产品名称
Anti-RAF1 antibody produced in rabbit, Prestige Antibodies® Powered by Atlas Antibodies, affinity isolated antibody, buffered aqueous glycerol solution
biological source
rabbit
Quality Level
conjugate
unconjugated
antibody form
affinity isolated antibody
antibody product type
primary antibodies
clone
polyclonal
product line
Prestige Antibodies® Powered by Atlas Antibodies
form
buffered aqueous glycerol solution
species reactivity
human
technique(s)
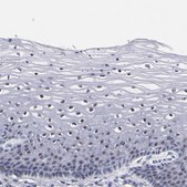
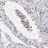
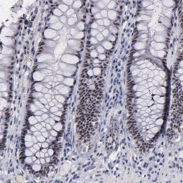
immunofluorescence: 0.25-2 μg/mL, immunohistochemistry: 1:50-1:200
immunogen sequence
FRCQTCGYKFHEHCSTKVPTMCVDWSNIRQLLLFPNSTIGDSGVPALPSLTMRRMRESVSRMPVSSQHRYSTPHAFTFNTSSPSSEGSLSQRQRSTSTPNVHMVSTTLPVDSRMIEDAIRSHSESASPSALSSSPNNLSPTGWSQ
UniProt accession no.
shipped in
wet ice
storage temp.
−20°C
target post-translational modification
unmodified
Gene Information
human ... RAF1(5894)
Immunogen
Raf-1 proto-oncogene, serine/threonine kinase
Application
All Prestige Antibodies Powered by Atlas Antibodies are developed and validated by the Human Protein Atlas (HPA) project and as a result, are supported by the most extensive characterization in the industry.
The Human Protein Atlas project can be subdivided into three efforts: Human Tissue Atlas, Cancer Atlas, and Human Cell Atlas. The antibodies that have been generated in support of the Tissue and Cancer Atlas projects have been tested by immunohistochemistry against hundreds of normal and disease tissues and through the recent efforts of the Human Cell Atlas project, many have been characterized by immunofluorescence to map the human proteome not only at the tissue level but now at the subcellular level. These images and the collection of this vast data set can be viewed on the Human Protein Atlas (HPA) site by clicking on the Image Gallery link. We also provide Prestige Antibodies® protocols and other useful information.
The Human Protein Atlas project can be subdivided into three efforts: Human Tissue Atlas, Cancer Atlas, and Human Cell Atlas. The antibodies that have been generated in support of the Tissue and Cancer Atlas projects have been tested by immunohistochemistry against hundreds of normal and disease tissues and through the recent efforts of the Human Cell Atlas project, many have been characterized by immunofluorescence to map the human proteome not only at the tissue level but now at the subcellular level. These images and the collection of this vast data set can be viewed on the Human Protein Atlas (HPA) site by clicking on the Image Gallery link. We also provide Prestige Antibodies® protocols and other useful information.
Biochem/physiol Actions
RAF1 (Raf-1 proto-oncogene, serine/threonine kinase) is activated by the Ras-dependent recruitment to the plasma membrane and RAS-independent mechanisms within the cytosol. It is phosphorylated at serine 338, serine 621 and tyrosine 341 residues. It was concluded that homo or hetero-dimerization plays a crucial role in RAF1 activation. RAF1 acts as a microRNAs (miR-7-5p) target gene. RAF1 is associated with tumor development and progression. It actively participates in regulation of glioblastoma (GBM) microvascular endothelial cell proliferation. It is overexpressed in solid tumors including non-small cell lung cancer (NSCLC). It was reported that RAF1 acts as an independent prognostic biomarker for NSCLC.
Features and Benefits
Prestige Antibodies® are highly characterized and extensively validated antibodies with the added benefit of all available characterization data for each target being accessible via the Human Protein Atlas portal linked just below the product name at the top of this page. The uniqueness and low cross-reactivity of the Prestige Antibodies® to other proteins are due to a thorough selection of antigen regions, affinity purification, and stringent selection. Prestige antigen controls are available for every corresponding Prestige Antibody and can be found in the linkage section.
Every Prestige Antibody is tested in the following ways:
Every Prestige Antibody is tested in the following ways:
- IHC tissue array of 44 normal human tissues and 20 of the most common cancer type tissues.
- Protein array of 364 human recombinant protein fragments.
Physical form
Solution in phosphate-buffered saline, pH 7.2, containing 40% glycerol and 0.02% sodium azide
Other Notes
Corresponding Antigen APREST86427
Legal Information
Prestige Antibodies is a registered trademark of Merck KGaA, Darmstadt, Germany
Disclaimer
Unless otherwise stated in our catalog or other company documentation accompanying the product(s), our products are intended for research use only and are not to be used for any other purpose, which includes but is not limited to, unauthorized commercial uses, in vitro diagnostic uses, ex vivo or in vivo therapeutic uses or any type of consumption or application to humans or animals.
存储类别
10 - Combustible liquids
wgk
WGK 1
flash_point_f
Not applicable
flash_point_c
Not applicable
ppe
Eyeshields, Gloves, multi-purpose combination respirator cartridge (US)
法规信息
新产品
此项目有
Rajee Antony et al.
Cancer research, 73(15), 4840-4851 (2013-06-06)
Melanomas that contain B-RAF(V600E) mutations respond transiently to RAF and MEK inhibitors; however, resistance to these agents remains a formidable challenge. Although B- or C-RAF dysregulation represents prominent resistance mechanisms, resistance-associated point mutations in RAF oncoproteins are surprisingly rare. To
Zhiguo Liu et al.
Tumour biology : the journal of the International Society for Oncodevelopmental Biology and Medicine, 35(10), 10177-10184 (2014-07-17)
The aberrant expression of microRNAs (miRNAs) is always associated with tumor development and progression. Microvascular proliferation is one of the unique pathologic features of glioblastoma (GBM) . In this study, the microvasculature from GBM or normal brain tissue derived from
Zhi-Xin Qiu et al.
Cancer science, 103(10), 1774-1779 (2012-06-29)
Overexpression of Raf-1 has commonly been observed in solid tumors including non-small cell lung cancer (NSCLC). The objective of this study was to investigate whether overexpression of Raf-1, phosphorylated-Raf-1 (p-Raf-1) or both correlates with poor survival rate in NSCLC patients
全球贸易项目编号
| 货号 | GTIN |
|---|---|
| HPA002640-100UL | 04061836319441 |
| HPA002640-25UL | 04061841201229 |