跳转至内容
Merck
CN

HPA002643

抗-CASP3 兔抗

Prestige Antibodies® Powered by Atlas Antibodies, affinity isolated antibody, buffered aqueous glycerol solution

别名:

抗-CASP-3, 抗-CPP-32, 抗-SCA-1, 抗-SREBP裂解活性1, 抗-Yama蛋白, 抗-凋亡酶, 抗-半胱氨酸蛋白酶CPP32, 抗-胱天蛋白酶3前体

登录 查看组织和合同定价。

选择尺寸

变更视图

关于此项目

UNSPSC Code:
12352203
NACRES:
NA.41
MDL number:
Human Protein Atlas Number:
Conjugate:
unconjugated
Clone:
polyclonal
Application:
IF, IHC
Citations:
101
技术服务
需要帮助?我们经验丰富的科学家团队随时乐意为您服务。
让我们为您提供帮助


biological source

rabbit

Quality Level

conjugate

unconjugated

antibody form

affinity isolated antibody

antibody product type

primary antibodies

clone

polyclonal

product line

Prestige Antibodies® Powered by Atlas Antibodies

form

buffered aqueous glycerol solution

species reactivity

human

enhanced validation

orthogonal RNAseq
Learn more about Antibody Enhanced Validation

technique(s)

immunoblotting: 0.04-0.4 μg/mL, immunofluorescence: 0.25-2 μg/mL, immunohistochemistry: 1:1000-1:2500

immunogen sequence

HGSESMDSGISLDNSYKMDYPEMGLCIIINNKNFHKSTGMTSRSGTDVDAANLRETFRNLKYEVRNKNDLTREEIVELMRDVSKEDHSKRSSFVCVLLSHGEEGIIFGTNGPVDL

UniProt accession no.

shipped in

wet ice

storage temp.

−20°C

target post-translational modification

unmodified

Gene Information

human ... CASP3(836)

General description

CASP3(胱天蛋白酶3),属于异构调节蛋白,是半胱氨酸-天冬氨酸蛋白酶(胱天蛋白酶)家族成员,参与炎症和哺乳动物细胞凋亡。含小分子和肽结合位点。

Immunogen

胱天蛋白酶-3前体重组蛋白抗原表位标签(PrEST)

Application

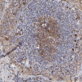
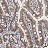
兔抗胱天蛋白酶3(CASP3)抗体,属Prestige Antibody抗体,由人类蛋白质图谱(HPA)计划开发验证。每种抗体都通过针对数百种正常和疾病组织的免疫组织化学进行测试。通过单击图像库链接,可以在人类蛋白质图谱(HPA)站点上查看这些图像。还采用免疫荧光和蛋白质印迹法对抗体进行检测。想要查看有关Prestige 抗体和HPA的方案和其他实用信息,请访问 sigma.com/prestige

Biochem/physiol Actions

CASP3(胱天蛋白酶3)可影响经细胞毒性治疗的黑色素瘤生长。它在细胞凋亡的执行阶段对周围细胞的增殖有重要作用。胱天蛋白酶通常以无活性酶原形式合成并定位。随后经蛋白水解级联反应加工激活。激活后,形成两个独立的亚基,进一步二聚化形成活性酶。胱天蛋白酶3可由活性氧(ROS)积累、线粒体功能障碍和腺苷三磷酸(ATP)水平降低而触发激活。CASP3基因的改变与阿尔茨海默病的神经元死亡有关。

Features and Benefits

Prestige Antibodies®是经过高度表征和广泛验证的抗体,同时还有一个优点是其每个靶标的所有可用表征数据都可以通过位于此页面顶部产品名称下方的人类蛋白质图谱门户进行访问。Prestige Antibodies®对其他蛋白质的独特性和低交叉反应性是通过严密的抗原区域选择、亲和纯化和严格的选择来实现的。每种Prestige 抗体都有相应的Prestige 抗原对照品,可在链接部分找到。

每种Prestige 抗体的检测方法如下:
  • 44种正常人体组织和20种最常见癌症组织的IHC组织阵列。
  • 364个人重组蛋白片段的蛋白阵列。

Physical form

磷酸盐缓冲盐水溶液,pH 7.2,含有40%甘油和0.02%叠氮化钠

Other Notes

对应抗原APREST86566

Legal Information

Prestige Antibodies is a registered trademark of Merck KGaA, Darmstadt, Germany

Disclaimer

除非我们的产品目录或产品附带的其他公司文档另有说明,否则我们的产品仅供研究使用,不得用于任何其他目的,包括但不限于未经授权的商业用途、体外诊断用途、离体或体内治疗用途或任何类型的消费或应用于人类或动物。


Still not finding the right product?

Explore all of our products under 抗-CASP3 兔抗

或者

试用我们的 产品选型工具 工具缩小选择范围


存储类别

10 - Combustible liquids

wgk

WGK 1

flash_point_f

Not applicable

flash_point_c

Not applicable

ppe

Eyeshields, Gloves, multi-purpose combination respirator cartridge (US)

法规信息

常规特殊物品
低风险生物材料
常规特殊物品

此项目有



历史批次信息供参考:

分析证书(COA)

Lot/Batch Number

没有发现合适的版本?

如果您需要特殊版本,可通过批号或批次号查找具体证书。

已有该产品?

在文件库中查找您最近购买产品的文档。

访问文档库


相关内容

Prestige Antibodies Immunofluorescence Procedure


Baptiste Libé-Philippot et al.
Proceedings of the National Academy of Sciences of the United States of America, 114(30), 7765-7774 (2017-07-15)
Many genetic forms of congenital deafness affect the sound reception antenna of cochlear sensory cells, the hair bundle. The resulting sensory deprivation jeopardizes auditory cortex (AC) maturation. Early prosthetic intervention should revive this process. Nevertheless, this view assumes that no
Anne L Donato et al.
The Journal of investigative dermatology, 134(6), 1686-1692 (2014-01-18)
Metastatic melanoma often relapses despite cytotoxic treatment, and hence the understanding of melanoma tumor repopulation is crucial for improving our current therapies. In this study, we aim to define the role of caspase 3 in melanoma tumor growth after cytotoxic
Connexin 43 and Its Hemichannels Mediate Hypoxia?Ischemia-Induced Cell Death in Neonatal Rats
Wang, J
Journal of Child Neurology, 1(1), 1-9 (2014)



全球贸易项目编号

货号GTIN
HPA002643-25UL04061842781546
HPA002643-100UL04061833814468