跳转至内容
Merck
CN

HPA004827

Anti-USP13 antibody produced in rabbit

Prestige Antibodies® Powered by Atlas Antibodies, affinity isolated antibody, buffered aqueous glycerol solution

别名:

Anti-Deubiquitinating enzyme 13 antibody produced in rabbit, Anti-ISOT-3 antibody produced in rabbit, Anti-Isopeptidase T-3 antibody produced in rabbit, Anti-Ubiquitin carboxyl-terminal hydrolase 13 antibody produced in rabbit, Anti-Ubiquitin thioesterase 13 antibody produced in rabbit, Anti-Ubiquitin-specific-processing protease 13 antibody produced in rabbit

登录 查看组织和合同定价。

选择尺寸

变更视图

关于此项目

UNSPSC Code:
12352203
NACRES:
NA.41
Human Protein Atlas Number:
Conjugate:
unconjugated
Clone:
polyclonal
Application:
IF, IHC
Citations:
8
技术服务
需要帮助?我们经验丰富的科学家团队随时乐意为您服务。
让我们为您提供帮助


biological source

rabbit

Quality Level

conjugate

unconjugated

antibody form

affinity isolated antibody

antibody product type

primary antibodies

clone

polyclonal

product line

Prestige Antibodies® Powered by Atlas Antibodies

form

buffered aqueous glycerol solution

species reactivity

human

technique(s)

immunofluorescence: 0.25-2 μg/mL, immunohistochemistry: 1:200-1:500

immunogen sequence

RKAVYFTGNMGAEVAFNWIIVHMEEPDFAEPLTMPGYGGAASAGASVFGASGLDNQPPEEIVAIITSMGFQRNQAIQALRATNNNLERALDWIFSHPEFEEDSDFVIEMENNANANIISEAKPEGPRVKDGSGTYELFAFISH

UniProt accession no.

shipped in

wet ice

storage temp.

−20°C

target post-translational modification

unmodified

Gene Information

human ... USP13(8975)

Immunogen

Ubiquitin carboxyl-terminal hydrolase 13 recombinant protein epitope signature tag (PrEST)

Application

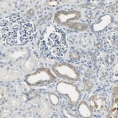
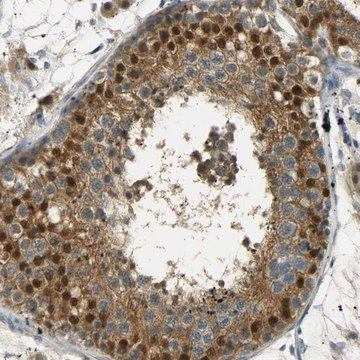
Anti-USP13 antibody produced in rabbit, a Prestige Antibody, is developed and validated by the Human Protein Atlas (HPA) project . Each antibody is tested by immunohistochemistry against hundreds of normal and disease tissues. These images can be viewed on the Human Protein Atlas (HPA) site by clicking on the Image Gallery link. The antibodies are also tested using immunofluorescence and western blotting. To view these protocols and other useful information about Prestige Antibodies and the HPA, visit sigma.com/prestige.

Biochem/physiol Actions

USP13 (Ubiquitin specific peptidase 13) is a deubiquitinating enzyme involved in the deubiquitination of microphthalmia-associated transcription factor (MITF). It is highly expressed in ovary, testes and lesser extent in other tissues. MITF is a key component of melanocyte development. USP13 generates stable and upregulated MITF protein through the deubiquitination pathway. Therefore, suppression of USP13 can cause dramatic loss of MITF protein. Studies have suggested that USP13 may have therapeutic aspects in melanoma cells. It has been reported that USP13 may play an important role in the JAK-STAT signaling pathway. It regulates type I and type II interferon signaling by deubiquitinating and stabilizing STAT1.

Features and Benefits

Prestige Antibodies® are highly characterized and extensively validated antibodies with the added benefit of all available characterization data for each target being accessible via the Human Protein Atlas portal linked just below the product name at the top of this page. The uniqueness and low cross-reactivity of the Prestige Antibodies® to other proteins are due to a thorough selection of antigen regions, affinity purification, and stringent selection. Prestige antigen controls are available for every corresponding Prestige Antibody and can be found in the linkage section.

Every Prestige Antibody is tested in the following ways:
  • IHC tissue array of 44 normal human tissues and 20 of the most common cancer type tissues.
  • Protein array of 364 human recombinant protein fragments.

Physical form

Solution in phosphate-buffered saline, pH 7.2, containing 40% glycerol and 0.02% sodium azide

Other Notes

Corresponding Antigen APREST86788

Legal Information

Prestige Antibodies is a registered trademark of Merck KGaA, Darmstadt, Germany

Disclaimer

Unless otherwise stated in our catalog or other company documentation accompanying the product(s), our products are intended for research use only and are not to be used for any other purpose, which includes but is not limited to, unauthorized commercial uses, in vitro diagnostic uses, ex vivo or in vivo therapeutic uses or any type of consumption or application to humans or animals.


Still not finding the right product?

Explore all of our products under

或者

试用我们的 产品选型工具 工具缩小选择范围


存储类别

10 - Combustible liquids

wgk

WGK 1

flash_point_f

Not applicable

flash_point_c

Not applicable

ppe

Eyeshields, Gloves, multi-purpose combination respirator cartridge (US)

法规信息

低风险生物材料
常规特殊物品

此项目有



历史批次信息供参考:

分析证书(COA)

Lot/Batch Number

没有发现合适的版本?

如果您需要特殊版本,可通过批号或批次号查找具体证书。

已有该产品?

在文件库中查找您最近购买产品的文档。

访问文档库



K M Timms et al.
Gene, 217(1-2), 101-106 (1998-12-05)
A novel Isopeptidase T gene (ISOT-3) has been identified on human mosome 3q26.2--q26.3. gene shows 67.3% nucleotide identity and 54.8% amino acid identity to n Isopeptidase (ISOT-1). Northern blot analysis has shown that ISOT-3 is highly essed in ovary and
Meifan Chen et al.
Proceedings of the National Academy of Sciences of the United States of America, 108(22), 9119-9124 (2011-05-17)
The ubiquitin-recognition protein Ufd1 facilitates clearance of misfolded proteins through the endoplasmic reticulum (ER)-associated degradation (ERAD) pathway. Here we report that prolonged ER stress represses Ufd1 expression to trigger cell cycle delay, which contributes to ERAD. Remarkably, down-regulation of Ufd1
Hom-Ming Yeh et al.
Journal of immunology (Baltimore, Md. : 1950), 191(6), 3328-3336 (2013-08-14)
The IFN immune system comprises type I, II, and III IFNs, signals through the JAK-STAT pathway, and plays central roles in host defense against viral infection. Posttranslational modifications such as ubiquitination regulate diverse molecules in the IFN pathway. To search



全球贸易项目编号

货号GTIN
HPA004827-25UL04061842768431
HPA004827-100UL04061837135460