biological source
rabbit
Quality Level
conjugate
unconjugated
antibody form
affinity isolated antibody
antibody product type
primary antibodies
clone
polyclonal
product line
Prestige Antibodies® Powered by Atlas Antibodies
form
buffered aqueous glycerol solution
species reactivity
human
technique(s)
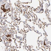
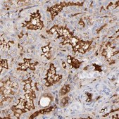
immunohistochemistry: 1:200- 1:500
immunogen sequence
QRYYGGGYGSTQATFMVFQALAQYQKDAPDHQELNLDVSLQLPSRSSKITHRIHWESASLLRSEETKENEGFTVTAEGKGQGTLSVVTMYHAKAKDQLTCNKFDLKVTIKPAPETEKRPQDAKNTMILEICTRYRGDQDATMS
UniProt accession no.
shipped in
wet ice
storage temp.
−20°C
target post-translational modification
unmodified
Gene Information
human ... C3(718)
General description
C3 (complement component 3) is the key component of the complement system. It is acted upon by C3 convertases, which produces the activated C3b. It is the predominant protein of the complement system, and is a member of the a2-macroglobulin protein family. It contains a reactive thioester bond, and α- and β-chains of 115 and 75kDa respectively. These together form 13 domains. These domains are divided into single linker (LNK), anaphylatoxin (ANA/C3a), C1r/C1s-UEGF-BMP1 (CUB), C345c, and thioester-containing domains (TED), and namely eight macroglobulin domains (MG1-MG8). The C3 gene is mapped to human chromosome 19p13.3.
Immunogen
Complement C3 precursor recombinant protein epitope signature tag (PrEST)
Application
All Prestige Antibodies Powered by Atlas Antibodies are developed and validated by the Human Protein Atlas (HPA) project and as a result, are supported by the most extensive characterization in the industry.
The Human Protein Atlas project can be subdivided into three efforts: Human Tissue Atlas, Cancer Atlas, and Human Cell Atlas. The antibodies that have been generated in support of the Tissue and Cancer Atlas projects have been tested by immunohistochemistry against hundreds of normal and disease tissues and through the recent efforts of the Human Cell Atlas project, many have been characterized by immunofluorescence to map the human proteome not only at the tissue level but now at the subcellular level. These images and the collection of this vast data set can be viewed on the Human Protein Atlas (HPA) site by clicking on the Image Gallery link. We also provide Prestige Antibodies® protocols and other useful information.
The Human Protein Atlas project can be subdivided into three efforts: Human Tissue Atlas, Cancer Atlas, and Human Cell Atlas. The antibodies that have been generated in support of the Tissue and Cancer Atlas projects have been tested by immunohistochemistry against hundreds of normal and disease tissues and through the recent efforts of the Human Cell Atlas project, many have been characterized by immunofluorescence to map the human proteome not only at the tissue level but now at the subcellular level. These images and the collection of this vast data set can be viewed on the Human Protein Atlas (HPA) site by clicking on the Image Gallery link. We also provide Prestige Antibodies® protocols and other useful information.
Anti-C3 antibody produced in rabbit has been used in antibody bead arrays to target C3 protein.
Biochem/physiol Actions
C3 (complement component 3) is the key component of the complement system. It is acted upon by C3 convertases, which produces anaphylatoxin C3a and the opsonin C3b. C3a is known to possess antifungal and antimicrobial activity and functions as a chemoattractant. It promotes inflammatory responses such as granule release, formation of oxygen radicals, initiates histamine release, smooth muscle contraction and induces vascular permeability. C3b stimulates opsonophagocytosis and is associated with the production of excess C3 convertases for C5 convertase generation. C3 might reduce the pathogenesis of rhodopsin mutations that leads to retinitis pigmentosa.
Complement component 3 is referred to as C3, ASP, C3a, C3b, AHUS5, ARMD9, CPAMD1 and HEL-S-62p. It is a key fluid-phase protein of the immune system. Complement activation of this gene results in the formation of multiple C3b plasma protein complexes in serum. It helps in recognizing and tags damaged plasma proteins for subsequent removal from the blood without triggering pro-inflammatory functions. The C3 serum levels are associated with ABI and angiographic parameters of atherosclerosis.
Features and Benefits
Prestige Antibodies® are highly characterized and extensively validated antibodies with the added benefit of all available characterization data for each target being accessible via the Human Protein Atlas portal linked just below the product name at the top of this page. The uniqueness and low cross-reactivity of the Prestige Antibodies® to other proteins are due to a thorough selection of antigen regions, affinity purification, and stringent selection. Prestige antigen controls are available for every corresponding Prestige Antibody and can be found in the linkage section.
Every Prestige Antibody is tested in the following ways:
Every Prestige Antibody is tested in the following ways:
- IHC tissue array of 44 normal human tissues and 20 of the most common cancer type tissues.
- Protein array of 364 human recombinant protein fragments.
Physical form
Solution in phosphate-buffered saline, pH 7.2, containing 40% glycerol and 0.02% sodium azide
Other Notes
Corresponding Antigen APREST78221
Legal Information
Prestige Antibodies is a registered trademark of Merck KGaA, Darmstadt, Germany
Disclaimer
Unless otherwise stated in our catalog or other company documentation accompanying the product(s), our products are intended for research use only and are not to be used for any other purpose, which includes but is not limited to, unauthorized commercial uses, in vitro diagnostic uses, ex vivo or in vivo therapeutic uses or any type of consumption or application to humans or animals.
存储类别
10 - Combustible liquids
wgk
WGK 1
flash_point_f
Not applicable
flash_point_c
Not applicable
ppe
Eyeshields, Gloves, multi-purpose combination respirator cartridge (US)
法规信息
常规特殊物品
低风险生物材料
此项目有
M Fehérvári et al.
International angiology : a journal of the International Union of Angiology, 33(1), 35-41 (2014-01-24)
Recent evidences show correlations between atherosclerosis and the serum level of third component of complement (C3). However, there is less data on the connection of C3 and the severity of atherosclerosis. The aim of our study was to evaluate the
The secreted Candida albicans protein Pra1 disrupts host defense by broadly targeting and blocking complement C3 and C3 activation fragments.
Luo S, et al.
Molecular Immunology, 93, 266-277 (2018)
Elizabeth Rodriguez et al.
The Journal of biological chemistry, 290(4), 2334-2350 (2014-12-10)
The solution structure of complement C3b is crucial for the understanding of complement activation and regulation. C3b is generated by the removal of C3a from C3. Hydrolysis of the C3 thioester produces C3u, an analog of C3b. C3b cleavage results
全球贸易项目编号
| 货号 | GTIN |
|---|---|
| HPA003563-25UL | 04061842720392 |
| HPA003563-100UL | 04061836297572 |