跳转至内容
Merck
CN

HPA004902

Anti-CBX3 antibody produced in rabbit

Prestige Antibodies® Powered by Atlas Antibodies, affinity isolated antibody, buffered aqueous glycerol solution

别名:

Anti-Chromobox protein homolog 3, Anti-HECH, Anti-HP1 gamma, Anti-Heterochromatin protein 1 homolog gamma, Anti-Modifier 2 protein

登录 查看组织和合同定价。

选择尺寸

变更视图

关于此项目

UNSPSC Code:
12352203
NACRES:
NA.43
Human Protein Atlas Number:
Conjugate:
unconjugated
Clone:
polyclonal
Application:
IF, IHC
Citations:
3
技术服务
需要帮助?我们经验丰富的科学家团队随时乐意为您服务。
让我们为您提供帮助


biological source

rabbit

Quality Level

conjugate

unconjugated

antibody form

affinity isolated antibody

antibody product type

primary antibodies

clone

polyclonal

product line

Prestige Antibodies® Powered by Atlas Antibodies

form

buffered aqueous glycerol solution

species reactivity

human

enhanced validation

orthogonal RNAseq
Learn more about Antibody Enhanced Validation

technique(s)

immunoblotting: 0.04-0.4 μg/mL, immunofluorescence: 0.25-2 μg/mL, immunohistochemistry: 1:50-1:200

immunogen sequence

RVVNGKVEYFLKWKGFTDADNTWEPEENLDCPELIEAFLNSQKAGKEKDGTKRKSLSDSESDDSKSKKKRDAADKPRGFARGLDPERIIGATDSSGELMFLMKWKDSDEA

UniProt accession no.

shipped in

wet ice

storage temp.

−20°C

target post-translational modification

unmodified

Gene Information

human ... CBX3(11335)

General description

CBX3 (chromobox homolog 3), a heterchromatin protein, is a member of heterochromatin protein 1 family (HP1).

Immunogen

Chromobox protein homolog 3 recombinant protein epitope signature tag (PrEST)

Application

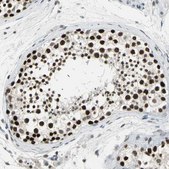
Anti-CBX3 antibody produced in rabbit, a Prestige Antibody, is developed and validated by the Human Protein Atlas (HPA) project . Each antibody is tested by immunohistochemistry against hundreds of normal and disease tissues. These images can be viewed on the Human Protein Atlas (HPA) site by clicking on the Image Gallery link. The antibodies are also tested using immunofluorescence and western blotting. To view these protocols and other useful information about Prestige Antibodies and the HPA, visit sigma.com/prestige.

Biochem/physiol Actions

CBX3 (chromobox homolog 3) is majorly responsible for transcriptional regulation (co-transcriptional RNA processing), formation and packaging of heterochromatin. It also participates in DNA repair, gene silencing (RNAi-mediated silencing) and telomeric function. Studies have suggested that CBX3 acts as a prognostic biomarker in cancer development. An elevated expression has been reported in the non-small cell lung cancer (NSCLC). It has also been reported that CBX3 plays a vital role in the chromatin-mediated repression of the HIV-1 gene.

Features and Benefits

Prestige Antibodies® are highly characterized and extensively validated antibodies with the added benefit of all available characterization data for each target being accessible via the Human Protein Atlas portal linked just below the product name at the top of this page. The uniqueness and low cross-reactivity of the Prestige Antibodies® to other proteins are due to a thorough selection of antigen regions, affinity purification, and stringent selection. Prestige antigen controls are available for every corresponding Prestige Antibody and can be found in the linkage section.

Every Prestige Antibody is tested in the following ways:
  • IHC tissue array of 44 normal human tissues and 20 of the most common cancer type tissues.
  • Protein array of 364 human recombinant protein fragments.

Physical form

Solution in phosphate-buffered saline, pH 7.2, containing 40% glycerol and 0.02% sodium azide

Other Notes

Corresponding Antigen APREST86943

Legal Information

Prestige Antibodies is a registered trademark of Merck KGaA, Darmstadt, Germany

Disclaimer

Unless otherwise stated in our catalog or other company documentation accompanying the product(s), our products are intended for research use only and are not to be used for any other purpose, which includes but is not limited to, unauthorized commercial uses, in vitro diagnostic uses, ex vivo or in vivo therapeutic uses or any type of consumption or application to humans or animals.


Still not finding the right product?

Explore all of our products under

或者

试用我们的 产品选型工具 工具缩小选择范围


存储类别

10 - Combustible liquids

wgk

WGK 1

flash_point_f

Not applicable

flash_point_c

Not applicable

ppe

Eyeshields, Gloves, multi-purpose combination respirator cartridge (US)

法规信息

常规特殊物品
低风险生物材料

此项目有



历史批次信息供参考:

分析证书(COA)

Lot/Batch Number

没有发现合适的版本?

如果您需要特殊版本,可通过批号或批次号查找具体证书。

已有该产品?

在文件库中查找您最近购买产品的文档。

访问文档库


相关内容

Prestige Antibodies Immunofluorescence Procedure


Ji Zhou et al.
Tumour biology : the journal of the International Society for Oncodevelopmental Biology and Medicine, 35(10), 9777-9785 (2014-07-02)
Heterochromatin protein 1γ (HP1γ), which binds to di- or trimethylated lysine 9 on histone H3 (H3K9), plays an important role in chromatin packaging and gene transcriptional regulation. Recently, HP1γ has been implicated in cancer development. However, its clinical relevance and
Lei Yan et al.
PloS one, 8(2), e55790-e55790 (2013-02-15)
Cancer cell metabolism responsive to androgen deprivation therapy (ADT) may be involved in the development and progression of prostate cancer and the ultimate failure of androgen-deprivation therapy. To investigate the metabolism regulation effects on androgen-independent growth of prostate cancer, an
Andrea Smallwood et al.
Genome research, 22(8), 1426-1436 (2012-06-12)
CBX5, CBX1, and CBX3 (HP1α, β, and γ, respectively) play an evolutionarily conserved role in the formation and maintenance of heterochromatin. In addition, CBX5, CBX1, and CBX3 may also participate in transcriptional regulation of genes. Recently, CBX3 binding to the



全球贸易项目编号

货号GTIN
HPA004902-100UL04061836309466
HPA004902-25UL04061842768677