跳转至内容
Merck
CN

HPA005670

Anti-DLX5 antibody produced in rabbit

Prestige Antibodies® Powered by Atlas Antibodies, affinity isolated antibody, buffered aqueous glycerol solution

别名:

Anti-Homeobox protein DLX-5 antibody produced in rabbit

登录 查看组织和合同定价。

选择尺寸

变更视图

关于此项目

UNSPSC Code:
12352203
Human Protein Atlas Number:
NACRES:
NA.41
MDL number:
Conjugate:
unconjugated
Clone:
polyclonal
Application:
IF, IHC
Citations:
10
技术服务
需要帮助?我们经验丰富的科学家团队随时乐意为您服务。
让我们为您提供帮助


biological source

rabbit

Quality Level

conjugate

unconjugated

antibody form

affinity isolated antibody

antibody product type

primary antibodies

clone

polyclonal

product line

Prestige Antibodies® Powered by Atlas Antibodies

form

buffered aqueous glycerol solution

species reactivity

human

technique(s)

immunoblotting: 0.04-0.4 μg/mL, immunofluorescence: 0.25-2 μg/mL, immunohistochemistry: 1:200-1:500

immunogen sequence

RRVPSIRSGDFQAPFQTSAAMHHPSQESPTLPESSATDSDYYSPTGGAPHGYCSPTSASYGKALNPYQYQYHGVNGSAGSYPAKAYADYSYASSYHQYGGAYNRVPSATNQPEKEVTEPEVRMVNGKPKKVRKP

UniProt accession no.

shipped in

wet ice

storage temp.

−20°C

target post-translational modification

unmodified

Gene Information

human ... DLX5(1749)

General description

Distal-less homeobox 5 (DLX5) belongs to the Dlx gene family which encodes a group of developmental regulatory proteins and transcription factors that are expressed primarily in embryonic development.

Immunogen

Homeobox protein DLX-5 recombinant protein epitope signature tag (PrEST)

Application

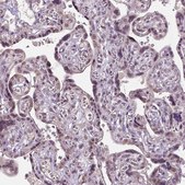
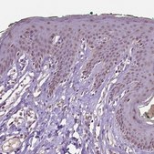
Anti-DLX5 antibody produced in rabbit, a Prestige Antibody, is developed and validated by the Human Protein Atlas (HPA) project . Each antibody is tested by immunohistochemistry against hundreds of normal and disease tissues. These images can be viewed on the Human Protein Atlas (HPA) site by clicking on the Image Gallery link. The antibodies are also tested using immunofluorescence and western blotting. To view these protocols and other useful information about Prestige Antibodies and the HPA, visit sigma.com/prestige.
Applications in which this antibody has been used successfully, and the associated peer-reviewed papers, are given below.
Immunohistochemistry (1 paper)

Biochem/physiol Actions

Distal-less homeobox 5 (DLX5) plays a role as a mediator in immediate-early bone morphogenic protein (BMP)-induced runt-related transcription factor 2 (RUNX2) (up regulated by DLX2) expression and as a responsive transcriptional activator essential for osteoblast differentiation. Msh homeobox 2 (MSX2) and DLX5 bind to the promoters of osteoblast markers, thus helping to carry out transcription. It is involved as a positive regulator of both chondrogenesis and chondrocyte hypertrophy in the endochondral skeleton. DLX5 stimulates Alkaline phosphatase (ALPL) promoter activity in a RUNX2-independent manner during osteoblast differentiation and also stimulates SP7 transcription factor (SP7) promoter activity. This is done by binding to the homeodomain-response element of the ALPL and SP7 promoter. It promotes cell proliferation by binding and up-regulating the MYC promoter activity. For this, DLX5 requires the 5′-TAATTA-3′ consensus sequence to bind to the DNA.

Features and Benefits

Prestige Antibodies® are highly characterized and extensively validated antibodies with the added benefit of all available characterization data for each target being accessible via the Human Protein Atlas portal linked just below the product name at the top of this page. The uniqueness and low cross-reactivity of the Prestige Antibodies® to other proteins are due to a thorough selection of antigen regions, affinity purification, and stringent selection. Prestige antigen controls are available for every corresponding Prestige Antibody and can be found in the linkage section.

Every Prestige Antibody is tested in the following ways:
  • IHC tissue array of 44 normal human tissues and 20 of the most common cancer type tissues.
  • Protein array of 364 human recombinant protein fragments.

Physical form

Solution in phosphate-buffered saline, pH 7.2, containing 40% glycerol and 0.02% sodium azide

Other Notes

Corresponding Antigen APREST86924

Legal Information

Prestige Antibodies is a registered trademark of Merck KGaA, Darmstadt, Germany

Disclaimer

Unless otherwise stated in our catalog or other company documentation accompanying the product(s), our products are intended for research use only and are not to be used for any other purpose, which includes but is not limited to, unauthorized commercial uses, in vitro diagnostic uses, ex vivo or in vivo therapeutic uses or any type of consumption or application to humans or animals.


Still not finding the right product?

试用我们的 产品选型工具 工具缩小选择范围


存储类别

10 - Combustible liquids

wgk

WGK 1

flash_point_f

Not applicable

flash_point_c

Not applicable

ppe

Eyeshields, Gloves, multi-purpose combination respirator cartridge (US)

法规信息

低风险生物材料
常规特殊物品

此项目有



历史批次信息供参考:

分析证书(COA)

Lot/Batch Number

没有发现合适的版本?

如果您需要特殊版本,可通过批号或批次号查找具体证书。

已有该产品?

在文件库中查找您最近购买产品的文档。

访问文档库


相关内容

Prestige Antibodies Immunofluorescence Procedure


Jinfei Xu et al.
The Journal of biological chemistry, 284(31), 20593-20601 (2009-06-06)
The human DLX homeobox genes, which are related to Dll (Drosophila distal-less gene), encode transcription factors that are expressed primarily in embryonic development. Recently, DLX5 was reported to act as an oncogene in lymphomas and lung cancers, although the mechanism
Shu-Hsuan Claire Hsu et al.
Mechanisms of development, 123(11), 819-830 (2006-10-10)
During endochondral ossification in the vertebrate limb, multipotent mesenchymal cells first differentiate into chondroblasts (chondrogenesis) that further differentiate (via chondrocyte hypertrophy) to a terminal cellular phenotype. Dlx5 and Dlx6 are functionally redundant regulators of chondrocyte hypertrophy. We now show that
Baoli Hu et al.
Cell, 167(5), 1281-1295 (2016-11-20)
Glioblastoma stem cells (GSCs) are implicated in tumor neovascularization, invasiveness, and therapeutic resistance. To illuminate mechanisms governing these hallmark features, we developed a de novo glioblastoma multiforme (GBM) model derived from immortalized human neural stem/progenitor cells (hNSCs) to enable precise



全球贸易项目编号

货号GTIN
HPA005670-100UL04061837135897
HPA005670-25UL04061842769476