跳转至内容
Merck
CN

HPA003184

Anti-MED12 antibody produced in rabbit

Ab1, Prestige Antibodies® Powered by Atlas Antibodies, affinity isolated antibody, buffered aqueous glycerol solution

别名:

Anti-ARC240 antibody produced in rabbit, Anti-Activator-recruited cofactor 240 kDa component antibody produced in rabbit, Anti-CAG repeat protein 45 antibody produced in rabbit, Anti-Mediator of RNA polymerase II transcription subunit 12 antibody produced in rabbit, Anti-OPA-containing protein antibody produced in rabbit, Anti-Thyroid hormone receptor-associated protein complex 230 kDa component antibody produced in rabbit, Anti-Trap230 antibody produced in rabbit

登录 查看组织和合同定价。

选择尺寸

变更视图

关于此项目

UNSPSC Code:
12352203
NACRES:
NA.41
Human Protein Atlas Number:
Conjugate:
unconjugated
Clone:
polyclonal
Application:
IHC
Citations:
7
技术服务
需要帮助?我们经验丰富的科学家团队随时乐意为您服务。
让我们为您提供帮助


biological source

rabbit

Quality Level

conjugate

unconjugated

antibody form

affinity isolated antibody

antibody product type

primary antibodies

clone

polyclonal

product line

Prestige Antibodies® Powered by Atlas Antibodies

form

buffered aqueous glycerol solution

species reactivity

human

enhanced validation

independent
Learn more about Antibody Enhanced Validation

technique(s)

immunohistochemistry: 1:20- 1:50

immunogen sequence

RLLLYHTHLRPRPRAYYLEPLPLPPEDEEPPAPTLLEPEKKAPEPPKTDKPGAAPPSTEERKKKSTKGKKRSQPATKTEDYGMGPGRSGPYGVTVPPDLLHHPNPGSITHLNYRQGSIGLYTQNQ

UniProt accession no.

shipped in

wet ice

storage temp.

−20°C

target post-translational modification

unmodified

Gene Information

human ... MED12(9968)

Immunogen

Mediator of RNA polymerase II transcription subunit 12 recombinant protein epitope signature tag (PrEST)

Application

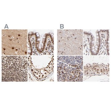
Anti-MED12 antibody produced in rabbit, a Prestige Antibody, is developed and validated by the Human Protein Atlas (HPA) project . Each antibody is tested by immunohistochemistry against hundreds of normal and disease tissues. These images can be viewed on the Human Protein Atlas (HPA) site by clicking on the Image Gallery link. The antibodies are also tested using immunofluorescence and western blotting. To view these protocols and other useful information about Prestige Antibodies and the HPA, visit sigma.com/prestige.

Biochem/physiol Actions

MED12 (mediator complex subunit 12) gene encodes a component of the multiprotein complex ARC/Mediator complex and functions as a coactivator in the regulated transcription of most RNA polymerase II-dependent genes. It is involved in the regulation of transcription of genes that are activated by Wnt signaling pathway. It recruits transcription factor IIB during preinitiation complex assembly and promotes basal transcription. It is involved in the regulation of Gli3-dependent sonic hedgehog signaling processes. Mutations in this gene have been observed in benign and malignant uterine leiomyomas.

Features and Benefits

Prestige Antibodies® are highly characterized and extensively validated antibodies with the added benefit of all available characterization data for each target being accessible via the Human Protein Atlas portal linked just below the product name at the top of this page. The uniqueness and low cross-reactivity of the Prestige Antibodies® to other proteins are due to a thorough selection of antigen regions, affinity purification, and stringent selection. Prestige antigen controls are available for every corresponding Prestige Antibody and can be found in the linkage section.

Every Prestige Antibody is tested in the following ways:
  • IHC tissue array of 44 normal human tissues and 20 of the most common cancer type tissues.
  • Protein array of 364 human recombinant protein fragments.

Physical form

Solution in phosphate-buffered saline, pH 7.2, containing 40% glycerol and 0.02% sodium azide

Other Notes

Corresponding Antigen APREST74445

Legal Information

Prestige Antibodies is a registered trademark of Merck KGaA, Darmstadt, Germany

Disclaimer

Unless otherwise stated in our catalog or other company documentation accompanying the product(s), our products are intended for research use only and are not to be used for any other purpose, which includes but is not limited to, unauthorized commercial uses, in vitro diagnostic uses, ex vivo or in vivo therapeutic uses or any type of consumption or application to humans or animals.


Still not finding the right product?

Explore all of our products under

或者

试用我们的 产品选型工具 工具缩小选择范围


存储类别

10 - Combustible liquids

wgk

WGK 1

flash_point_f

Not applicable

flash_point_c

Not applicable

ppe

Eyeshields, Gloves, multi-purpose combination respirator cartridge (US)

法规信息

常规特殊物品
低风险生物材料

此项目有



历史批次信息供参考:

分析证书(COA)

Lot/Batch Number

没有发现合适的版本?

如果您需要特殊版本,可通过批号或批次号查找具体证书。

已有该产品?

在文件库中查找您最近购买产品的文档。

访问文档库


相关内容

Prestige Antibodies Immunofluorescence Procedure


Vanida A Serna et al.
Endocrine-related cancer, 25(7), 747-759 (2018-04-28)
Cellular mechanisms of uterine leiomyoma (LM) formation have been studied primarily utilizing in vitro models. However, recent studies established that the cells growing in the primary cultures of MED12-mutant LM (MED12-LM) do not carry causal mutations. To improve the accuracy
Xin Wu et al.
Cancer research, 77(24), 6891-6901 (2017-10-22)
Recent genomic studies have identified subtypes of uterine leiomyoma (LM) with distinctive genetic alterations. Here, we report the elucidation of the biological characteristics of the two most prevalent uterine leiomyoma subtypes, MED12-mutant (MED12-LM) and HMGA2-overexpressing (HMGA2-LM) uterine leiomyomas. Because each
Gaëlle Pérot et al.
PloS one, 7(6), e40015-e40015 (2012-07-07)
The relationship between benign uterine leiomyomas and their malignant counterparts, i.e. leiomyosarcomas and smooth muscle tumors of uncertain malignant potential (STUMP), is still poorly understood. The idea that a leiomyosarcoma could derive from a leiomyoma is still controversial. Recently MED12



全球贸易项目编号

货号GTIN
HPA003184-25UL04061842812981
HPA003184-100UL04061837123436