrophy (HJMD; MIM601553) is an autosomal recessive disorder of unknown etiology, characterized by hair loss heralding progressive macular degeneration and early blindness. We used homozygosity mapping in four consanguineous families to localize the gene
D F Jarrard et al.
Clinical cancer research : an official journal of the American Association for Cancer Research, 3(11), 2121-2128 (1998-11-17)
P-Cadherin is a member of the cadherin family of cell surface glycoproteins that mediate Ca2+-dependent cell-cell adhesion and is expressed in a differential fashion in normal epithelial tissues. The expression of P-cadherin in human prostate cancer development has not been
Y Shimoyama et al.
Cancer research, 49(8), 2128-2133 (1989-04-15)
Two distinct calcium-sensitive cell-cell adhesion molecules were identified in human epithelial tissues and carcinomas using two monoclonal antibodies raised against vulvar epidermoid carcinoma A-431 and human mammary carcinoma MCF-7 and selected on the basis of their activities to disrupt cell-cell



全球贸易项目编号

货号GTIN
HPA001767-25UL04061842773879
HPA001767-100UL04061837133152