跳转至内容
Merck
CN

HPA006458

Anti-TOP2A antibody produced in rabbit

Prestige Antibodies® Powered by Atlas Antibodies, affinity isolated antibody, buffered aqueous glycerol solution, Ab1

别名:

Anti-TOP2A_HUMAN Isoform 2 of P11388 - Homo sapiens

登录 查看组织和合同定价。

选择尺寸

变更视图

关于此项目

UNSPSC Code:
12352203
NACRES:
NA.41
Human Protein Atlas Number:
Conjugate:
unconjugated
Clone:
polyclonal
Application:
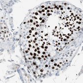
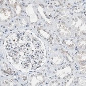
IHC
Citations:
8
技术服务
需要帮助?我们经验丰富的科学家团队随时乐意为您服务。
让我们为您提供帮助


biological source

rabbit

Quality Level

conjugate

unconjugated

antibody form

affinity isolated antibody

antibody product type

primary antibodies

clone

polyclonal

product line

Prestige Antibodies® Powered by Atlas Antibodies

form

buffered aqueous glycerol solution

species reactivity

human

enhanced validation

orthogonal RNAseq
Learn more about Antibody Enhanced Validation

technique(s)

immunoblotting: 0.04-0.4 μg/mL, immunohistochemistry: 1:200-1:500

immunogen sequence

DASPPKTKTSPKLSNKELKPQKSVVSDLEADDVKGSVPLSSSPPATHFPDETEITNPVPKKNVTVKKTAAKSQSSTSTTGAKKRAAPKGTKRDPALNSGVSQKPDPAKTKNRRKRKPSTSDDSDSNFEKIVSKAVTSKKSKG

UniProt accession no.

application(s)

research pathology

shipped in

wet ice

storage temp.

−20°C

target post-translational modification

unmodified

Gene Information

human ... TOP2A(7153)

General description

TOP2A (topoisomerase (DNA) IIα) is a nuclear enzyme, which has a molecular weight of 170kDa. This gene is localized to human chromosome 17q21-q22. Along with TOP2β, it forms the two isoforms of TOP2 enzyme. It is a ubiquitously expressed homodimeric protein. Its N-terminal contains the ATP-binding and hydrolysis sites. It also contains the catalytic central domain, and the C-terminal containing the DNA-recognition site.

Immunogen

TOP2A_HUMAN Isoform 2 of P11388 - Homo sapiens recombinant protein epitope signature tag (PrEST)

Application

Anti-TOP2A antibody produced in rabbit, a Prestige Antibody, is developed and validated by the Human Protein Atlas (HPA) project . Each antibody is tested by immunohistochemistry against hundreds of normal and disease tissues. These images can be viewed on the Human Protein Atlas (HPA) site by clicking on the Image Gallery link. The antibodies are also tested using immunofluorescence and western blotting. To view these protocols and other useful information about Prestige Antibodies and the HPA, visit sigma.com/prestige.

Biochem/physiol Actions

TOP2A (topoisomerase (DNA) IIα) regulates chromosome segregation, progression of cell cycle and the topological structure of DNA. It acts as a target of multiple drugs such as, anthracyclines (doxorubicin, epirubicin) and epipodophyllotoxins (etoposide, teniposide). In HER2 (human epithelial growth factor receptor-2)-amplified breast cancer, this gene is also amplified. This gene is up-regulated in multiple cancers such as, hepatocellular carcinoma (HCC), prostate and gastric cancer. In renal cell carcinoma patients, overexpression of this gene is linked to poor survival rates.

Features and Benefits

Prestige Antibodies® are highly characterized and extensively validated antibodies with the added benefit of all available characterization data for each target being accessible via the Human Protein Atlas portal linked just below the product name at the top of this page. The uniqueness and low cross-reactivity of the Prestige Antibodies® to other proteins are due to a thorough selection of antigen regions, affinity purification, and stringent selection. Prestige antigen controls are available for every corresponding Prestige Antibody and can be found in the linkage section.

Every Prestige Antibody is tested in the following ways:
  • IHC tissue array of 44 normal human tissues and 20 of the most common cancer type tissues.
  • Protein array of 364 human recombinant protein fragments.

Physical form

Solution in phosphate-buffered saline, pH 7.2, containing 40% glycerol and 0.02% sodium azide

Other Notes

Corresponding Antigen APREST70242

Legal Information

Prestige Antibodies is a registered trademark of Merck KGaA, Darmstadt, Germany

Disclaimer

Unless otherwise stated in our catalog or other company documentation accompanying the product(s), our products are intended for research use only and are not to be used for any other purpose, which includes but is not limited to, unauthorized commercial uses, in vitro diagnostic uses, ex vivo or in vivo therapeutic uses or any type of consumption or application to humans or animals.


Still not finding the right product?

Explore all of our products under

或者

试用我们的 产品选型工具 工具缩小选择范围


存储类别

10 - Combustible liquids

wgk

WGK 1

flash_point_f

Not applicable

flash_point_c

Not applicable

法规信息

常规特殊物品
低风险生物材料

此项目有



历史批次信息供参考:

分析证书(COA)

Lot/Batch Number

没有发现合适的版本?

如果您需要特殊版本,可通过批号或批次号查找具体证书。

已有该产品?

在文件库中查找您最近购买产品的文档。

访问文档库


相关内容

Prestige Antibodies Immunofluorescence Procedure


Alexander S Parker et al.
European urology, 66(5), 929-935 (2014-01-07)
Tumor-based biomarkers of outcome for patients with clear cell renal cell carcinoma (ccRCC) remain limited, especially for those with low-risk disease. Type IIa topoisomerase (TOPOIIa) is a well-known biomarker of DNA replication and a target for antineoplastic agents, but it
Christine J Farr et al.
Nucleic acids research, 42(7), 4414-4426 (2014-01-31)
As proliferating cells transit from interphase into M-phase, chromatin undergoes extensive reorganization, and topoisomerase (topo) IIα, the major isoform of this enzyme present in cycling vertebrate cells, plays a key role in this process. In this study, a human cell
D S Kodiakov et al.
Voprosy onkologii, 60(2), 63-68 (2014-06-13)
Investigated topoisomerase IIalpha (TopoII alpha), argyrophilic proteins associated with nucleolar organizer regions (Ag-NOR) and antigen Ki-67 in lung adenocarcinoma. Defined tumor with low and high TopoII alpha, Ag-NOR and Ki-67. TopoII alpha had a relationship with clinical and morphological parameters



全球贸易项目编号

货号GTIN
HPA006458-25UL04061842777136
HPA006458-100UL04061837136498