biological source
rabbit
Quality Level
conjugate
unconjugated
antibody form
affinity isolated antibody
antibody product type
primary antibodies
clone
polyclonal
product line
Prestige Antibodies® Powered by Atlas Antibodies
form
buffered aqueous glycerol solution
species reactivity
human
technique(s)
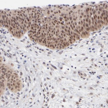
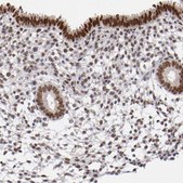
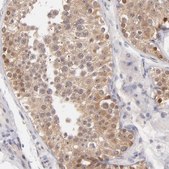
immunohistochemistry: 1:50- 1:200
immunogen sequence
SSDRQRSDDESPSTSSGSSDADQRDPAAPEPEEQEERKPSATQQKKNTKLSSKTTAKLSTSAKRIQKELAEITLDPPPNCSAGPKGDNIYEWRSTILGPPGSVYEGGVFFLDITFSSDYPFKPPKVTFRTRIYHCNINSQGV
UniProt accession no.
shipped in
wet ice
storage temp.
−20°C
target post-translational modification
unmodified
Gene Information
human ... UBE2E3(10477)
Immunogen
Ubiquitin-conjugating enzyme E2 E3 recombinant protein epitope signature tag (PrEST)
Application
All Prestige Antibodies Powered by Atlas Antibodies are developed and validated by the Human Protein Atlas (HPA) project and as a result, are supported by the most extensive characterization in the industry.
The Human Protein Atlas project can be subdivided into three efforts: Human Tissue Atlas, Cancer Atlas, and Human Cell Atlas. The antibodies that have been generated in support of the Tissue and Cancer Atlas projects have been tested by immunohistochemistry against hundreds of normal and disease tissues and through the recent efforts of the Human Cell Atlas project, many have been characterized by immunofluorescence to map the human proteome not only at the tissue level but now at the subcellular level. These images and the collection of this vast data set can be viewed on the Human Protein Atlas (HPA) site by clicking on the Image Gallery link. We also provide Prestige Antibodies® protocols and other useful information.
The Human Protein Atlas project can be subdivided into three efforts: Human Tissue Atlas, Cancer Atlas, and Human Cell Atlas. The antibodies that have been generated in support of the Tissue and Cancer Atlas projects have been tested by immunohistochemistry against hundreds of normal and disease tissues and through the recent efforts of the Human Cell Atlas project, many have been characterized by immunofluorescence to map the human proteome not only at the tissue level but now at the subcellular level. These images and the collection of this vast data set can be viewed on the Human Protein Atlas (HPA) site by clicking on the Image Gallery link. We also provide Prestige Antibodies® protocols and other useful information.
Biochem/physiol Actions
UBE2E3 (ubiquitin-conjugating enzyme E2E 3) gene is mapped to human chromosome 2q32.1 and encodes a human class III ubiquitin-conjugating enzyme (E2s). It interacts with Nedd4-2, an E3 enzyme, to regulate the epithelial Na+ channel (ENaC) that functions in the maintenance of Na+ homeostasis and blood pressure. Overexpression of this protein affects Na+ transport. It functions in modulating the balance between proliferation and differentiation of retinal pigment epithelial cells.
Features and Benefits
Prestige Antibodies® are highly characterized and extensively validated antibodies with the added benefit of all available characterization data for each target being accessible via the Human Protein Atlas portal linked just below the product name at the top of this page. The uniqueness and low cross-reactivity of the Prestige Antibodies® to other proteins are due to a thorough selection of antigen regions, affinity purification, and stringent selection. Prestige antigen controls are available for every corresponding Prestige Antibody and can be found in the linkage section.
Every Prestige Antibody is tested in the following ways:
Every Prestige Antibody is tested in the following ways:
- IHC tissue array of 44 normal human tissues and 20 of the most common cancer type tissues.
- Protein array of 364 human recombinant protein fragments.
Physical form
Solution in phosphate-buffered saline, pH 7.2, containing 40% glycerol and 0.02% sodium azide
Other Notes
Corresponding Antigen APREST86455
Legal Information
Prestige Antibodies is a registered trademark of Merck KGaA, Darmstadt, Germany
Still not finding the right product?
试用我们的 产品选型工具 工具缩小选择范围
存储类别
10 - Combustible liquids
wgk
WGK 1
flash_point_f
Not applicable
flash_point_c
Not applicable
ppe
Eyeshields, Gloves, multi-purpose combination respirator cartridge (US)
法规信息
新产品
此项目有
K Ito et al.
Cytogenetics and cell genetics, 84(1-2), 99-104 (1999-05-27)
A cDNA encoding a third member of human class III ubiquitin-conjugating enzymes (E2s), UBE2E3, was cloned from a human gastric adenocarcinoma cDNA library. The deduced 207-amino acid protein shares over 94% amino acid identity with the UBC domains of class
Christophe Debonneville et al.
Molecular and cellular biology, 24(6), 2397-2409 (2004-03-03)
The epithelial Na+ channel (ENaC) is a heteromeric protein complex playing a fundamental role in Na+ homeostasis and blood pressure regulation. Specific mutations inactivating PY motifs in ENaC C termini cause Liddle's syndrome, an inherited form of hypertension. Previously we
Kendra S Plafker et al.
Investigative ophthalmology & visual science, 49(12), 5611-5618 (2008-07-11)
Cell cycle progression is governed by the coordinated activities of kinases, phosphatases, and the ubiquitin system. The entire complement of ubiquitin pathway components that mediate this process in retinal pigment epithelial (RPE) cells remains to be identified. This study was
全球贸易项目编号
| 货号 | GTIN |
|---|---|
| HPA003303-100UL | 04061835668656 |
| HPA003303-25UL | 04061841687306 |