跳转至内容
Merck
CN

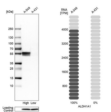
HPA002123

Anti-ALDH1A1 antibody produced in rabbit

Prestige Antibodies® Powered by Atlas Antibodies, affinity isolated antibody, buffered aqueous glycerol solution

别名:

Anti-ALDH-E1, Anti-ALHDII, Anti-Aldehyde dehydrogenase family 1 member A1, Anti-Aldehyde dehydrogenase, cytosolic, Anti-RALDH 1, Anti-RalDH1, Anti-Retinal dehydrogenase 1

登录 查看组织和合同定价。

选择尺寸

变更视图

关于此项目

UNSPSC Code:
12352203
NACRES:
NA.41
Human Protein Atlas Number:
Conjugate:
unconjugated
Clone:
polyclonal
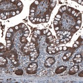
Application:
IF, IHC
Citations:
14
技术服务
需要帮助?我们经验丰富的科学家团队随时乐意为您服务。
让我们为您提供帮助


biological source

rabbit

Quality Level

conjugate

unconjugated

antibody form

affinity isolated antibody

antibody product type

primary antibodies

clone

polyclonal

product line

Prestige Antibodies® Powered by Atlas Antibodies

form

buffered aqueous glycerol solution

species reactivity

human

enhanced validation

orthogonal RNAseq
Learn more about Antibody Enhanced Validation

technique(s)

immunoblotting: 0.04-0.4 μg/mL, immunofluorescence: 0.25-2 μg/mL, immunohistochemistry: 1:2500-1:5000

immunogen sequence

IYDEFVRRSVERAKKYILGNPLTPGVTQGPQIDKEQYDKILDLIESGKKEGAKLECGGGPWGNKGYFVQPTVFSNVTDEMRIAKEEIFGPVQQIMKFKSLDDVIKRANNTFYGL

UniProt accession no.

application(s)

research pathology

shipped in

wet ice

storage temp.

−20°C

target post-translational modification

unmodified

Gene Information

human ... ALDH1A1(216)

Immunogen

Retinal dehydrogenase 1 recombinant protein epitope signature tag (PrEST)

Application

Anti-ALDH1A1 antibody produced in rabbit, a Prestige Antibody, is developed and validated by the Human Protein Atlas (HPA) project . Each antibody is tested by immunohistochemistry against hundreds of normal and disease tissues. These images can be viewed on the Human Protein Atlas (HPA) site by clicking on the Image Gallery link. The antibodies are also tested using immunofluorescence and western blotting. To view these protocols and other useful information about Prestige Antibodies and the HPA, visit sigma.com/prestige.

Biochem/physiol Actions

Aldehyde dehydrogenase 1 family member A1 (ALDH1A1) belongs to the aldehyde dehydrogenase family. It plays a crucial role in ethanol metabolism in human. In addition to ethanol detoxification, it also has high impact on the metabolism of neurotransmitters and retinoic acid synthesis. It catalyzes the oxidation of endogenous and exogenous aldehydes depending on NAD(P)(+).

Features and Benefits

Prestige Antibodies® are highly characterized and extensively validated antibodies with the added benefit of all available characterization data for each target being accessible via the Human Protein Atlas portal linked just below the product name at the top of this page. The uniqueness and low cross-reactivity of the Prestige Antibodies® to other proteins are due to a thorough selection of antigen regions, affinity purification, and stringent selection. Prestige antigen controls are available for every corresponding Prestige Antibody and can be found in the linkage section.

Every Prestige Antibody is tested in the following ways:
  • IHC tissue array of 44 normal human tissues and 20 of the most common cancer type tissues.
  • Protein array of 364 human recombinant protein fragments.

Physical form

Solution in phosphate-buffered saline, pH 7.2, containing 40% glycerol and 0.02% sodium azide

Other Notes

Corresponding Antigen APREST86228

Legal Information

Prestige Antibodies is a registered trademark of Merck KGaA, Darmstadt, Germany

Disclaimer

Unless otherwise stated in our catalog or other company documentation accompanying the product(s), our products are intended for research use only and are not to be used for any other purpose, which includes but is not limited to, unauthorized commercial uses, in vitro diagnostic uses, ex vivo or in vivo therapeutic uses or any type of consumption or application to humans or animals.


Still not finding the right product?

Explore all of our products under

或者

试用我们的 产品选型工具 工具缩小选择范围


存储类别

10 - Combustible liquids

wgk

WGK 1

flash_point_f

Not applicable

flash_point_c

Not applicable

ppe

Eyeshields, Gloves, multi-purpose combination respirator cartridge (US)

法规信息

低风险生物材料
常规特殊物品

此项目有



历史批次信息供参考:

分析证书(COA)

Lot/Batch Number

没有发现合适的版本?

如果您需要特殊版本,可通过批号或批次号查找具体证书。

已有该产品?

在文件库中查找您最近购买产品的文档。

访问文档库


商品

AldeRed™ 588-A detects ALDH activity in cancer stem cells, aiding in cancer research.


S J Yin et al.
Gastroenterology, 112(3), 766-775 (1997-03-01)
Alcohol dehydrogenase (ADH) and aldehyde dehydrogenase (ALDH) are the major enzymes responsible for ethanol metabolism in humans. The human stomach has been documented to be involved in the metabolism of first-passed alcohol. The aim of this study was to determine
Akos Z Szabo et al.
Stem cells (Dayton, Ohio), 31(4), 786-799 (2013-01-22)
Like for other somatic tissues, isolation of a pure population of stem cells has been a primary goal in epidermal biology. We isolated discrete populations of freshly obtained human neonatal keratinocytes (HNKs) using previously untested candidate stem cell markers aldehyde
N A Sophos et al.
Chemico-biological interactions, 130-132(1-3), 323-337 (2001-04-18)
Aldehyde dehydrogenase (ALDH) superfamily represents a group of NAD(P)(+)-dependent enzymes that catalyze the oxidation of a wide spectrum of endogenous and exogenous aldehydes. With the advent of megabase genome sequencing, the ALDH superfamily is expanding rapidly on many fronts. As



全球贸易项目编号

货号GTIN
HPA002123-100UL04061837133671
HPA002123-25UL04061842780907