跳转至内容
Merck
CN

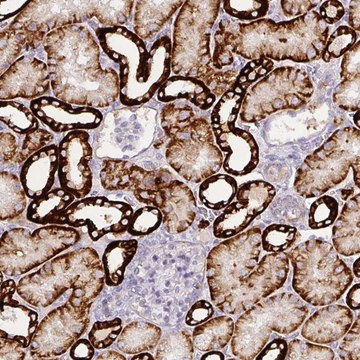
HPA008773

Anti-CA12 antibody produced in rabbit

Prestige Antibodies® Powered by Atlas Antibodies, affinity isolated antibody, buffered aqueous glycerol solution

别名:

Anti-CA-XII antibody produced in rabbit, Anti-Carbonate dehydratase XII antibody produced in rabbit, Anti-Carbonic anhydrase 12 precursor antibody produced in rabbit, Anti-Carbonic anhydrase XII antibody produced in rabbit, Anti-Tumor antigen HOM-RCC-3.1.3 antibody produced in rabbit

登录 查看组织和合同定价。

选择尺寸

变更视图

关于此项目

UNSPSC Code:
12352203
NACRES:
NA.41
Human Protein Atlas Number:
Conjugate:
unconjugated
Clone:
polyclonal
Application:
IF, IHC
Citations:
15
技术服务
需要帮助?我们经验丰富的科学家团队随时乐意为您服务。
让我们为您提供帮助


biological source

rabbit

Quality Level

conjugate

unconjugated

antibody form

affinity isolated antibody

antibody product type

primary antibodies

clone

polyclonal

product line

Prestige Antibodies® Powered by Atlas Antibodies

form

buffered aqueous glycerol solution

species reactivity

human

technique(s)

immunofluorescence: 0.25-2 μg/mL, immunohistochemistry: 1:50-1:200

immunogen sequence

TASNKSEGLAVLAVLIEMGSFNPSYDKIFSHLQHVKYKGQEAFVPGFNIEELLPERTAEYYRYRGSLTTPPCNPTVLWTVFRNPVQISQEQLLALETALYCTHMDDPSPREMINNFRQVQ

UniProt accession no.

shipped in

wet ice

storage temp.

−20°C

target post-translational modification

unmodified

Gene Information

human ... CA12(771)

General description

CA12 (carbonic anhydrase XII) gene is localized to human chromosome 15q22. This gene is predominantly expressed in adult pancreas, colon, kidney and prostate. It belongs to α CA gene family, and is composed of a leader sequence, an α CA domain, a transmembrane region and a short cytoplasmic domain.

Immunogen

Carbonic anhydrase 12 precursor recombinant protein epitope signature tag (PrEST)

Application

Anti-CA12 antibody produced in rabbit, a Prestige Antibody, is developed and validated by the Human Protein Atlas (HPA) project . Each antibody is tested by immunohistochemistry against hundreds of normal and disease tissues. These images can be viewed on the Human Protein Atlas (HPA) site by clicking on the Image Gallery link. The antibodies are also tested using immunofluorescence and western blotting. To view these protocols and other useful information about Prestige Antibodies and the HPA, visit sigma.com/prestige.

Biochem/physiol Actions

CA12 (carbonic anhydrase XII) catalyzes the hydration of CO2 generated by cells into bicarbonate and protons. Expression of this enzyme in oral squamous cell carcinoma (OSCC) is related to tumor progression and poor prognosis. The expression levels of this enzyme are also linked to the histological grade of cervical cancer, and absence of its expression correlates with poorly differentiated phenotype. The presence of this enzyme marginally links with better disease-free survival of cervical cancer patients.

Features and Benefits

Prestige Antibodies® are highly characterized and extensively validated antibodies with the added benefit of all available characterization data for each target being accessible via the Human Protein Atlas portal linked just below the product name at the top of this page. The uniqueness and low cross-reactivity of the Prestige Antibodies® to other proteins are due to a thorough selection of antigen regions, affinity purification, and stringent selection. Prestige antigen controls are available for every corresponding Prestige Antibody and can be found in the linkage section.

Every Prestige Antibody is tested in the following ways:
  • IHC tissue array of 44 normal human tissues and 20 of the most common cancer type tissues.
  • Protein array of 364 human recombinant protein fragments.

Physical form

Solution in phosphate-buffered saline, pH 7.2, containing 40% glycerol and 0.02% sodium azide

Other Notes

Corresponding Antigen APREST71649

Legal Information

Prestige Antibodies is a registered trademark of Merck KGaA, Darmstadt, Germany

Disclaimer

Unless otherwise stated in our catalog or other company documentation accompanying the product(s), our products are intended for research use only and are not to be used for any other purpose, which includes but is not limited to, unauthorized commercial uses, in vitro diagnostic uses, ex vivo or in vivo therapeutic uses or any type of consumption or application to humans or animals.


Still not finding the right product?

Explore all of our products under

或者

试用我们的 产品选型工具 工具缩小选择范围


存储类别

10 - Combustible liquids

wgk

WGK 1

flash_point_f

Not applicable

flash_point_c

Not applicable

ppe

Eyeshields, Gloves, multi-purpose combination respirator cartridge (US)

法规信息

新产品

此项目有



历史批次信息供参考:

分析证书(COA)

Lot/Batch Number

没有发现合适的版本?

如果您需要特殊版本,可通过批号或批次号查找具体证书。

已有该产品?

在文件库中查找您最近购买产品的文档。

访问文档库



Damien Ambrosetti et al.
PloS one, 13(2), e0193477-e0193477 (2018-02-27)
Clear-cell renal cell carcinoma (ccRCC) is the most common type of kidney cancer. Although ccRCC is characterized by common recurrent genetic abnormalities, including inactivation of the von Hippel-Lindau (vhl) tumor suppressor gene resulting in stabilization of hypoxia-inducible factors (HIFs), the
J V Stoyanov et al.
European cells & materials, 21, 533-547 (2011-06-29)
There is evidence that mesenchymal stem cells (MSCs) can differentiate towards an intervertebral disc (IVD)-like phenotype. We compared the standard chondrogenic protocol using transforming growth factor beta-1 (TGFß) to the effects of hypoxia, growth and differentiation factor-5 (GDF5), and coculture
Karen A Power et al.
Arthritis and rheumatism, 63(12), 3876-3886 (2011-12-01)
Back pain is a major cause of disability, affecting millions of people worldwide. One cause of axial back pain is degeneration of the nucleus pulposus (NP) of the intervertebral disc. This study was undertaken to investigate associations of NP cells



全球贸易项目编号

货号GTIN
HPA008773-100UL04061837124853
HPA008773-25UL04061842797202