跳转至内容
Merck
CN

HPA007425

Anti-FAAH antibody produced in rabbit

Prestige Antibodies® Powered by Atlas Antibodies, affinity isolated antibody, buffered aqueous glycerol solution

别名:

Anti-Anandamide amidohydrolase antibody produced in rabbit, Anti-Fatty-acid amide hydrolase antibody produced in rabbit, Anti-Oleamide hydrolase antibody produced in rabbit

登录 查看组织和合同定价。

选择尺寸

变更视图

关于此项目

UNSPSC Code:
12352203
Human Protein Atlas Number:
NACRES:
NA.41
MDL number:
Conjugate:
unconjugated
Clone:
polyclonal
Application:
IHC
Citations:
4
技术服务
需要帮助?我们经验丰富的科学家团队随时乐意为您服务。
让我们为您提供帮助


biological source

rabbit

Quality Level

conjugate

unconjugated

antibody form

affinity isolated antibody

antibody product type

primary antibodies

clone

polyclonal

product line

Prestige Antibodies® Powered by Atlas Antibodies

form

buffered aqueous glycerol solution

species reactivity

human

technique(s)

immunohistochemistry: 1:50-1:200

immunogen sequence

YTSSQPLRVGYYETDNYTMPSPAMRRAVLETKQSLEAAGHTLVPFLPSNIPHALETLSTGGLFSDGGHTFLQNFKGDFVDPCLGDLVSILK

UniProt accession no.

shipped in

wet ice

storage temp.

−20°C

target post-translational modification

unmodified

Gene Information

human ... FAAH(2166)

Immunogen

Fatty-acid amide hydrolase recombinant protein epitope signature tag (PrEST)

Application

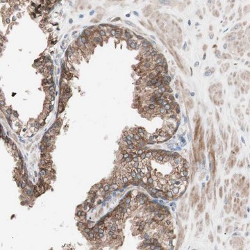
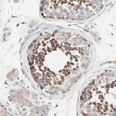
Anti-FAAH antibody produced in rabbit, a Prestige Antibody, is developed and validated by the Human Protein Atlas (HPA) project . Each antibody is tested by immunohistochemistry against hundreds of normal and disease tissues. These images can be viewed on the Human Protein Atlas (HPA) site by clicking on the Image Gallery link. The antibodies are also tested using immunofluorescence and western blotting. To view these protocols and other useful information about Prestige Antibodies and the HPA, visit sigma.com/prestige.
Applications in which this antibody has been used successfully, and the associated peer-reviewed papers, are given below.
Immunohistochemistry (1 paper)

Biochem/physiol Actions

FAAH (fatty acid amide hydrolase) gene encodes a member of the amidase signature (AS) family. It catalyzes the hydrolysis of endocannabinoid, anandamide related fatty acid amides. The endocannabinoids are involved in the several signaling processes in the nervous system and FAAH controls both the amplitude and duration of behavioral effects of endocannabinoids in mammals. FAAH, therefore, has an effect on human behavior. Polymorphism in this gene may be associated with disorders such as endocannabinoid-induced appetite stimulation and overweight disorders, problem of drug use or abuse. The cannabinoids are bioactive lipids mediators that may have a protective effect against tumor growth. Overexpression of FAAH has been implicated in invasion of prostate carcinoma cells and in prostate tumorigenesis.

Features and Benefits

Prestige Antibodies® are highly characterized and extensively validated antibodies with the added benefit of all available characterization data for each target being accessible via the Human Protein Atlas portal linked just below the product name at the top of this page. The uniqueness and low cross-reactivity of the Prestige Antibodies® to other proteins are due to a thorough selection of antigen regions, affinity purification, and stringent selection. Prestige antigen controls are available for every corresponding Prestige Antibody and can be found in the linkage section.

Every Prestige Antibody is tested in the following ways:
  • IHC tissue array of 44 normal human tissues and 20 of the most common cancer type tissues.
  • Protein array of 364 human recombinant protein fragments.

Physical form

Solution in phosphate-buffered saline, pH 7.2, containing 40% glycerol and 0.02% sodium azide

Other Notes

Corresponding Antigen APREST70057

Legal Information

Prestige Antibodies is a registered trademark of Merck KGaA, Darmstadt, Germany

Disclaimer

Unless otherwise stated in our catalog or other company documentation accompanying the product(s), our products are intended for research use only and are not to be used for any other purpose, which includes but is not limited to, unauthorized commercial uses, in vitro diagnostic uses, ex vivo or in vivo therapeutic uses or any type of consumption or application to humans or animals.


Still not finding the right product?

试用我们的 产品选型工具 工具缩小选择范围


存储类别

10 - Combustible liquids

wgk

WGK 1

flash_point_f

Not applicable

flash_point_c

Not applicable

ppe

Eyeshields, Gloves, multi-purpose combination respirator cartridge (US)

法规信息

新产品

此项目有



历史批次信息供参考:

分析证书(COA)

Lot/Batch Number

没有发现合适的版本?

如果您需要特殊版本,可通过批号或批次号查找具体证书。

已有该产品?

在文件库中查找您最近购买产品的文档。

访问文档库



J C Sipe et al.
International journal of obesity (2005), 29(7), 755-759 (2005-04-06)
The brain endogenous cannabinoid system modulates reward and craving pathways and consequently may affect body weight. A naturally occurring missense polymorphism in the gene encoding fatty acid amide hydrolase (FAAH), the primary enzyme for inactivation of endocannabinoids, is associated with
John E Nielsen et al.
Scientific reports, 9(1), 12866-12866 (2019-09-21)
Heavy use of cannabis (marijuana) has been associated with decreased semen quality, which may reflect disruption of the endocannabinoid system (ECS) in the male reproductive tract by exogenous cannabinoids. Components of ECS have been previously described in human spermatozoa and
Emman Shubbar et al.
BMC cancer, 13, 47-47 (2013-02-05)
Previously, we performed analysis of gene expression in 46 axillary lymph node negative tumors and identified molecular gene signatures that resulted in different clinical outcomes. The aim of this study was to determine the correlation of γ-glutamyl hydrolase (GGH), fatty



全球贸易项目编号

货号GTIN
HPA007425-25UL04061842788965
HPA007425-100UL04061837124020