跳转至内容
Merck
CN

HPA001814

Anti-SOD2 antibody produced in rabbit

Prestige Antibodies® Powered by Atlas Antibodies, affinity isolated antibody, buffered aqueous glycerol solution

别名:

Anti-Superoxide dismutase [Mn], mitochondrial precursor antibody produced in rabbit

登录 查看组织和合同定价。

选择尺寸

变更视图

关于此项目

UNSPSC Code:
12352203
NACRES:
NA.43
Human Protein Atlas Number:
Conjugate:
unconjugated
Clone:
polyclonal
Application:
IHC
Citations:
21
技术服务
需要帮助?我们经验丰富的科学家团队随时乐意为您服务。
让我们为您提供帮助


biological source

rabbit

Quality Level

conjugate

unconjugated

antibody form

affinity isolated antibody

antibody product type

primary antibodies

clone

polyclonal

product line

Prestige Antibodies® Powered by Atlas Antibodies

form

buffered aqueous glycerol solution

species reactivity

mouse, human, rat

technique(s)

immunoblotting: 0.04-0.4 μg/mL, immunohistochemistry: 1:1000-1:2500

immunogen sequence

VCGTSRQLAPVLGYLGSRQKHSLPDLPYDYGALEPHINAQIMQLHHSKHHAAYVNNLNVTEEKYQEALAKGDVTAQIALQPALKFNGGGHINHSIFWTNLSPNGGGEPKGELLEAIKRDFGSFDKFKEKLTAASVGVQGSGWGWL

UniProt accession no.

shipped in

wet ice

storage temp.

−20°C

target post-translational modification

unmodified

Gene Information

human ... SOD2(6648)

Immunogen

Superoxide dismutase [Mn], mitochondrial precursor recombinant protein epitope signature tag (PrEST)

Application

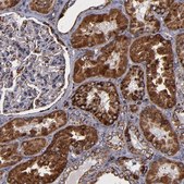
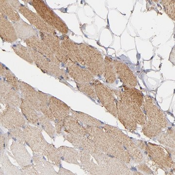
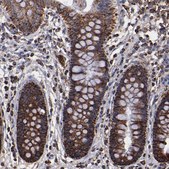
Anti-SOD2 antibody produced in rabbit, a Prestige Antibody, is developed and validated by the Human Protein Atlas (HPA) project . Each antibody is tested by immunohistochemistry against hundreds of normal and disease tissues. These images can be viewed on the Human Protein Atlas (HPA) site by clicking on the Image Gallery link. The antibodies are also tested using immunofluorescence and western blotting. To view these protocols and other useful information about Prestige Antibodies and the HPA, visit sigma.com/prestige.
Applications in which this antibody has been used successfully, and the associated peer-reviewed papers, are given below.
Immunohistochemistry (1 paper)

Biochem/physiol Actions

SOD2 (superoxide dismutase 2) is a nuclear-encoded mitochondrial protein associated with the mitochondrial pathway for detoxification of O2-.It generates nontoxic products by converting reactive oxygen species (ROS) such as superoxide, hydrogen peroxide, and hydroxyl radicals which are produced as byproducts of normal cellular metabolism. Firstly, it alters superoxide to hydrogen peroxide and oxygen. In the next stage, peroxiredoxins and catalase enzyme convert hydrogen peroxide to molecular oxygen and water. It is essential for maintaining integrity of mitochondrial enzymes which are susceptible to direct inactivation by superoxide.

Features and Benefits

Prestige Antibodies® are highly characterized and extensively validated antibodies with the added benefit of all available characterization data for each target being accessible via the Human Protein Atlas portal linked just below the product name at the top of this page. The uniqueness and low cross-reactivity of the Prestige Antibodies® to other proteins are due to a thorough selection of antigen regions, affinity purification, and stringent selection. Prestige antigen controls are available for every corresponding Prestige Antibody and can be found in the linkage section.

Every Prestige Antibody is tested in the following ways:
  • IHC tissue array of 44 normal human tissues and 20 of the most common cancer type tissues.
  • Protein array of 364 human recombinant protein fragments.

Physical form

Solution in phosphate-buffered saline, pH 7.2, containing 40% glycerol and 0.02% sodium azide

Other Notes

Corresponding Antigen APREST83053

Legal Information

Prestige Antibodies is a registered trademark of Merck KGaA, Darmstadt, Germany

Disclaimer

Unless otherwise stated in our catalog or other company documentation accompanying the product(s), our products are intended for research use only and are not to be used for any other purpose, which includes but is not limited to, unauthorized commercial uses, in vitro diagnostic uses, ex vivo or in vivo therapeutic uses or any type of consumption or application to humans or animals.


Still not finding the right product?

Explore all of our products under

或者

试用我们的 产品选型工具 工具缩小选择范围


存储类别

10 - Combustible liquids

wgk

WGK 1

flash_point_f

Not applicable

flash_point_c

Not applicable

ppe

Eyeshields, Gloves, multi-purpose combination respirator cartridge (US)

法规信息

低风险生物材料
常规特殊物品

此项目有



历史批次信息供参考:

分析证书(COA)

Lot/Batch Number

没有发现合适的版本?

如果您需要特殊版本,可通过批号或批次号查找具体证书。

已有该产品?

在文件库中查找您最近购买产品的文档。

访问文档库



null
Xiaobin Liu et al.
Redox biology, 8, 98-109 (2016-01-17)
Oxidative stress-induced retinal pigment epithelial (RPE) cell damage is an important factor in the pathogenesis of age-related macular degeneration (AMD). Previous studies have shown that RTA 408, a synthetic triterpenoid compound, potently activates Nrf2. This study aimed to investigate the
Arivazhagan Arimappamagan et al.
PloS one, 8(4), e62042-e62042 (2013-05-07)
Recent research on glioblastoma (GBM) has focused on deducing gene signatures predicting prognosis. The present study evaluated the mRNA expression of selected genes and correlated with outcome to arrive at a prognostic gene signature. Patients with GBM (n = 123) were prospectively



全球贸易项目编号

货号GTIN
HPA001814-25UL04061842779987
HPA001814-100UL04061837133206