跳转至内容
Merck
CN

HPA001939

抗-MMP2 兔抗

Prestige Antibodies® Powered by Atlas Antibodies, affinity isolated antibody, buffered aqueous glycerol solution

别名:

抗-72 kDa IV型胶原酶前体 兔抗, 抗-72 kDa 明胶酶 兔抗, 抗-MMP-2 兔抗, 抗-TBE-1 兔抗, 抗-基质金属蛋白酶-2 兔抗, 抗-明胶酶A 兔抗

登录 查看组织和合同定价。

选择尺寸

变更视图

关于此项目

UNSPSC Code:
12352203
Human Protein Atlas Number:
NACRES:
NA.41
MDL number:
Conjugate:
unconjugated
Clone:
polyclonal
Application:
IHC, WB
Citations:
19
技术服务
需要帮助?我们经验丰富的科学家团队随时乐意为您服务。
让我们为您提供帮助


biological source

rabbit

Quality Level

conjugate

unconjugated

antibody form

affinity isolated antibody

antibody product type

primary antibodies

clone

polyclonal

product line

Prestige Antibodies® Powered by Atlas Antibodies

form

buffered aqueous glycerol solution

species reactivity

human

enhanced validation

recombinant expression
Learn more about Antibody Enhanced Validation

technique(s)

immunohistochemistry: 1:50-1:200, western blot: 0.04-0.4 μg/mL

immunogen sequence

YGASPDIDLGTGPTPTLGPVTPEICKQDIVFDGIAQIRGEIFFFKDRFIWRTVTPRDKPMGPLLVATFWPELPEKIDAVYEAPQEEKAVFFAGNEYWIYSASTLERGYPKPLTSLGLPPDVQRVDAAFNWS

UniProt accession no.

shipped in

wet ice

storage temp.

−20°C

target post-translational modification

unmodified

Gene Information

human ... MMP2(4313)

General description

MMP2基因位于人染色体16q12.2。
基质金属蛋白酶2(MMP2)属于同源基质金属蛋白酶(MMP)家族。它由同源的半胱氨酸开关和锌结合区组成。它是通过增殖皮肤成纤维细胞,特定支气管上皮细胞和SV40转化的肺成纤维细胞合成的。

Immunogen

72 kDa IV型胶原酶前体重组蛋白表位信号标签(PrEST)

Application

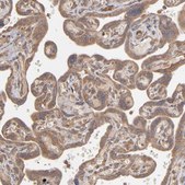
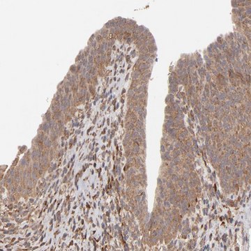
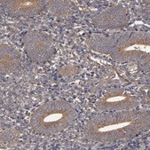
兔抗-MMP2抗体可用于蛋白质印迹和免疫组化。
兔抗MMP2抗体,属于Prestige抗体,由人类蛋白质图谱(HPA)项目开发验证。每种抗体都通过针对数百种正常和疾病组织的免疫组织化学进行测试。通过单击图像库链接,可以在人类蛋白质图谱(HPA)站点上查看这些图像。还采用免疫荧光和蛋白质印迹法对抗体进行检测。想要查看有关Prestige 抗体和HPA的方案和其他实用信息,请访问 sigma.com/prestige
由Atlas Antibodies提供技术支持的所有Prestige Antibodies抗体均由人类蛋白质图集(HPA)项目开发和验证,因此受到业内最广泛的表征支持。

人类蛋白质图集项目可以分为三大部分: 人体组织图谱、癌症图谱和人类细胞图谱。在组织和癌症图谱项目支持下产生的抗体已通过对数百种正常和疾病组织的免疫组织化学分析得到了验证,并且通过近期人类细胞图谱项目的努力,许多抗体已经过免疫荧光分析的表征,从而绘制人类蛋白质组图谱,不仅是在组织水平上,现在已经达到亚细胞水平。在人类蛋白质图集项目网站上单击图像库链接,可以查看这些图像和庞大的数据集。我们还提供Prestige Antibodies® 抗体的实验方案和其他有用信息。

Biochem/physiol Actions

MMP2(基质金属蛋白酶2)参与裂解三螺旋I型和IV型胶原以及变性胶原的降解。血清或成纤维细胞中MMP2酶活性的突变导致多中心性骨质溶解和关节炎综合征。

Features and Benefits

Prestige Antibodies®是经过高度表征和广泛验证的抗体,同时还有一个优点是其每个靶标的所有可用表征数据都可以通过位于此页面顶部产品名称下方的人类蛋白质图谱门户进行访问。Prestige Antibodies®对其他蛋白质的独特性和低交叉反应性是通过严密的抗原区域选择、亲和纯化和严格的选择来实现的。每种Prestige 抗体都有相应的Prestige 抗原对照品,可在链接部分找到。

每种Prestige 抗体的检测方法如下:
  • 44种正常人体组织和20种最常见癌症组织的IHC组织阵列。
  • 364个人重组蛋白片段的蛋白阵列。

Physical form

溶于磷酸盐缓冲生理盐水(pH 7.2),含有40%甘油和0.02%叠氮化钠的溶液

Other Notes

相应抗原APREST83038

Legal Information

Prestige Antibodies is a registered trademark of Merck KGaA, Darmstadt, Germany

Disclaimer

除非我们的产品目录或产品附带的其他公司文档另有说明,否则我们的产品仅供研究使用,不得用于任何其他目的,包括但不限于未经授权的商业用途、体外诊断用途、离体或体内治疗用途或任何类型的消费或应用于人类或动物。


Still not finding the right product?

Explore all of our products under 抗-MMP2 兔抗

或者

试用我们的 产品选型工具 工具缩小选择范围


存储类别

10 - Combustible liquids

wgk

WGK 1

flash_point_f

Not applicable

flash_point_c

Not applicable

ppe

Eyeshields, Gloves, multi-purpose combination respirator cartridge (US)

法规信息

常规特殊物品
低风险生物材料

此项目有



历史批次信息供参考:

分析证书(COA)

Lot/Batch Number

没有发现合适的版本?

如果您需要特殊版本,可通过批号或批次号查找具体证书。

已有该产品?

在文件库中查找您最近购买产品的文档。

访问文档库


相关内容

抗体的质量决定了整个免疫检测的成败, 是在选择抗体时首选的考虑因素。基于Sigma®、Chemicon®、Upstate®、Mil l ipore®、 Calbiochem®和Novagen®等子品牌的强强联合,默克在创新的 免疫原设计、免疫、挑选、筛选和验证等方面有着数十年的经验, 创造出许多被广泛使用的抗体,如4G10,Neun,组蛋白修饰等抗 体都是相关领域的“金标”抗体。 我们的技术和科研背景使默克成为高质量抗体的主要设计者和生产 者,而不仅仅是经销商。毋庸置疑,我们的每个小瓶中的抗体都包 含着大量的科学研究成果。

Prestige Antibodies Immunofluorescence Procedure


Pawel-Krzysztof Burduk et al.
Iranian journal of otorhinolaryngology, 31(104), 153-161 (2019-06-22)
Metalloproteinases and their tissue inhibitors play an important role in the metastases formation. A multistage process of carcinogenesis requires the involvement of numerous enzymes and compounds that facilitate the expansion of tumor cells. The formation of metastases depends on both
Matrix metalloproteinase-2 and-9 expression in the epiligament of the medial collateral and anterior cruciate ligament in human knees: a comparative study
Georgiev G P, et al.
Cureus, 10(11), 17-26 (2018)
Yu-Guang Shen et al.
Oncology letters, 13(3), 1119-1124 (2017-04-30)
Esophageal carcinoma is one of the most common malignancies in China. Previous studies reported that matrix metalloproteinases (MMPs) have important roles in the progression and invasion of numerous types of solid tumors. Among the MMPs, MMP-2 has been closely associated



全球贸易项目编号

货号GTIN
HPA001939-25UL04061842780587
HPA001939-100UL04061837133534