跳转至内容
Merck
CN

HPA005633

Anti-GATA2 antibody produced in rabbit

Prestige Antibodies® Powered by Atlas Antibodies, affinity isolated antibody, buffered aqueous glycerol solution

别名:

Anti-Endothelial transcription factor GATA-2 antibody produced in rabbit, Anti-GATA-binding protein 2 antibody produced in rabbit

登录 查看组织和合同定价。

选择尺寸

变更视图

关于此项目

UNSPSC Code:
12352203
NACRES:
NA.41
Human Protein Atlas Number:
Conjugate:
unconjugated
Clone:
polyclonal
Application:
IF, IHC
Citations:
8
技术服务
需要帮助?我们经验丰富的科学家团队随时乐意为您服务。
让我们为您提供帮助


biological source

rabbit

Quality Level

conjugate

unconjugated

antibody form

affinity isolated antibody

antibody product type

primary antibodies

clone

polyclonal

product line

Prestige Antibodies® Powered by Atlas Antibodies

form

buffered aqueous glycerol solution

species reactivity

human

enhanced validation

orthogonal RNAseq
recombinant expression
Learn more about Antibody Enhanced Validation

technique(s)

immunoblotting: 0.04-0.4 μg/mL, immunofluorescence: 0.25-2 μg/mL, immunohistochemistry: 1:20-1:50

immunogen sequence

LTGGQMCRPHLLHSPGLPWLDGGKAALSAAAAHHHNPWTVSPFSKTPLHPSAAGGPGGPLSVYPGAGGGSGGGSGSSVASLTPTAAHSGSHLFGFPPTPPKEVSPDPSTTGAASPASSSAGGSAARG

UniProt accession no.

shipped in

wet ice

storage temp.

−20°C

target post-translational modification

unmodified

Gene Information

human ... GATA2(2624)

General description

GATA-binding protein 2 (GATA2) is a transcription factor involved in several neuronal specification pathways and expressed in the adipose tissue. The gene is mapped to human chromosome 3q21.3. It encodes a zinc finger protein belonging to the GATA family of proteins.

Immunogen

Endothelial transcription factor GATA-2 recombinant protein epitope signature tag (PrEST)

Application

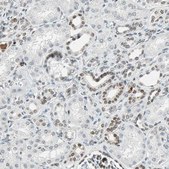
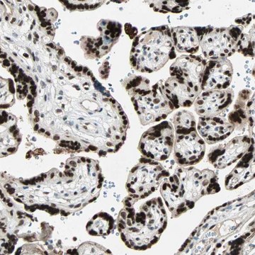
Anti-GATA2 antibody produced in rabbit, a Prestige Antibody, is developed and validated by the Human Protein Atlas (HPA) project . Each antibody is tested by immunohistochemistry against hundreds of normal and disease tissues. These images can be viewed on the Human Protein Atlas (HPA) site by clicking on the Image Gallery link. To view these protocols and other useful information about Prestige Antibodies and the HPA, visit sigma.com/prestige. Anti-GATA2 antibody produced in rabbit has been used in immunoprecipitation.

Biochem/physiol Actions

GATA-binding protein 2 (GATA2) blocks the transition from preadipocytes to adipocytes through suppression of PPAR-γ2 expression. GATA2 is also known to direct hematopoiesis and vascular cell activation. Thus, preadipocytes inhibition of GATA2 could allow adipogenesis while reducing their inflammatory properties. It is an inhibitor of adipogenesis and an activator of vascular cells. GATA2 is phosphorylated and blocked by the PI3K/Akt signal transduction pathway, this phosphorylation results in preadipocyte conversion to adipocytes and attenuation of the inflammatory behavior of preadipocytes. The encoded protein is essential for the development of CNS and the differentaition of erythroid cells. Polymorphism in this gene has been associated with Parkinson′s disease.

Features and Benefits

Prestige Antibodies® are highly characterized and extensively validated antibodies with the added benefit of all available characterization data for each target being accessible via the Human Protein Atlas portal linked just below the product name at the top of this page. The uniqueness and low cross-reactivity of the Prestige Antibodies® to other proteins are due to a thorough selection of antigen regions, affinity purification, and stringent selection. Prestige antigen controls are available for every corresponding Prestige Antibody and can be found in the linkage section.

Every Prestige Antibody is tested in the following ways:
  • IHC tissue array of 44 normal human tissues and 20 of the most common cancer type tissues.
  • Protein array of 364 human recombinant protein fragments.

Physical form

Solution in phosphate-buffered saline, pH 7.2, containing 40% glycerol and 0.02% sodium azide

Other Notes

Corresponding Antigen APREST83056

Legal Information

Prestige Antibodies is a registered trademark of Merck KGaA, Darmstadt, Germany

Disclaimer

Unless otherwise stated in our catalog or other company documentation accompanying the product(s), our products are intended for research use only and are not to be used for any other purpose, which includes but is not limited to, unauthorized commercial uses, in vitro diagnostic uses, ex vivo or in vivo therapeutic uses or any type of consumption or application to humans or animals.


Still not finding the right product?

Explore all of our products under

或者

试用我们的 产品选型工具 工具缩小选择范围


存储类别

10 - Combustible liquids

wgk

WGK 1

ppe

Eyeshields, Gloves, multi-purpose combination respirator cartridge (US)

法规信息

低风险生物材料
常规特殊物品

此项目有



历史批次信息供参考:

分析证书(COA)

Lot/Batch Number

没有发现合适的版本?

如果您需要特殊版本,可通过批号或批次号查找具体证书。

已有该产品?

在文件库中查找您最近购买产品的文档。

访问文档库


相关内容

Prestige Antibodies Immunofluorescence Procedure


Naoko Minegishi et al.
Genes to cells : devoted to molecular & cellular mechanisms, 10(7), 693-704 (2005-06-22)
Transcription factor GATA-2 is expressed in a number of tissues, including hematopoietic stem and progenitor cells, and is crucial for the proliferation and survival of hematopoietic cells. To further characterize the function of GATA-2, we examined the cellular turnover mechanism
Abeer El Wakil et al.
Development (Cambridge, England), 133(11), 2155-2165 (2006-05-05)
Postmitotic neurons are produced from a pool of cycling progenitors in an orderly fashion that requires proper spatial and temporal coordination of proliferation, fate determination, differentiation and morphogenesis. This probably relies on complex interplay between mechanisms that control cell cycle
Harriet Holme et al.
British journal of haematology, 158(2), 242-248 (2012-04-27)
The myelodysplastic syndromes (MDS) are heterogeneous and can evolve into acute myeloid leukaemia (AML). Rare familial cases are reported in which five disease genes have been identified to date (RUNX1, CEBPA, TERC, TERT and GATA2). Here we report the genetic



全球贸易项目编号

货号GTIN
HPA005633-25UL04061842769346
HPA005633-100UL04061837135835