biological source
rabbit
Quality Level
conjugate
unconjugated
antibody form
affinity isolated antibody
antibody product type
primary antibodies
clone
polyclonal
product line
Prestige Antibodies® Powered by Atlas Antibodies
form
buffered aqueous glycerol solution
species reactivity
human
enhanced validation
orthogonal RNAseq
independent
Learn more about Antibody Enhanced Validation
technique(s)
immunohistochemistry: 1:1000- 1:2500
UniProt accession no.
shipped in
wet ice
storage temp.
−20°C
target post-translational modification
unmodified
Gene Information
human ... OMG(4974)
Immunogen
Oligodendrocyte-myelin glycoprotein precursor recombinant protein epitope signature tag (PrEST)
Sequence
VDTINSLSVVTQPKVTKIPKQYRTKETTFGATLSKDTTFTSTDKAFVPYPEDTSTETINSHEAAAATLTIHLQDGMVTNTSLTSSTKSSPTPMTLSITSGMPNNFSEMPQQSTTLNLWREETTTNVKTPLPSVANAWKVNA
Sequence
VDTINSLSVVTQPKVTKIPKQYRTKETTFGATLSKDTTFTSTDKAFVPYPEDTSTETINSHEAAAATLTIHLQDGMVTNTSLTSSTKSSPTPMTLSITSGMPNNFSEMPQQSTTLNLWREETTTNVKTPLPSVANAWKVNA
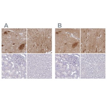
Application
All Prestige Antibodies Powered by Atlas Antibodies are developed and validated by the Human Protein Atlas (HPA) project and as a result, are supported by the most extensive characterization in the industry.
The Human Protein Atlas project can be subdivided into three efforts: Human Tissue Atlas, Cancer Atlas, and Human Cell Atlas. The antibodies that have been generated in support of the Tissue and Cancer Atlas projects have been tested by immunohistochemistry against hundreds of normal and disease tissues and through the recent efforts of the Human Cell Atlas project, many have been characterized by immunofluorescence to map the human proteome not only at the tissue level but now at the subcellular level. These images and the collection of this vast data set can be viewed on the Human Protein Atlas (HPA) site by clicking on the Image Gallery link. We also provide Prestige Antibodies® protocols and other useful information.
The Human Protein Atlas project can be subdivided into three efforts: Human Tissue Atlas, Cancer Atlas, and Human Cell Atlas. The antibodies that have been generated in support of the Tissue and Cancer Atlas projects have been tested by immunohistochemistry against hundreds of normal and disease tissues and through the recent efforts of the Human Cell Atlas project, many have been characterized by immunofluorescence to map the human proteome not only at the tissue level but now at the subcellular level. These images and the collection of this vast data set can be viewed on the Human Protein Atlas (HPA) site by clicking on the Image Gallery link. We also provide Prestige Antibodies® protocols and other useful information.
Biochem/physiol Actions
Oligodendrocyte-myelin glycoprotein (OMG) is involved in cell growth regulation, inhibits neurite outgrowth and prevents axonal regeneration after brain injury. Along with two other proteins, Nogo and myelin-associated glycoprotein (MAG), it binds to the Nogo-66 receptor (NgR) to activate the Ras homolog gene family member A (RhoA) pathway and thus inhibits axonal growth.
Features and Benefits
Prestige Antibodies® are highly characterized and extensively validated antibodies with the added benefit of all available characterization data for each target being accessible via the Human Protein Atlas portal linked just below the product name at the top of this page. The uniqueness and low cross-reactivity of the Prestige Antibodies® to other proteins are due to a thorough selection of antigen regions, affinity purification, and stringent selection. Prestige antigen controls are available for every corresponding Prestige Antibody and can be found in the linkage section.
Every Prestige Antibody is tested in the following ways:
Every Prestige Antibody is tested in the following ways:
- IHC tissue array of 44 normal human tissues and 20 of the most common cancer type tissues.
- Protein array of 364 human recombinant protein fragments.
Physical form
Solution in phosphate-buffered saline, pH 7.2, containing 40% glycerol and 0.02% sodium azide
Other Notes
Corresponding Antigen APREST71571
Legal Information
Prestige Antibodies is a registered trademark of Merck KGaA, Darmstadt, Germany
存储类别
10 - Combustible liquids
wgk
WGK 1
flash_point_f
Not applicable
flash_point_c
Not applicable
ppe
Eyeshields, Gloves, multi-purpose combination respirator cartridge (US)
法规信息
新产品
此项目有
Shuxin Li et al.
The Journal of neuroscience : the official journal of the Society for Neuroscience, 24(46), 10511-10520 (2004-11-19)
The growth of injured axons in the adult mammalian CNS is limited after injury. Three myelin proteins, Nogo, MAG (myelin-associated glycoprotein), and OMgp (oligodendrocyte myelin glycoprotein), bind to the Nogo-66 receptor (NgR) and inhibit axonal growth in vitro. Transgenic or
The gene encoding the oligodendrocyte-myelin glycoprotein is embedded within the neurofibromatosis type 1 gene.
D Viskochil
Molecular and Cellular Biology, 11(2), 906-912 (1991)
D D Mikol et al.
The Journal of cell biology, 110(2), 471-479 (1990-02-01)
The complete primary structure of the human oligodendrocyte-myelin glycoprotein (OMgp), a glycophospholipid-linked membrane protein of oligodendrocytes and central nervous system myelin, has been determined. The deduced amino acid sequence predicts a polypeptide of 433 amino acids which includes a 17-amino
全球贸易项目编号
| 货号 | GTIN |
|---|---|
| HPA008206-100UL | 04061835669547 |
| HPA008206-25UL | 04061842796212 |